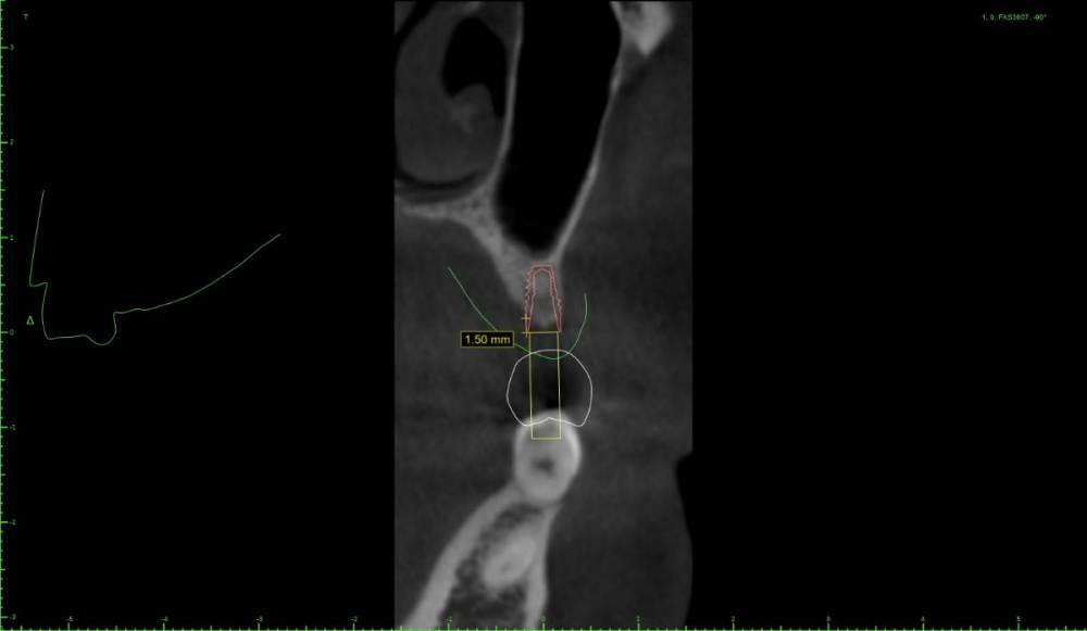
Женька Опубликовано 22 мая, 2021 Поделиться Опубликовано 22 мая, 2021 Дабы не захламлять тему про "мильён вопросов" я всё же создал свою. Итак, я получил оттиск верхней челюсти, отлил модель и перевёл в stl. Мои остеотомы застряли где-то в Пуяне и постучать нечем. Но в теме с мильёном вопросов пришли к выводу, что и зсл не нужен, только нкр. Что под рукой: даск с его фрезами для зсл, мембрана еволюшн, микс апатоса и только нитки, чтобы всё это зафиксировать. Также есть вариация имплантата суперлайн 2 (1.5мм полированной шейки и 5.5 шероховатой) или же полностью шероховатый суперлайн 1 с полированной фаской (3.6*7мм), но макродизайн менее агрессивный. Также будет сделан шаблон под пилотное сверление. Вот такие варианты получились. Вопрос, можно ли будет сделать маленькую нкр с имплантатом имеющим 1.5мм полированную шейку (как я понимаю - нет)? Ссылка на комментарий
annda Опубликовано 23 мая, 2021 Поделиться Опубликовано 23 мая, 2021 (изменено) Ну, не знаю, что там не нужно, я бы в ГП все равно вторгалась бы бикортикально. На реверс обычными фрезами дентиумовскими расщепила бы гребень (подобно денсаху) и скальпелем расщепила мякготканный лоскут. И сделала бы НКР по Штагмайеру, под надкостницу графт положив отдельно, как в карман, накрыв все это вместе с имплантатом мобилизованным слизистым верхним лоскутом. Изменено 23 мая, 2021 пользователем annda 2 Ссылка на комментарий
Raystom Опубликовано 23 мая, 2021 Поделиться Опубликовано 23 мая, 2021 @annda Не подскажете, где возможно ознакомиться с методикой Штагмайера? Ознакомился с результатами форума и Гугла - результатов не нашел. Ссылка на комментарий
kramer Опубликовано 23 мая, 2021 Поделиться Опубликовано 23 мая, 2021 29 минут назад, Raystom сказал: методикой Штагмайера Это что-то среднее между Ноймайером и Штайгманном)) 1 1 Ссылка на комментарий
DoKamIn Опубликовано 23 мая, 2021 Поделиться Опубликовано 23 мая, 2021 https://www.researchgate.net/publication/221694653_Periosteal_Pocket_Flap_for_Horizontal_Bone_Regeneration_A_Case_Series 2 1 Ссылка на комментарий
annda Опубликовано 24 мая, 2021 Поделиться Опубликовано 24 мая, 2021 20 часов назад, kramer сказал: Это что-то среднее между Ноймайером и Штайгманном)) Конечно, спасибо за поправку Ссылка на комментарий
Карен Аванесов Опубликовано 31 мая, 2021 Поделиться Опубликовано 31 мая, 2021 Делайте ту операцию в качестве которой и дальнейшем прогнозе Вы уверены. Лично я, в такой ситуации, устанавливаю имплантат 7мм. 1 1 Ссылка на комментарий
Pavel-Pskov Опубликовано 31 мая, 2021 Поделиться Опубликовано 31 мая, 2021 + за короткий. Ссылка на комментарий
Женька Опубликовано 31 мая, 2021 Автор Поделиться Опубликовано 31 мая, 2021 @Карен Аванесов я вот тоже склоняюсь к суперлайну первому неагрессиному...и маленькой НКР с прижатием мембраны швами к надкостнице. Ссылка на комментарий
Bier Опубликовано 3 июня, 2021 Поделиться Опубликовано 3 июня, 2021 я бы тут пластику не делал, только мягкие ткани. Ну имплантат в пазуху бы ткнул немного 1 Ссылка на комментарий
