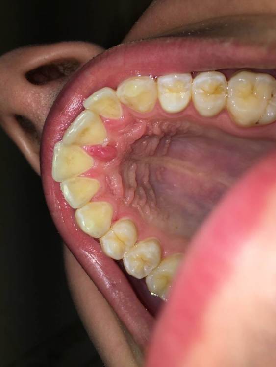
Osaneko Опубликовано 11 мая, 2021 Поделиться Опубликовано 11 мая, 2021 Здравствуйте, кушал и попала что то в верхнюю десну пошёл смотреть, а там что то застряло как я подумал. Попросил сфоткаться девушку, а тут не понятно что. Походу зуб и если это он то что делать, я в шоке Ссылка на комментарий
Irouil Опубликовано 12 мая, 2021 Поделиться Опубликовано 12 мая, 2021 Сделайте рентген 1 Ссылка на комментарий
Рекомендуемые сообщения
Для публикации сообщений создайте учётную запись или авторизуйтесь
Вы должны быть пользователем, чтобы оставить комментарий
Создать аккаунт
Зарегистрируйте новый аккаунт в нашем сообществе. Это очень просто!
Регистрация нового пользователяВойти
Уже есть аккаунт? Войти в систему.
Войти