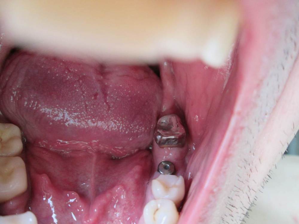
ivan_serg Опубликовано 4 мая, 2021 Поделиться Опубликовано 4 мая, 2021 Здравствуйте! Мне установили имплант на место 6-ки, но по сравнению с соседними зубами он смещен в сторону языка. Разве так и должно быть? Стоит ли переходить к установке коронки? Думаю что коронка будет выпирать во внутрь, а с другой стороны будет пустое место. С лечащим врачом еще не общался на эту тему. Что делать, посоветуйте? Ссылка на комментарий
Irouil Опубликовано 4 мая, 2021 Поделиться Опубликовано 4 мая, 2021 На приведённых снимках позиция импланта выглядит абсолютно нормально 1 Ссылка на комментарий
ivan_serg Опубликовано 4 мая, 2021 Автор Поделиться Опубликовано 4 мая, 2021 19 минут назад, Irouil сказал: На приведённых снимках позиция импланта выглядит абсолютно нормально Спасибо... просто он стоит не совсем симметрично с соседними зубами, а как бы отклонен в сторону языка... мне кажется было бы лучше если он стоял по центру. Такое положение это норма? Не будет проблем с коронкой? Ссылка на комментарий
Irouil Опубликовано 4 мая, 2021 Поделиться Опубликовано 4 мая, 2021 1 час назад, ivan_serg сказал: Такое положение это норма? Не будет проблем с коронкой? 1 час назад, Irouil сказал: На приведённых снимках позиция импланта выглядит абсолютно нормально 1 1 Ссылка на комментарий
red_butler Опубликовано 25 мая, 2021 Поделиться Опубликовано 25 мая, 2021 04.05.2021 в 17:02, ivan_serg сказал: Спасибо... просто он стоит не совсем симметрично с соседними зубами, а как бы отклонен в сторону языка... мне кажется было бы лучше если он стоял по центру. Такое положение это норма? Не будет проблем с коронкой? все нормально Ссылка на комментарий
Рекомендуемые сообщения
Для публикации сообщений создайте учётную запись или авторизуйтесь
Вы должны быть пользователем, чтобы оставить комментарий
Создать аккаунт
Зарегистрируйте новый аккаунт в нашем сообществе. Это очень просто!
Регистрация нового пользователяВойти
Уже есть аккаунт? Войти в систему.
Войти