Женька Опубликовано 3 июня, 2021 Автор Поделиться Опубликовано 3 июня, 2021 @Bier позицию бы выбрали иначе, чем на снимках? Ссылка на комментарий
Bier Опубликовано 3 июня, 2021 Поделиться Опубликовано 3 июня, 2021 да, разумеется. ставил бы по кости. Ссылка на комментарий
Женька Опубликовано 3 июня, 2021 Автор Поделиться Опубликовано 3 июня, 2021 @Bier Олег Юрьевич, не могли бы вы нарисовать, пожалуйста как и куда. Имплантат 3.5 минимальный диаметр возможный... и либо 7 либо 8 мм. Ссылка на комментарий
Женька Опубликовано 17 июня, 2021 Автор Поделиться Опубликовано 17 июня, 2021 Как вы наверное уже догадались я не осилил этот кейс. Точнее осилил, но не как планировал изначально. Сделал маленькую сосиску, уже прогнозирую, что мало что там вырастет у меня. Пытался собрать ауто, сначала скрёб бузеровским распатером, потом решил сделать «ложе» для имплантата и забрать кости там. Насобирал мало конечно же. Сделал какое-то подобие штайгмановского лоскута кмк, хотя наверное это не так. Подшил мембрану к надкостнице, хотел чтобы надкостница была в нахлест на мембране, вышло «в стык». Утрамбовал апатос, подшил под нёбный край. Плотненько получилось, даже понравился вид ( а фото забыл сделать) Натянул лоскут, хотя прежде мобилизовывал хорошо как показалось. Снова мобилизовал, ушил. Уже жду когда это развалится. Соотношение ауто/ксено примерно на уровне 80/20(думаю даже меньше). Думаю, что надо было дистально лоскут ещё на зуб продлевать. Но есть и хорошие новости, я кажется понял, каким пациентам я буду отказывать в лечении... ну и лоскут не порвал, это уже уровень для меня. Ссылка на комментарий
Карен Аванесов Опубликовано 17 июня, 2021 Поделиться Опубликовано 17 июня, 2021 Это кейс хорошо закончится, даже если ничего "не вырастет". Но конечно сильно усложнили, но все приходит с личным опытом, в том числе и фильтрация бесконечного информационного потока и подражание кумирам, тиграм, львам и прочей флоре фауне) 1 2 Ссылка на комментарий
Женька Опубликовано 17 июня, 2021 Автор Поделиться Опубликовано 17 июня, 2021 25 минут назад, Карен Аванесов сказал: Это кейс хорошо закончится, даже если ничего "не вырастет". Это как? Ссылка на комментарий
koreandr Опубликовано 17 июня, 2021 Поделиться Опубликовано 17 июня, 2021 имплант то встал? Ссылка на комментарий
Карен Аванесов Опубликовано 17 июня, 2021 Поделиться Опубликовано 17 июня, 2021 1 час назад, Женька сказал: Это как? А вот так, вне зависимости от результата установите имплантат в то что там есть (было изначально), на мой взгляд, того что представлено в описании, вполне хватает для надежной интеграции имплантата, без "сарделек", ну если только фрагмент сст вестибулярно. Но разумеется все может пойти по другому сценарию) А с чего Вы решили отказывать пациентам? 1 Ссылка на комментарий
Irouil Опубликовано 17 июня, 2021 Поделиться Опубликовано 17 июня, 2021 Пока все выглядит нормально Ссылка на комментарий
