Карен Аванесов Опубликовано 10 мая, 2021 Поделиться Опубликовано 10 мая, 2021 Контрольные осмотры пациенты нужным не считают(биииибиииибка в автосервис это святое), тогда и гарантии не нужны, нет осмотров, нет гарантий. 1 2 Ссылка на комментарий
Irouil Опубликовано 10 мая, 2021 Поделиться Опубликовано 10 мая, 2021 А кто протезист? Ссылка на комментарий
Карен Аванесов Опубликовано 10 мая, 2021 Автор Поделиться Опубликовано 10 мая, 2021 43 минуты назад, Irouil сказал: А кто протезист? Я. Ссылка на комментарий
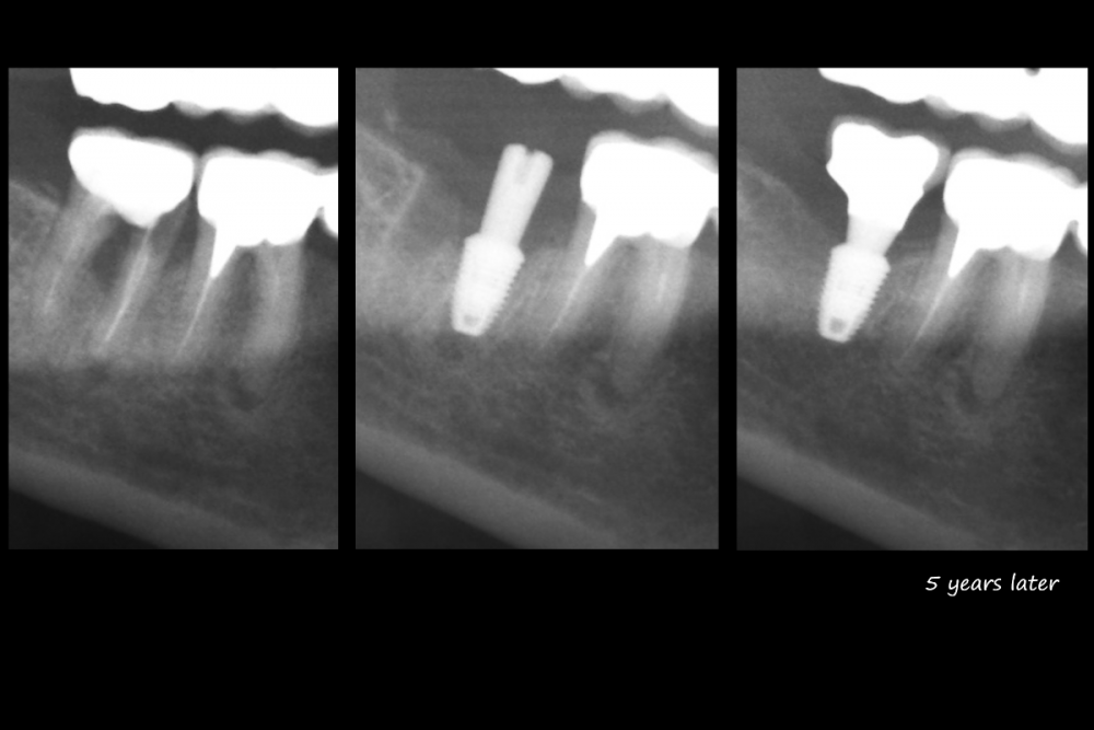
Irouil Опубликовано 10 мая, 2021 Поделиться Опубликовано 10 мая, 2021 1 час назад, Карен Аванесов сказал: Я. Тогда позволю себе ещё один вопрос? Почему такой резкий переход дистально из вертикальной в горизонтальную плоскость? Там вроде не было твёрдых тканей, которые надо было обходить. Ссылка на комментарий
Карен Аванесов Опубликовано 11 мая, 2021 Автор Поделиться Опубликовано 11 мая, 2021 19 часов назад, Irouil сказал: Тогда позволю себе ещё один вопрос? Почему такой резкий переход дистально из вертикальной в горизонтальную плоскость? Там вроде не было твёрдых тканей, которые надо было обходить. Было много плотных мягких тканей, формирователь тонкий, временной коронки не было, да и не тот случай. Самое главное, все быстро фиксируется, без анестезии, без сдавливания и последующих жалоб от пациентов. Ссылка на комментарий
Рекомендуемые сообщения
Для публикации сообщений создайте учётную запись или авторизуйтесь
Вы должны быть пользователем, чтобы оставить комментарий
Создать аккаунт
Зарегистрируйте новый аккаунт в нашем сообществе. Это очень просто!
Регистрация нового пользователяВойти
Уже есть аккаунт? Войти в систему.
Войти