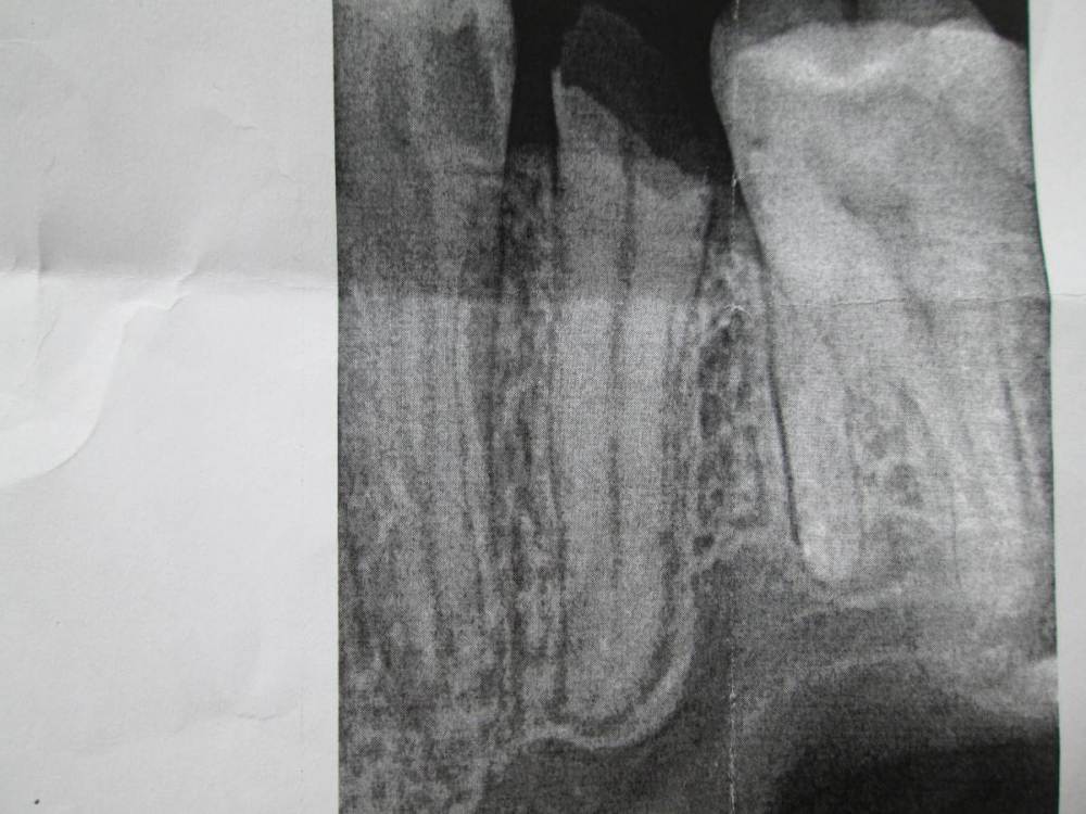
Nanny31 Опубликовано 29 апреля, 2021 Поделиться Опубликовано 29 апреля, 2021 Здравствуйте! Пару месяцев назад откололся премоляр (15-й), через месяц (работал) сходил в поликлинику. Сделали снимок, постучали, пожужжали, сказали удалять. Плюс насчитали 14 зубов к лечению. ОК. Один доктор хорошо, а два лучше. Пару дней назад, сходил в другую поликлинику, так же снимок (тот что меньше), итог - корень можно сохранить, метал. штифт + коронка. Плюс 8 зубов (на 6 меньше, предыдущего). Спросил про реставрацию, ничего не ответили, так же спросил про CEREC, тишина. Про реставрацию спросил не просто так. Уже был случай с моляром, было печальнее, но один врач сделал реставрацию, хотя другие так же говорили, что нужна коронка, штифт и т.д. Главное чтобы руки были прямые. Вопросы: 1. Что в данном случае будет оптимальным (коронка, реставрация, вкладка CEREC, что-нибудь иное)? 2. Перед анастезией дают ли направление на аллергопробу? Перед восстановлением моляра, была такая практика, частная клиника, но давали направление. Сейчас их уже нет. Ссылка на комментарий
red_butler Опубликовано 1 мая, 2021 Поделиться Опубликовано 1 мая, 2021 без очного осмотра ответить не получиться, возможно восстановление зуба потребует терапевтическую, ортодонтическую и/или хирургическую подготовку. Нсли судить только по рентгену, то удалять Ссылка на комментарий
Nanny31 Опубликовано 1 мая, 2021 Автор Поделиться Опубликовано 1 мая, 2021 5 часов назад, red_butler сказал: без очного осмотра ответить не получиться, возможно восстановление зуба потребует терапевтическую, ортодонтическую и/или хирургическую подготовку. Нсли судить только по рентгену, то удалять Спасибо. Вчера-сегодня был в 4 стоматологиях, 2 сказали удалять, 2 вкладка-коронка в корень. Буду смотреть. Ссылка на комментарий
Рекомендуемые сообщения
Для публикации сообщений создайте учётную запись или авторизуйтесь
Вы должны быть пользователем, чтобы оставить комментарий
Создать аккаунт
Зарегистрируйте новый аккаунт в нашем сообществе. Это очень просто!
Регистрация нового пользователяВойти
Уже есть аккаунт? Войти в систему.
Войти