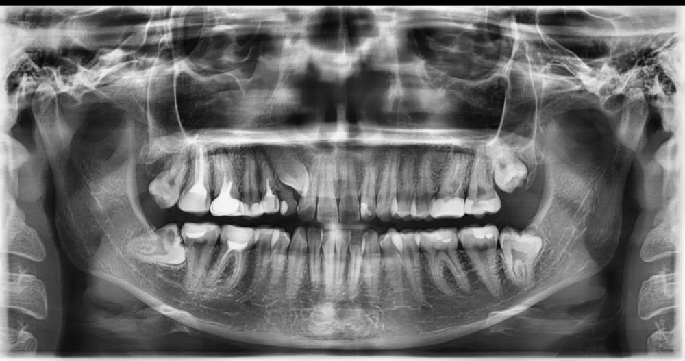
Bobik007 Опубликовано 2 мая, 2021 Поделиться Опубликовано 2 мая, 2021 Всем привет. В челюсти проживает ретинированный клык, а на его законном месте все еще молочный. Была у ортодонта, но врач сказала, что есть вероятность того, что клык не пойдет (возраст - 26 лет). Вот теперь не знаю, есть ли смысл вообще в это дело ввязываться. Как считаете? Ссылка на комментарий
АнтонТЛТ Опубликовано 2 мая, 2021 Поделиться Опубликовано 2 мая, 2021 Возраст не особо важен, более важна форма корня клыка. Если корень загнутый, то скорее всего нормально не получится вытянуть. Ссылка на комментарий
Bobik007 Опубликовано 2 мая, 2021 Автор Поделиться Опубликовано 2 мая, 2021 Спасибо за информацию, насчет корня пока не знаю. Основное ее переживание в том, что он слишком присоседился к двойке Ссылка на комментарий
АнтонТЛТ Опубликовано 2 мая, 2021 Поделиться Опубликовано 2 мая, 2021 Компьютерную томограмму нужно сделать Ссылка на комментарий
Рекомендуемые сообщения
Для публикации сообщений создайте учётную запись или авторизуйтесь
Вы должны быть пользователем, чтобы оставить комментарий
Создать аккаунт
Зарегистрируйте новый аккаунт в нашем сообществе. Это очень просто!
Регистрация нового пользователяВойти
Уже есть аккаунт? Войти в систему.
Войти