Женька Опубликовано 17 июня, 2021 Автор Поделиться Опубликовано 17 июня, 2021 (изменено) @Карен Аванесов с того, что работа должна приносить удовольствие. Мне удовольствие приносят только чужие кейсы... Какой бы случай не попал ко мне я никогда не доволен своим результатом. Ну может за редким исключением. Но в основном не доволен. Так и тут. Планировал и имплантат и нкр и шминус-синус...на деле, извините за выражение, обделался. Даже шаблон под пилотное сверление был... поставь я имплантат, в любом случае сст бы не обошлось, тк шероховатая поверхность была бы вестибулярно оголена. говоря об удовольствии... наверное это всё от недостатка знаний... 16 минут назад, Irouil сказал: Пока Увы Изменено 17 июня, 2021 пользователем Женька Ссылка на комментарий
Женька Опубликовано 17 июня, 2021 Автор Поделиться Опубликовано 17 июня, 2021 @koreandr неа Ссылка на комментарий
annda Опубликовано 18 июня, 2021 Поделиться Опубликовано 18 июня, 2021 Божечки, вы напоминаете мне одного молоденько врача- хирурга. За что ни брался, все прахом. Даже на ровном месте. А все от мыслей. Пришлось специализацию менять на более консервативную.:)) Зато мысли сейчас весьма позитивные и все получается…Но и новая работа очень нравится, гораздо больше хирургии… Ссылка на комментарий
Женька Опубликовано 18 июня, 2021 Автор Поделиться Опубликовано 18 июня, 2021 @annda Ссылка на комментарий
Карен Аванесов Опубликовано 18 июня, 2021 Поделиться Опубликовано 18 июня, 2021 17.06.2021 в 14:35, Женька сказал: @Карен Аванесов с того, что работа должна приносить удовольствие. Мне удовольствие приносят только чужие кейсы... Какой бы случай не попал ко мне я никогда не доволен своим результатом. Ну может за редким исключением. Но в основном не доволен. Так и тут. Планировал и имплантат и нкр и шминус-синус...на деле, извините за выражение, обделался. Даже шаблон под пилотное сверление был... поставь я имплантат, в любом случае сст бы не обошлось, тк шероховатая поверхность была бы вестибулярно оголена. говоря об удовольствии... наверное это всё от недостатка знаний... Увы Если это не шутка, выход один прекратить смотреть и мастурбировать на дентальное порно, начать принимать витамины и бегать каждый день по 10 км, все просто. 1 Ссылка на комментарий
Irouil Опубликовано 19 июня, 2021 Поделиться Опубликовано 19 июня, 2021 На мой взгляд, нужно сформировать четкие протоколы. В идеале - в цифрах. На это, конечно, очень сильно влияет опыт, но твёрдые ткани любят точность и прощают мало ошибок (зато и открывают много возможностей). Может быть имеет смысл в офис-курсе у какого-то грамотного коллеги, перед которым стоит сформировать арсенал вопросов касающихся протоколов и алгоритмов, после чего какое-то время (годик-полтора) соблюдать их неукоснительно. За это время начнёт формироваться видение, которое позволит расширить/сузить собственные рамки допустимого и возможного Ссылка на комментарий
Рекомендуемые сообщения
Для публикации сообщений создайте учётную запись или авторизуйтесь
Вы должны быть пользователем, чтобы оставить комментарий
Создать аккаунт
Зарегистрируйте новый аккаунт в нашем сообществе. Это очень просто!
Регистрация нового пользователяВойти
Уже есть аккаунт? Войти в систему.
Войти