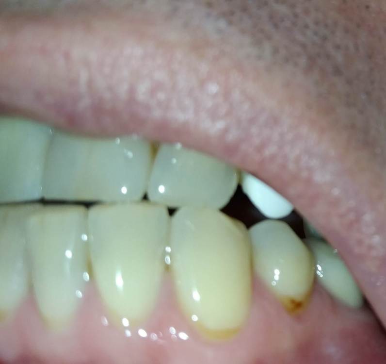
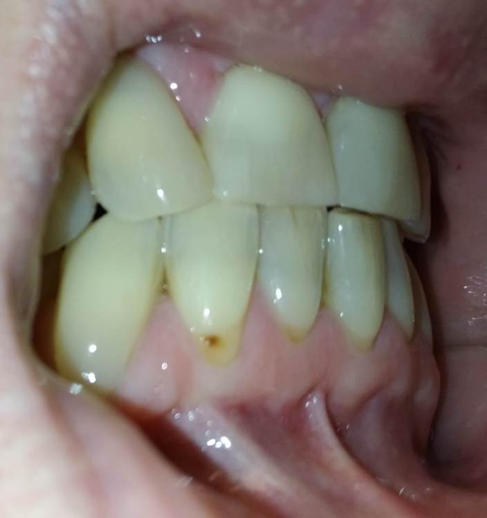
Aliluev Опубликовано 27 апреля, 2021 Поделиться Опубликовано 27 апреля, 2021 Добрый день, уважаемые врачи. У меня вот какая история: основательно пролечив зубы от кариеса, я обратил внимание терапевта на некие точки в двух моих зубах, а именно 26 и 21, по другой классификации номеров зубов 34 и 42. По его словам это клиновидные дефекты и если они меня не беспокоят, можно не трогать, добавив при этом, что у 26 зуба есть небольшая рецессия десны. Образовались же эти точки у меня насколько помню лет 5 назад и такими и остаются. И если обычно я подвергаю сомнению вначале некоторые рекомендации врача, поступая в итоге как советует врач, то тут мои мысли приняли противоположное направление: может всё-таки надо пломбировать эти клиновидные дефекты? Останавливает только мысль, что зубы эти меня не беспокоят и то, что почти все зубы у меня сейчас либо коронки, либо пломбированные, а эти два зуба пока без пломб. какие будут мнения? Фотки прикрепляю Ссылка на комментарий
dentikl Опубликовано 28 апреля, 2021 Поделиться Опубликовано 28 апреля, 2021 Ваши мысли-правы.Ищите врача,который запломбирует эти дефекты. Ссылка на комментарий
Женька Опубликовано 28 апреля, 2021 Поделиться Опубликовано 28 апреля, 2021 По мне так наоборот тут показания для закрытия рецессий и пломбировать такие дефекты не стоит. 2 Ссылка на комментарий
Aliluev Опубликовано 28 апреля, 2021 Автор Поделиться Опубликовано 28 апреля, 2021 1 час назад, Женька сказал: По мне так наоборот тут показания для закрытия рецессий и пломбировать такие дефекты не стоит. Спасибо за ответ. Скажите пожалуйста, а что такое "показания для закрытия рецессии"? Это не пломбирование, а что-то другое? И кто это делает тогда? Не терапевт? 2 часа назад, dentikl сказал: Ваши мысли-правы.Ищите врача,который запломбирует эти дефекты. Спасибо за ответ. Да и мой врач может запломбировать их, если ему сказать. Он не то , чтобы против, просто не советует.. Такое вот у него мнение... Ссылка на комментарий
red_butler Опубликовано 28 апреля, 2021 Поделиться Опубликовано 28 апреля, 2021 +1 закрывать рецессии 4 часа назад, Aliluev сказал: Это не пломбирование, а что-то другое? это хирургическая процедура Ссылка на комментарий
Aliluev Опубликовано 28 апреля, 2021 Автор Поделиться Опубликовано 28 апреля, 2021 1 час назад, red_butler сказал: +1 закрывать рецессии это хирургическая процедура Тогда это должен делать хирург выходит? А это сложная и дорогая операция на уровне имплантации или как? И наконец, если хирург это сделает, сам клиновидный дефект останется ведь? Ссылка на комментарий
Женька Опубликовано 28 апреля, 2021 Поделиться Опубликовано 28 апреля, 2021 @Aliluev в вашем случае пожалуй, что не такая уж и сложная. Финансовый вопрос надо узнавать в том месте, где данное лечение предлагают. Если хирург закроет вам эти рецессии, то и клиновидный дефект будет десной закрыт (сам дефект/корень полируется и сглаживается). Результаты такого лечения как правило достаточно стабильны и долгосрочны. 1 Ссылка на комментарий
Aquarius Опубликовано 28 апреля, 2021 Поделиться Опубликовано 28 апреля, 2021 В данном случае показано закрытие рецессий хирургическим путем. Никаких пломб здесь не нужно. Многие врачи залепляют оголенные корни композитом, тем самым провоцируя дальнейшее усугубление рецессии. Проще говоря, в том месте, где природой заложено быть десне, композиту не место. Если бы данные дефекты распространялись на корень и на эмаль зуба, то часть дефекта на эмали закрывают композитом, а оголенный корень - мягкими тканями 2 Ссылка на комментарий
