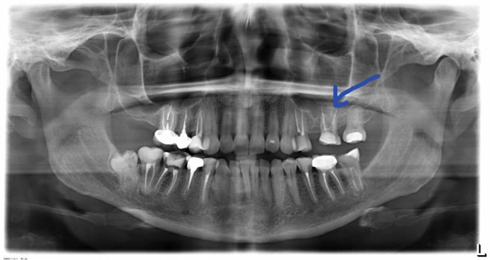
Наталья П. Опубликовано 14 мая, 2021 Поделиться Опубликовано 14 мая, 2021 Здравствуйте! Подскажите пожалуйста что можно сделать? В начале апреля появился свищ, на уже запломбированном зубе без нервов, пломба стояла долго, не тревожила. Доктор почистил каналы и санировал в середине апреля, поставил временную пломбу, и через две недели на осмотре решено было ставить коронку. После снятия слепков (30 апреля), вечером опять образовалась шишечка на десне но к утру прошла. Было решено понаблюдать. На текущий момент зуб ноет не сильно, болит при нажатии, при физических нагрузках чувствую пульсацию. Снимок сделан 14 мая. Что это может быть? Что можно сделать? Буду очень благодарна за ответ. Ссылка на комментарий
St. Опубликовано 14 мая, 2021 Поделиться Опубликовано 14 мая, 2021 Есть ли еще какие-то снимки этого зуба до и после лечения каналов? Можно пока восстановить зуб временной пластмассовой коронкой приклееной на прочный материал на 6 мес. и посмотреть динамику а запротезировать постоянной коронкой позже. Ссылка на комментарий
Рекомендуемые сообщения
Для публикации сообщений создайте учётную запись или авторизуйтесь
Вы должны быть пользователем, чтобы оставить комментарий
Создать аккаунт
Зарегистрируйте новый аккаунт в нашем сообществе. Это очень просто!
Регистрация нового пользователяВойти
Уже есть аккаунт? Войти в систему.
Войти