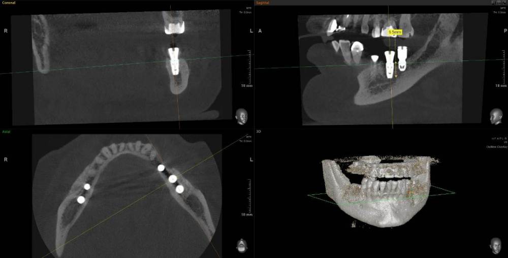
Kostoprav Опубликовано 11 мая, 2021 Поделиться Опубликовано 11 мая, 2021 (изменено) 70%ауто+30% ксено, мембрана цитофлекс, винты самосверлящие после пластики до установки имплантов прошло 8 мес. Изменено 11 мая, 2021 пользователем Kostoprav 3 6 Ссылка на комментарий
Irouil Опубликовано 12 мая, 2021 Поделиться Опубликовано 12 мая, 2021 Что за винты? Ссылка на комментарий
Kostoprav Опубликовано 12 мая, 2021 Автор Поделиться Опубликовано 12 мая, 2021 конмет 1 Ссылка на комментарий
сирена Опубликовано 12 мая, 2021 Поделиться Опубликовано 12 мая, 2021 А мембрану какой размер брали? Ссылка на комментарий
Карен Аванесов Опубликовано 12 мая, 2021 Поделиться Опубликовано 12 мая, 2021 20 часов назад, Kostoprav сказал: 70%ауто+30% ксено, мембрана цитофлекс, винты самосверлящие после пластики до установки имплантов прошло 8 мес. Замечательно! 1 Ссылка на комментарий
Kostoprav Опубликовано 14 мая, 2021 Автор Поделиться Опубликовано 14 мая, 2021 12.05.2021 в 17:53, сирена сказал: А мембрану какой размер брали? 25х30 1 Ссылка на комментарий
Рекомендуемые сообщения
Для публикации сообщений создайте учётную запись или авторизуйтесь
Вы должны быть пользователем, чтобы оставить комментарий
Создать аккаунт
Зарегистрируйте новый аккаунт в нашем сообществе. Это очень просто!
Регистрация нового пользователяВойти
Уже есть аккаунт? Войти в систему.
Войти