red_butler Опубликовано 28 апреля, 2021 Поделиться Опубликовано 28 апреля, 2021 43 минуты назад, Aliluev сказал: Тогда это должен делать хирург выходит? А это сложная и дорогая операция на уровне имплантации или как? И наконец, если хирург это сделает, сам клиновидный дефект останется ведь? Да, это делает хирург. Финансовые вопросы на форуме не обсуждаются, да некариозные дефекты останутся, но будут закрыты десной Ссылка на комментарий
Aliluev Опубликовано 29 апреля, 2021 Автор Поделиться Опубликовано 29 апреля, 2021 17 часов назад, Женька сказал: @Aliluev в вашем случае пожалуй, что не такая уж и сложная. Финансовый вопрос надо узнавать в том месте, где данное лечение предлагают. Если хирург закроет вам эти рецессии, то и клиновидный дефект будет десной закрыт (сам дефект/корень полируется и сглаживается). Результаты такого лечения как правило достаточно стабильны и долгосрочны. У меня есть свой хороший хирург, он мне как раз и удалял когда-то зубы с воспалением корней, попробую у него спросить. Но только вот что непонятно: по вашему суть операции в том, что хирургически на эти клиновидные дефекты натягивают десну, так? Но только ведь у меня эти дефекты в 26 зубе в самой нижней части, по сути в шейке, а в другом , в 21, чуть выше. Откуда там взять десну, чтобы её натянуть на зуб? И если её натянуть, тогда закроется вообще часть зуба 21, а возможно и 26, разве нет ? Сами же по себе дефекты эти терапевтически не высверливаются, так? А тогда что означает полировка и сглаживание дефекта? Это же уже должен делать не хирург выходит? Извините на множество вопросов, просто правда непонятно много тут. Ссылка на комментарий
Aliluev Опубликовано 29 апреля, 2021 Автор Поделиться Опубликовано 29 апреля, 2021 17 часов назад, Aquarius сказал: В данном случае показано закрытие рецессий хирургическим путем. Никаких пломб здесь не нужно. Многие врачи залепляют оголенные корни композитом, тем самым провоцируя дальнейшее усугубление рецессии. Проще говоря, в том месте, где природой заложено быть десне, композиту не место. Если бы данные дефекты распространялись на корень и на эмаль зуба, то часть дефекта на эмали закрывают композитом, а оголенный корень - мягкими тканями Спасибо за ответ. Но мне не вполне понятно суть операции извините. Хирург выходит просто или непросто натягивает десну на ту часть зуба, где дефект клиновидный, так? А откуда извините он возьмёт эту десну? И ещё: в одном зубе у меня дефект в самой нижней части, по сути в шейке и там видна небольшая по словам терапевта рецессия, а в другом зубе, в 21, где тоже есть точечка, рецессии по сути то и нет и точка расположена выше шейки и если натянуть десну как-то на этот дефект, то закроется часть зуба. Простите за множество вопросов Ссылка на комментарий
Женька Опубликовано 29 апреля, 2021 Поделиться Опубликовано 29 апреля, 2021 @Aliluev то что для вас "точечка", для хирурга занимающегося устранением таких дефектов рецессия требующая закрытия. Чтобы "натянуть" эту десну, врач проводит забор трансплантата из области твёрдого нёба (вырезают кусочек десны) и пересаживает в то место, где необходимо. Хирург на современном этапе это не только зуб удалить или кисту вырезать. Мы тоже работаем с вращающимися инструментами, помимо этого также есть ручные инструменты для сглаживания полирования корней. Не вдавайтесь в эти тонкости, они вам не к чему . Просто вариант пломбирования, как уже коллеги высказались выше это неправильно. 2 Ссылка на комментарий
