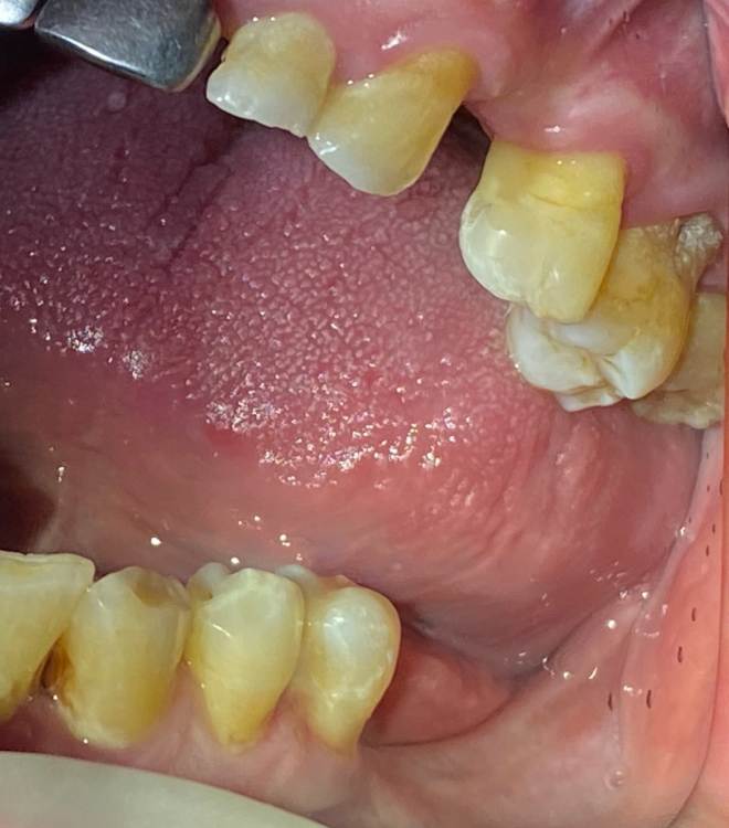
Женька Опубликовано 18 апреля, 2021 Поделиться Опубликовано 18 апреля, 2021 Коллеги, здравствуйте! Скажите пожалуйста, как определить верное положение (вестибулярный наклон) фронтальных имплантатов? Общий план такой: на верхней челюсти удаление моляров в 1 и 2 сегменте ввиду феномена Попова-Годона. Бюгельный протез и 7 коронок на зубах. На нижней челюсти всё видно на снимке. Был предложен вариант с одним имплантатом во фронте, но мне он совсем не нравится. Никогда не ставил нижние резцы, слышал, что это одна из самых сложных зон для восстановления. Как бы в данном случае вы выбирали точку выхода шахты имплантата? Хотелось бы обойтись вариантами FP-2 не прибегая к FP-3 (FP-1 вряд ли тут пройдёт). Ссылка на комментарий
Карен Аванесов Опубликовано 19 апреля, 2021 Поделиться Опубликовано 19 апреля, 2021 Шаблон, цифровой, аналоговый. Ссылка на комментарий
Женька Опубликовано 19 апреля, 2021 Автор Поделиться Опубликовано 19 апреля, 2021 @Карен Аванесов шаблон снова только под пилот, но тем не менее он будет. Больше смущает именно наклон и как нагрузку будут эти имплантаты воспринимать Ссылка на комментарий
Astronaft Опубликовано 21 апреля, 2021 Поделиться Опубликовано 21 апреля, 2021 Имплантам наклон не страшен если конусное соединение. Механически импланты очень прочные. Судя по панорамме заниженная окклюзия, которая привела к выдвижению верхних резцов. Пусть пациент накусит на марлю свернутую в 4-6-8 раз передними зубами так что бы окклюзионные поверхности 16 и 26 встали на уровень с 35,45. Если этого можно достичь 3-4мм-ми - то кейс легко разрулить. Сохранить 16, 26, удалить 17, 27; выровнять наколоны резцов, обойтисть без бюгеля. Большинство людей переносят одномоментное поднятие прикус до 4мм относительно легко. 1 Ссылка на комментарий
Sergiosse Опубликовано 21 апреля, 2021 Поделиться Опубликовано 21 апреля, 2021 Я бы на верхней Челюсти оставил только 6 фронтальных резцов. Сделал бюгель на аттачменах. 35 Судя по снимку выдвинулся, его необходимо вернуть в окклюзионную плоскость, скорее всего депульпировать и покрыть коронкой. Расположение нижних имплантов на схемах вполне рабочее. Лучше было бы поставить импланты параллельно вестибулярной кортикалки,но тогда выход шахты будет неоптимален. 1 Ссылка на комментарий
Женька Опубликовано 22 апреля, 2021 Автор Поделиться Опубликовано 22 апреля, 2021 21.04.2021 в 09:04, Astronaft сказал: Имплантам наклон не страшен если конусное соединение. Механически импланты очень прочные. Судя по панорамме заниженная окклюзия, которая привела к выдвижению верхних резцов. Пусть пациент накусит на марлю свернутую в 4-6-8 раз передними зубами так что бы окклюзионные поверхности 16 и 26 встали на уровень с 35,45. Если этого можно достичь 3-4мм-ми - то кейс легко разрулить. Сохранить 16, 26, удалить 17, 27; выровнять наколоны резцов, обойтисть без бюгеля. Большинство людей переносят одномоментное поднятие прикус до 4мм относительно легко. Благодарю за ответ! План по нижней челюсти у меня вот такой БЫЛ: 4.4-4.5, 3.4-3.5 покрыть коронками, 3.5 пришлось бы депульпировать, учитывая сколько нужно "спилить" чтобы в плоскость его вернуть с остальными. Попробую переиграть после вашего совета) И правда, может получится эти 4мм поднять и оставить 2.6 и 1.6. Было бы круто, и мостиками по сегментам всё разрулить. По верхней в первом сообщении вроде расписал. Коллеги, а что думаете о приговоре 3.2-4.2? Ссылка на комментарий
