Карен Аванесов Опубликовано 31 мая, 2021 Поделиться Опубликовано 31 мая, 2021 . Ссылка на комментарий
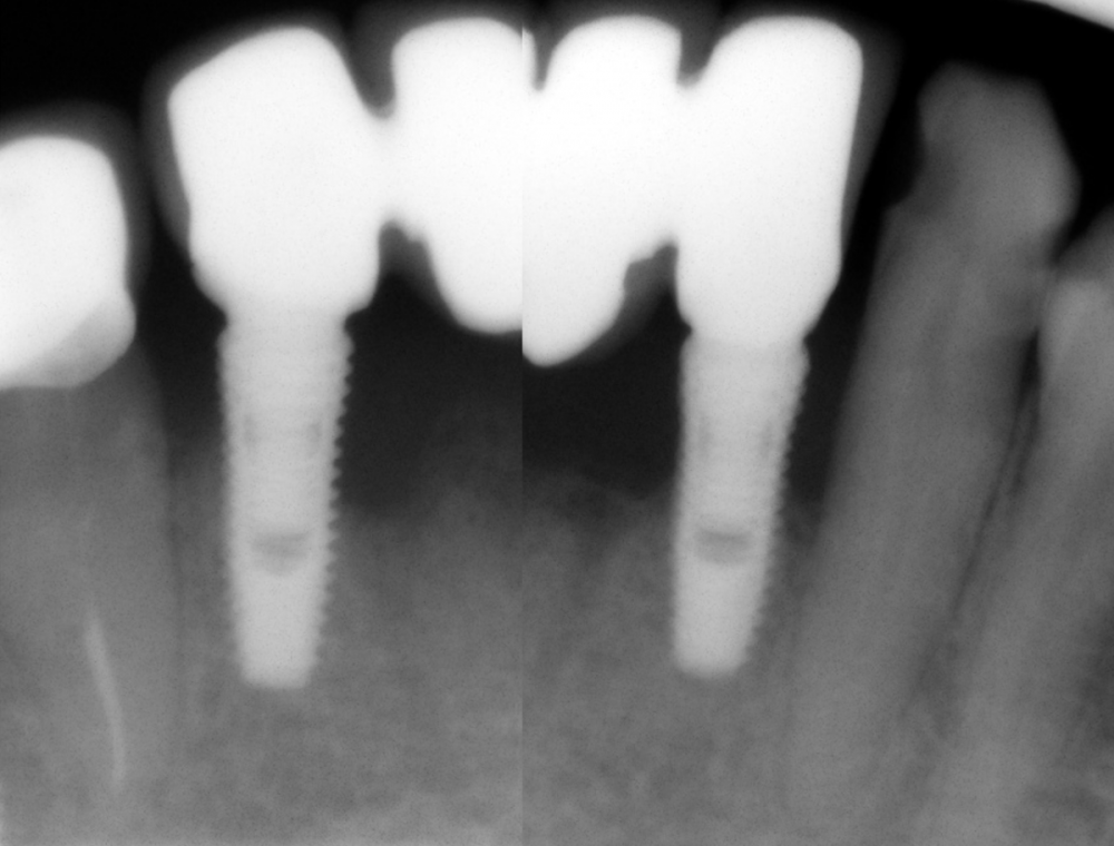
dentikl Опубликовано 1 июня, 2021 Поделиться Опубликовано 1 июня, 2021 а рентген есть? Ссылка на комментарий
Карен Аванесов Опубликовано 1 июня, 2021 Автор Поделиться Опубликовано 1 июня, 2021 6 часов назад, dentikl сказал: а рентген есть? Ссылка на комментарий
dentikl Опубликовано 1 июня, 2021 Поделиться Опубликовано 1 июня, 2021 может еще из контакта вывести? Ссылка на комментарий
АнтонТЛТ Опубликовано 1 июня, 2021 Поделиться Опубликовано 1 июня, 2021 3 часа назад, dentikl сказал: может еще из контакта вывести? А смысл? Ссылка на комментарий
dentikl Опубликовано 1 июня, 2021 Поделиться Опубликовано 1 июня, 2021 1 час назад, АнтонТЛТ сказал: А смысл? пусть немного хоть в статике отдохнут Ссылка на комментарий
Irouil Опубликовано 1 июня, 2021 Поделиться Опубликовано 1 июня, 2021 Может вопрос был "а смысл в таких зубах?")) Ссылка на комментарий
Карен Аванесов Опубликовано 1 июня, 2021 Автор Поделиться Опубликовано 1 июня, 2021 37 минут назад, Irouil сказал: Может вопрос был "а смысл в таких зубах?")) Риторический вопрос! Ссылка на комментарий
Irouil Опубликовано 2 июня, 2021 Поделиться Опубликовано 2 июня, 2021 8 часов назад, Карен Аванесов сказал: Риторический вопрос! Это я о выведенных из контакта) пару раз приходили пациенты с такими работами, особенно запомнился случай обратившейся с болями в внчс и жалобами на затрудненое открывание рта пациентки, с потерей зубов во 2 и 3 квадрантах, и с выведенными из прикуса коронками на винтах в 4м квадранте. Доктор, который протезировал, сказал что так и должно быть и смыкаться они не должны Ссылка на комментарий
dentikl Опубликовано 2 июня, 2021 Поделиться Опубликовано 2 июня, 2021 выводя из контакта этот конкретный фронт Вы только поможете пациентке и вчнс (не помешаете точно). Ссылка на комментарий
Рекомендуемые сообщения
Для публикации сообщений создайте учётную запись или авторизуйтесь
Вы должны быть пользователем, чтобы оставить комментарий
Создать аккаунт
Зарегистрируйте новый аккаунт в нашем сообществе. Это очень просто!
Регистрация нового пользователяВойти
Уже есть аккаунт? Войти в систему.
Войти