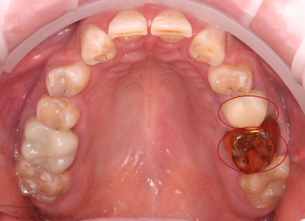
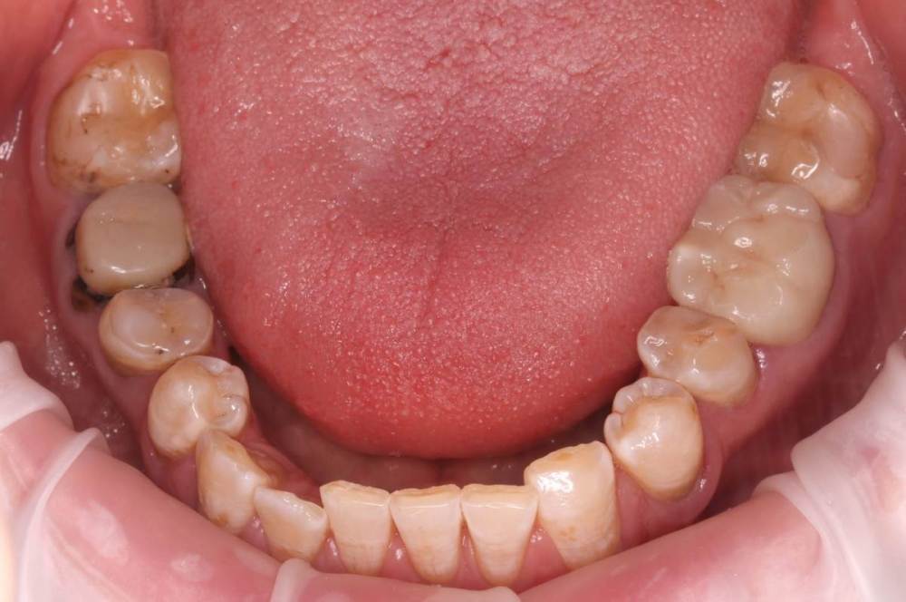
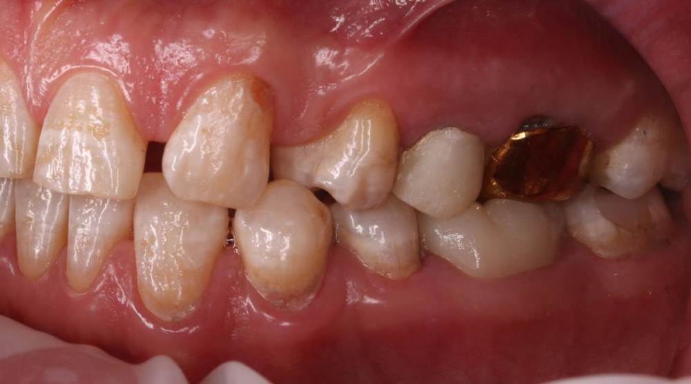
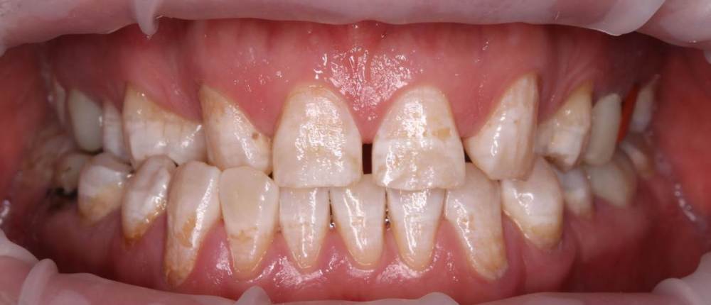
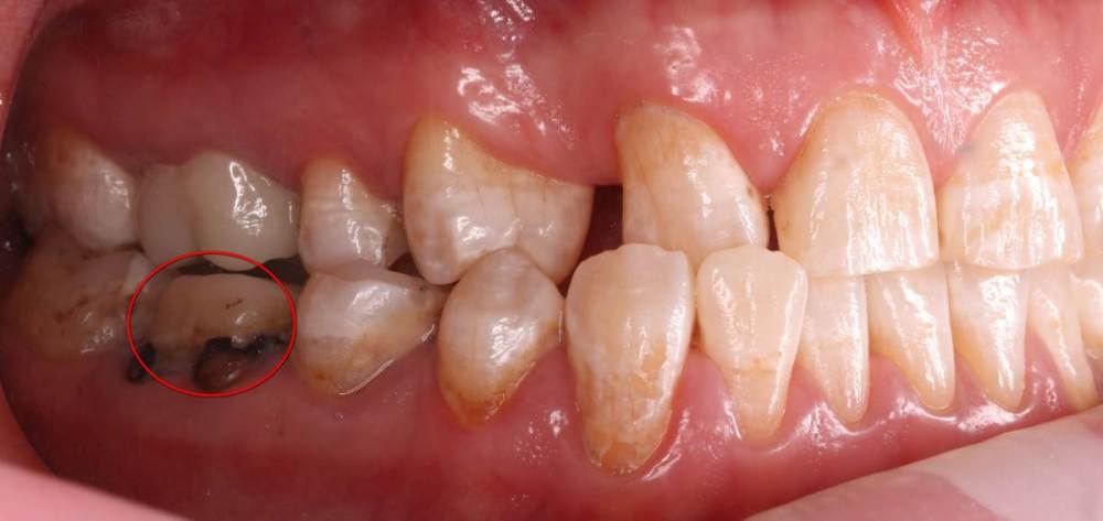
Роман1982 Опубликовано 25 мая, 2021 Поделиться Опубликовано 25 мая, 2021 Добрый день! Очень хотелось бы услышать объективное мнение специалистов. 40 лет На верхней челюсти от рождения не хватает двух резцов (12 и22) Перекрестный прикус В принципе, особо не беспокоит, хотя есть щелчки в суставе слева, если широко открывать челюсть. Из-за неправильно проводимого ранее лечения, встал вопрос об удалении в ближайшее время 25 и 26 зуба сверху и 46 снизу (на фото обведены красным). Ортопед рекомендовал пройти ортодонтическое лечение, т.к. в противном случае в дальнейшем могут возникнуть сложности с имплантами и коронками, может ухудшиться ситуация с суставом. Вот пытаюсь взвесить все за и против. Понимаю, что прикус было бы желательно исправить. Но! При текущем состоянии зубов не навредит ли это им еще больше? Исправление прикуса повлечет за собой необходимость установки на верхней челюсти еще двух дополнительных имплантов (на месте отсутствующих12 и 22). После исправления прикуса велика вероятность тотального протезирования. По словам того же ортопеда, может не хватить высоты сустава и тогда на все зубы понадобиться устанавливать коронки. Стоит ли затевать ортодонтическое лечение в данной ситуации или лучше не трогать то, что как-то функционировало 40 лет? Хотелось бы услышать аргументирование мнение. Ссылка на комментарий
Brigita Опубликовано 1 июня, 2021 Поделиться Опубликовано 1 июня, 2021 я считаю, что ортодонтия Вам показана. Те пятна, которые Вы видите - это определенная форма флюороза, эмаль, конечно страдает. Но, при правильно спланированном лечении и хорошей гигиене, брекеты не ухудшат состояние эмали, но улучшит состояние Вашего организма в целом 1 Ссылка на комментарий
Роман1982 Опубликовано 11 июня, 2021 Автор Поделиться Опубликовано 11 июня, 2021 02.06.2021 в 01:05, Brigita сказал: я считаю, что ортодонтия Вам показана. Те пятна, которые Вы видите - это определенная форма флюороза, эмаль, конечно страдает. Но, при правильно спланированном лечении и хорошей гигиене, брекеты не ухудшат состояние эмали, но улучшит состояние Вашего организма в