Astronaft Опубликовано 24 апреля, 2021 Поделиться Опубликовано 24 апреля, 2021 Для меня поднятие прикуса было одним из бОльших страхов. Конечно же здесь много разных приемлемых вариантов. Лично я начал бы с беседы о чеобходимости привыкать к новому прикусу. Если человек воспринимает то делал бы высокие композитные надстойки на 15,13,23 - судя по снимку 4мм будет достаточно. Если перенесет нормально то делать все остальное. 35 для начала пришлифовать, ну или тонкую коронку (цельнометаллическую например 0.7мм толщиной). Депульпировать только если стрельнет. Вот на фото пример. Иногда уже полный коллапс прикуса и просят починить один зуб. А места нет вообще. Приподняли бюджетно - купили время. Когда у пациента не остается выбора то прикус поднимается и привыкается. Ссылка на комментарий
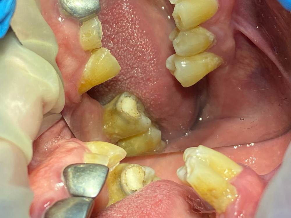
Женька Опубликовано 24 апреля, 2021 Автор Поделиться Опубликовано 24 апреля, 2021 @Astronaft у него даже 2.5-3мм уже хорошо проходят и решаются коронками на 3.5 и 1.6-2.6 Но беспокоит обнаженные фуркации Я всё думаю, если поднять и оставить молчры, как же я по фуркации то буду препарировать и что за коронку я получу, при условии что нужна нам как минимум МК. 2.6 кажется ничего по фото, но это не так) что думаете? Может всё таки бюгель более адекватный вариант в этом случае? п.с. В вашем примере это бюгель прям поверх зубов с накладками?:) Ссылка на комментарий
Raystom Опубликовано 24 апреля, 2021 Поделиться Опубликовано 24 апреля, 2021 Женька, обнажение фуркации не всегда проблема, есть случаи когда люди очень долго живут с такими зубами про должной гигиене. Но на фотографиях видны прямо залежи камня. Решить бы вопрос с гигиеной. Ссылка на комментарий
Женька Опубликовано 24 апреля, 2021 Автор Поделиться Опубликовано 24 апреля, 2021 @Raystom не спорю, но живут кмк с обнаженными фуркациями без коронок поверх этих фуркаций? Просто где будет граница препа на таких зубах? Ссылка на комментарий
Raystom Опубликовано 24 апреля, 2021 Поделиться Опубликовано 24 апреля, 2021 Женька, естественно без коронок Ссылка на комментарий
Женька Опубликовано 24 апреля, 2021 Автор Поделиться Опубликовано 24 апреля, 2021 @Raystom ну вот! а в нашем случае оставить это без коронок не получается. Тк есть включенные дефекты. И либо это бюгель с удалением, либо мостовидные протезы, но эти фуркации всю малину же портят? Ссылка на комментарий