Aliluev Опубликовано 30 апреля, 2021 Автор Поделиться Опубликовано 30 апреля, 2021 21 час назад, Женька сказал: @Aliluev то что для вас "точечка", для хирурга занимающегося устранением таких дефектов рецессия требующая закрытия. Чтобы "натянуть" эту десну, врач проводит забор трансплантата из области твёрдого нёба (вырезают кусочек десны) и пересаживает в то место, где необходимо. Хирург на современном этапе это не только зуб удалить или кисту вырезать. Мы тоже работаем с вращающимися инструментами, помимо этого также есть ручные инструменты для сглаживания полирования корней. Не вдавайтесь в эти тонкости, они вам не к чему . Просто вариант пломбирования, как уже коллеги высказались выше это неправильно. Спасибо за ответ. Я сам тем временем тоже поискал информацию о хирургическом лечении рецессий - так и пишут тоже про трансплантацию тканей. Но вот длительность заживления какова? Я читал про аж 4 месяца. Так? Сегодня я задал вопросы своему терапевту по поводу лечения этих клиновидных дефектов. Видимо под напором моего интереса на этот раз он уже недвусмысленно предложил мне пломбировать их. Вариант же хирургический им не рассматривается по очевидной причине - он не хирург, это всё и объясняет наверное. И более того, по его мнению трансплантация тканей и хирургическое закрытие рецессий ничего не даст, так как потом снова десна опустится. Предлагает сперва пломбировать дефекты, потом носить брекеты, то есть заняться ортодонтией. Такая вот схема, но что-то она мне не нравится... А вы как думаете? Ссылка на комментарий
Женька Опубликовано 30 апреля, 2021 Поделиться Опубликовано 30 апреля, 2021 (изменено) 18 минут назад, Aliluev сказал: А вы как думаете? Я и коллеги, уже вам несколько раз написали, что мы думаем. Хотите по старинке и усугубить проблемы в будущем - пломбируйте, ведь ваш терапевт не знает про комплексный подход похоже. Раз по мнению терапевта, который не занимается пересадкой тканей (!!) хирургическое лечение ничего не даст и десна снова опустится... вам и карты в руки. А и по поводу ожидания. Ваши рецессии образовались не за один день. Теперь вы хотите сделать всё быстро и цифры из интернета про 4 месяца вас пугают. Быстро не равно правильно/качественно. 4 месяца это полное заживление и оценка результата. Швы снимаются на 10-14 сутки. Изменено 30 апреля, 2021 пользователем Женька Ссылка на комментарий
Aliluev Опубликовано 1 мая, 2021 Автор Поделиться Опубликовано 1 мая, 2021 30.04.2021 в 17:30, Женька сказал: Я и коллеги, уже вам несколько раз написали, что мы думаем. Хотите по старинке и усугубить проблемы в будущем - пломбируйте, ведь ваш терапевт не знает про комплексный подход похоже. Раз по мнению терапевта, который не занимается пересадкой тканей (!!) хирургическое лечение ничего не даст и десна снова опустится... вам и карты в руки. А и по поводу ожидания. Ваши рецессии образовались не за один день. Теперь вы хотите сделать всё быстро и цифры из интернета про 4 месяца вас пугают. Быстро не равно правильно/качественно. 4 месяца это полное заживление и оценка результата. Швы снимаются на 10-14 сутки. Спасибо! Я вас услышал. Просто чисто психологически когда ходишь лечиться к терапевту, преодолев возможно первую настороженность, потом уже даже отдавая себе отчёт в том, что в чём-то он может быть не прав, почему я собственно и вынес вопрос в обсуждение, всё равно хочешь ему верить. Благодаря вам понял, что грамотнее всё же хирургическая операция Ссылка на комментарий
Рекомендуемые сообщения
Для публикации сообщений создайте учётную запись или авторизуйтесь
Вы должны быть пользователем, чтобы оставить комментарий
Создать аккаунт
Зарегистрируйте новый аккаунт в нашем сообществе. Это очень просто!
Регистрация нового пользователяВойти
Уже есть аккаунт? Войти в систему.
Войти