целом Спасибо за ваш ответ. Но, дело не только в эмали. После исправления прикуса, придётся устанавливать еще два импланта в местах отсутствующих резцов. Устанавливать дополнительные коронки на зубы которые имеют сейчас неправильную форму из-за того, что расположены не на своих местах. А если не хватит "высоты сустава", как объяснил мен ортопед, вполне возможно придётся устанавливать коронки на все зубы. Вот и думаю, не приведет ли лечение к противоположному результату - сокрушению жизни оставшихся зубов. Ссылка на комментарий
art700 Опубликовано 13 июня, 2021 Поделиться Опубликовано 13 июня, 2021 11.06.2021 в 15:37, Роман1982 сказал: А если не хватит "высоты сустава", как объяснил мен ортопед, вполне возможно придётся устанавливать коронки на все зубы. Я бы этот вариант после ортодонтии и рассматривал, без - план лечения по ортодонтии сомнитенльный Ссылка на комментарий
Роман1982 Опубликовано 18 июня, 2021 Автор Поделиться Опубликовано 18 июня, 2021 13.06.2021 в 22:09, art700 сказал: Я бы этот вариант после ортодонтии и рассматривал, без - план лечения по ортодонтии сомнитенльный Очень интересно, но ничего не понятно. Могли бы вы чуть подробнее сформулировать, что имели ввиду? ) Ссылка на комментарий
Женька Опубликовано 23 июня, 2021 Поделиться Опубликовано 23 июня, 2021 (изменено) @Роман1982 коллега хотел сказать, что в вашем случае рассматривал бы вариант установки коронок на все зубы после ортодонтического лечения, иначе просто ортодонтия вообще будет сомнительна. Изменено 23 июня, 2021 пользователем Женька 1 1 Ссылка на комментарий
Роман1982 Опубликовано 6 июля, 2021 Автор Поделиться Опубликовано 6 июля, 2021 23.06.2021 в 22:11, Женька сказал: @Роман1982 коллега хотел сказать, что в вашем случае рассматривал бы вариант установки коронок на все зубы после ортодонтического лечения, иначе просто ортодонтия вообще будет сомнительна. Вот в связи с этим меня и мучают очень сильные сомнения. С текущим прикусом я без особых проблем просуществовал уже без малого 40 лет. Понятно, что он не идеален и зубы быстрее изнашиваются, но лет 10 еще продержатся. А исправление прикуса возможно приведет к ухудшению эмали; скорее всего, тотальному протезированию; необходимости устанавливать импланты во фронтальной части (а значит, скорее всего, придётся делать костную пластику - наращивать толщину альвеолярного отростка).... Т.