Astronaft Опубликовано 24 апреля, 2021 Поделиться Опубликовано 24 апреля, 2021 Линия препа может быть на любом уровне. Экватор тоже подойдёт. У человека металл на центральном резце. С плохой гигиеной и мост простоит не долго, и бюгель продержится не долго. Но это не должно вас останавливать от попытки сделать лучший вариант в ваших совместных условиях. 1 Ссылка на комментарий
Женька Опубликовано 25 апреля, 2021 Автор Поделиться Опубликовано 25 апреля, 2021 @Astronaft перефразируя, можно точить и по фуркации и по корням получается? если у нас что-то кроме безметалла, то уровнем экватора мы же не можем ограничиться, делая оверлей какой-нибудь. Нужно же погрузить край коронки хоть на 0.5мм под десну, чтобы было красиво? человек наконец-то созрел и понял, что металл во рту - не комильфо, хочет теперь красоту навести и хотя бы мк это дело восстановить) Ссылка на комментарий
Irouil Опубликовано 25 апреля, 2021 Поделиться Опубликовано 25 апреля, 2021 Чего-то Вы намешали в одну кучу эстетические и функциональные показания. Ничто не мешает держать нефизиономичные материалы в визуализируемых областях, кроме пожелания пациента по эстетике. Это индивидуальный вопрос. Что касается функции, то я видел много работ, напиленных по фуркации и глубже, которые стояли не один год, и хотя лично мне кажется что это полная шляпа и ни о какой гигиене и герметизме при такой сложной геометрии доступа (что для врача, что для пациента) речи быть не может, но мое мнение (как хирурга) имеет очень незначительный вес в подобном вопросе. А в ортопедической ветке Вам бы могли ответить те, чьи мнения тяжелят руку не хуже добротного издания Миша в кожаном переплете, но Вы упорно ее игнорируете) ИМХО лучше спросить там 1 Ссылка на комментарий
Женька Опубликовано 25 апреля, 2021 Автор Поделиться Опубликовано 25 апреля, 2021 @Irouil там отвечают те же люди? вот и я то думаю, что пилить по фуркации это дичь. Особенно зная своих техников, когда на простых то работах прилегание местами хромает. Ссылка на комментарий
Astronaft Опубликовано 25 апреля, 2021 Поделиться Опубликовано 25 апреля, 2021 9 часов назад, Женька сказал: @Astronaft перефразируя, можно точить и по фуркации и по корням получается? если у нас что-то кроме безметалла, то уровнем экватора мы же не можем ограничиться, делая оверлей какой-нибудь. Нужно же погрузить край коронки хоть на 0.5мм под десну, чтобы было красиво? человек наконец-то созрел и понял, что металл во рту - не комильфо, хочет теперь красоту навести и хотя бы мк это дело восстановить) Точить можно везде. В этом случае погрузить у вас не получится даже если захочется. Что бы понять причины надо удаленный верхний моляр залить гипсом до 1/2 корня и попробовать преп. Шейка - самое узкое место, ДЩ корень часто вплотную прилежит к корням второго моляра, трифуркация начинается рано). Просто не надо там пилить. Если захотите спрятать то придется депульпировать... Это треш так вкладываться финансово в такие зубы. Тонкая полоска металла 2-3мм над десной - самое оно. 1 2 Ссылка на комментарий
