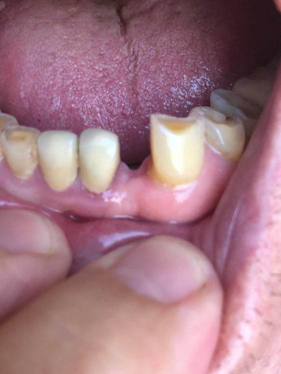
adent Опубликовано 28 мая, 2021 Поделиться Опубликовано 28 мая, 2021 (изменено) Через 10 дней выпал имплант в зубе №23.Делал в Мексике. Фото и рентген и данные импланта прилагаются. 1.Планирую ставить мостик. На месте импланта что нибудь делать надо? 2. По каким причинам имплант мог выпасть? Спасибо! P.S.Мне 80 лет. 10 лет назад ставил сверху 6 имплантов одновременно. Все прошло отлично. Делал не в Мексике. Изменено 28 мая, 2021 пользователем adent опечатка Ссылка на комментарий
Doc Опубликовано 28 мая, 2021 Поделиться Опубликовано 28 мая, 2021 10 часов назад, adent сказал: 1.Планирую ставить мостик. На месте импланта что нибудь делать надо? 2. По каким причинам имплант мог выпасть? 1. Обычно нет, но снимок предварительно все равно любой врач потребовать должен. 2. Причин слишком много, чтобы угадать реальную, не зная ситуации, не видя документации и не пообщавшись с врачом. Ссылка на комментарий
adent Опубликовано 28 мая, 2021 Автор Поделиться Опубликовано 28 мая, 2021 Doc спасибо! Бог с ним с причинами. Главное что не все потеряно для продолжения лечения, а именно установки мостика. Ссылка на комментарий
Doc Опубликовано 28 мая, 2021 Поделиться Опубликовано 28 мая, 2021 Абсолютно ничего не потеряно! Не переживайте! Ссылка на комментарий
Рекомендуемые сообщения
Для публикации сообщений создайте учётную запись или авторизуйтесь
Вы должны быть пользователем, чтобы оставить комментарий
Создать аккаунт
Зарегистрируйте новый аккаунт в нашем сообществе. Это очень просто!
Регистрация нового пользователяВойти
Уже есть аккаунт? Войти в систему.
Войти