е. к огромным проблемам и тратам. В связи с чем у меня и возникает вопрос озвученный в стартовом топике - стоит ли игра свеч? Если не брать в расчет косметический эффект, что мне даст исправление прикуса, кроме значительных трат, тотального протезирования и двух имплантов во фронтальной зоне? По ощущением, все это скорее сократить срок службы зубов, а не увеличит его. Ссылка на комментарий
Женька Опубликовано 6 июля, 2021 Поделиться Опубликовано 6 июля, 2021 10 лет, а потом что? 1 час назад, Роман1982 сказал: Понятно, что он не идеален и зубы быстрее изнашиваются, но лет 10 еще продержатся. Ссылка на комментарий
Роман1982 Опубликовано 6 июля, 2021 Автор Поделиться Опубликовано 6 июля, 2021 3 часа назад, Женька сказал: 10 лет, а потом что? Буду постепенно ставить коронки и удалять те, что совсем износятся. но, будут еще хотя бы эти 10 лет относительно беспроблемных лет. А если заняться исправлением прикуса - уже сейчас два года в брекетах (такое себе удовольствие), а через два года коронки ( с большой вероятностью на все зубы) и два импланта во фронт... Отсюда и вопрос - в чем плюс, какой профит для моих зубов от всех этих процедур? После ортодонтии мои зубы дольше простоят, чем без ортодонтии? Почему-то никто не берется утверждать, что так и будет ( Ссылка на комментарий
Женька Опубликовано 7 июля, 2021 Поделиться Опубликовано 7 июля, 2021 (изменено) 14 часов назад, Роман1982 сказал: Почему-то никто не берется утверждать, что так и будет ( @Роман1982 потому что медицина не математика, вот никто и не утверждает. Когда зубы стоят в правильном положении улучшается как пассивная (самоочищение) так и активная гигиена. С подключением ортопедического лечения еще и окклюзионную нагрузку можно распределить так, что практически не будут изнашиваться твердые ткани зубов. ну и я бы не стал загадывать, что эти 10 лет будут беспроблемными. Изменено 7 июля, 2021 пользователем Женька Ссылка на комментарий
Рекомендуемые сообщения
Для публикации сообщений создайте учётную запись или авторизуйтесь
Вы должны быть пользователем, чтобы оставить комментарий
Создать аккаунт
Зарегистрируйте новый аккаунт в нашем сообществе. Это очень просто!
Регистрация нового пользователяВойти
Уже есть аккаунт? Войти в систему.
Войти