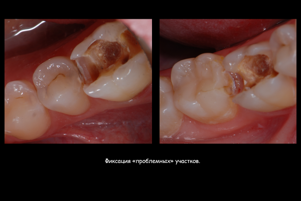
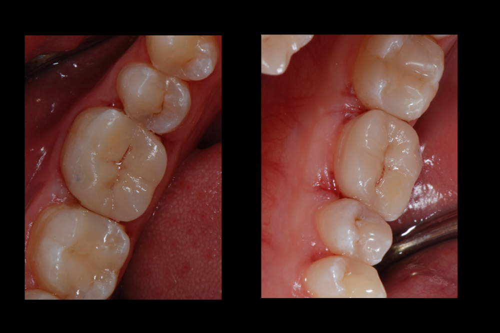
Карен Аванесов Опубликовано 31 мая, 2021 Поделиться Опубликовано 31 мая, 2021 Реставрация сегмента. 8 3 Ссылка на комментарий
grolsh Опубликовано 26 июля, 2021 Поделиться Опубликовано 26 июля, 2021 Хорошая работа! Подскажите, стоит ли заморачиваться над коррекцией цвета, чтобы добиться более менее незаметного перехода вкладка-коронка? Ссылка на комментарий
Карен Аванесов Опубликовано 11 августа, 2021 Автор Поделиться Опубликовано 11 августа, 2021 26.07.2021 в 23:04, grolsh сказал: Хорошая работа! Подскажите, стоит ли заморачиваться над коррекцией цвета, чтобы добиться более менее незаметного перехода вкладка-коронка? Спасибо. Для жевателной группы зубов думаю не критично. Для более идеальной интеграции, очевидно лучше делпть полную коронку, или более внимателно отнестись к выбору таблетки для пресса и конечно ориентируясь на профессиональные потенции техника. Если сильно, перед работой на консульнтвции, растопырить пальцы перед пациентом, то заморочится придкется)))) Ссылка на комментарий
Рекомендуемые сообщения
Для публикации сообщений создайте учётную запись или авторизуйтесь
Вы должны быть пользователем, чтобы оставить комментарий
Создать аккаунт
Зарегистрируйте новый аккаунт в нашем сообществе. Это очень просто!
Регистрация нового пользователяВойти
Уже есть аккаунт? Войти в систему.
Войти