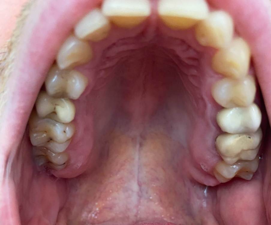
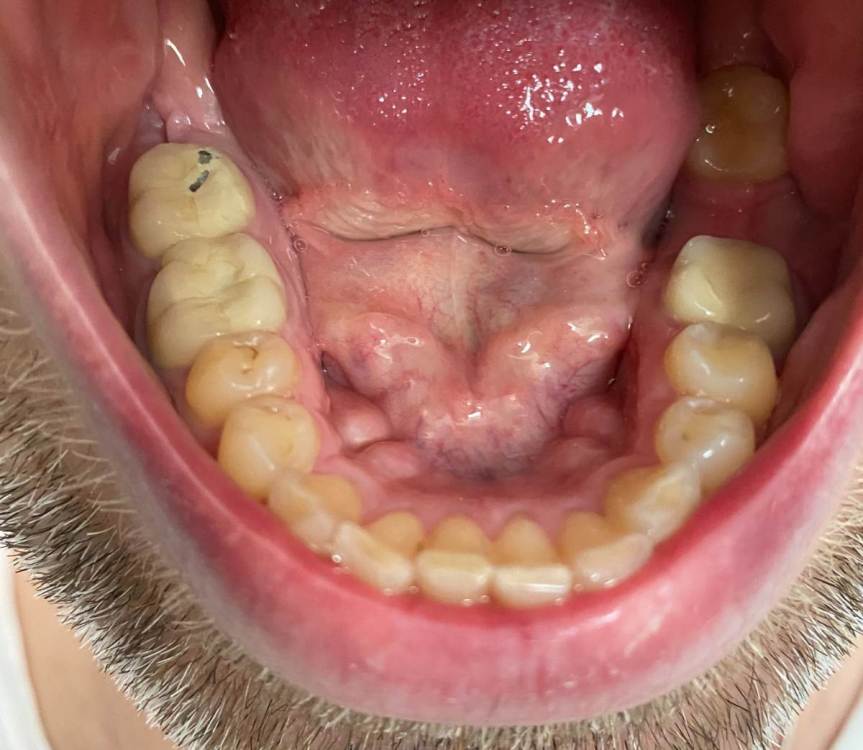
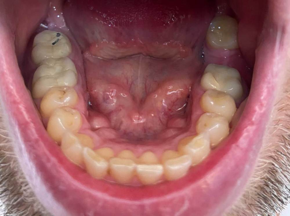
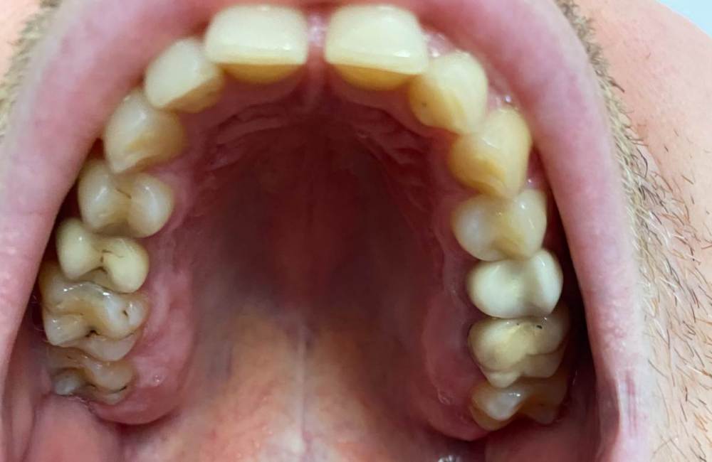
nikppee Опубликовано 25 мая, 2021 Поделиться Опубликовано 25 мая, 2021 (изменено) Добрый день. Год не могу с места сдвинуться. Хочу кардинально решить эстетический вопрос с зубами. И хочу этот вопрос решить раз и навсегда Но! Жалко передних верхних и нижних зубов (зона улыбки), они все здоровые. Если бы не эта жалость, то первое приходит в голову на все зубы поставить коронки. Почему коронки? Потому что кажется, что это самое надежное по долговечности. Коронка, это более "жесткое" воздействие на зуб, но с другой стороны зуб оточенный под винир без винира все равно уже потом функционировать не будет. В общем, не могу понять что делать... Ну и потом боюсь риска, что коронки или виниры сделают "криворуко". Отзывы почти все купленные и реклама. Прикреплю фото ротовой полости. Про то, что серьезный разговор может быть только в стоматологическом кресле, мне понятно Так, просто брошу, чтоб было Изменено 25 мая, 2021 пользователем nikppee Добавил фото Ссылка на комментарий
kramer Опубликовано 25 мая, 2021 Поделиться Опубликовано 25 мая, 2021 Здравствуйте, что именно не нравится сейчас? Что хотите улучшить? Ссылка на комментарий
nikppee Опубликовано 25 мая, 2021 Автор Поделиться Опубликовано 25 мая, 2021 Хочу, чтобы вся зона широкой улыбки была «голливудской», но внешний вид и цвет были естественными. Под естественностью имеется в виду, чтобы не было заметно, что во рту виниры, выпуклые накладки. Ссылка на комментарий
Рекомендуемые сообщения
Для публикации сообщений создайте учётную запись или авторизуйтесь
Вы должны быть пользователем, чтобы оставить комментарий
Создать аккаунт
Зарегистрируйте новый аккаунт в нашем сообществе. Это очень просто!
Регистрация нового пользователяВойти
Уже есть аккаунт? Войти в систему.
Войти