annda Опубликовано 26 апреля, 2021 Поделиться Опубликовано 26 апреля, 2021 (изменено) Это зубы для литых или для мк с круговой гирляндой. В бифуркации не точить либо только символ уступа, чтобы техник видел, куда край приземлить. Абсолютный вертипреп, никаких уступов.А если еще и ВОРТ, то десна может и обратно подтянуться коронально. Но тут надо осваивать не на таких зубах, конечно. У меня есть атлас Дмитрия Рузанова по периопротетике подобных зубов, я сделаю из него пару фото отпрепарированных и запротезированных подобных моляров. Говорить про бюгель и функцию с эстетикой- ну такое себе ... Изменено 26 апреля, 2021 пользователем annda 1 Ссылка на комментарий
Женька Опубликовано 26 апреля, 2021 Автор Поделиться Опубликовано 26 апреля, 2021 @Astronaft спасибо за разъяснения! @annda очистите пожалуйста почтовый ящик на форуме и был бы очень признателен за фото из атласа! По поводу бюгеля... чем богаты как обычно все проблемы упираются в деньги. Ссылка на комментарий
Женька Опубликовано 26 апреля, 2021 Автор Поделиться Опубликовано 26 апреля, 2021 14 часов назад, Astronaft сказал: ТО есть можно прям вот так коронку сдавать? ну или мост в моём случае? и лишь бы он чистил адекватно - всё будет хорошо? 1 час назад, annda сказал: Абсолютный вертипреп, никаких уступов А финишлайн всё равно над десной и фуркацией оставлять? как бы под штампик препарировать выходит? (поясню, я пока не лезу в ВОРТ и верти, потому как считаю это повышенной сложностью и надо бы разобраться сначала с простым уступным препом) Ссылка на комментарий
Astronaft Опубликовано 27 апреля, 2021 Поделиться Опубликовано 27 апреля, 2021 Вы совсем молодой Конечно можно. Более того здесь это будет менее компромисным вариантом. Плохая гигиена - > держите все над десной = самоочищаемость, хороший доступ для чистки, нет анаэробов. Вертипреп это эволюция нашего понимания биологии. Его делать проще чем желобок, плече или другие виды уступов. Вертипреп вынуждает техников работать аккуратней и в тоже время прощает ошибки. Синее гирлянда. И не бойтесь если керамика будет делать зуб шире чем он был (гиперконтур) - это не страшно. Т.е. сняли аксиально 0,7мм, а технику надо сделать 1.5мм. Небольшой валик вестибулярно - не беда. Зато вы сохраняете витальность, остаетесь на десной, и имеете лучшую естетику за меньшие деньги. 1 Ссылка на комментарий
Женька Опубликовано 27 апреля, 2021 Автор Поделиться Опубликовано 27 апреля, 2021 @Astronaft в очередной раз спасибо! Мне 28 и я потихоньку начинаю считать себя "не успевшим" ни в один вагон (ни в хирургию, ни в ортопедию)... А как же его ужасная гигиена полости рта? если он не следил за своими зубами, что будет если мы ему такие мостики сделаем? (тут конечно можно задать мне вопрос, зачем я вообще планирую ему имплантацию, но не будем об этом ) Ссылка на комментарий
сирена Опубликовано 27 апреля, 2021 Поделиться Опубликовано 27 апреля, 2021 3 часа назад, Женька сказал: @Astronaft в очередной раз спасибо! Мне 28 и я потихоньку начинаю считать себя "не успевшим" ни в один вагон (ни в хирургию, ни в ортопедию)... А как же его ужасная гигиена полости рта? если он не следил за своими зубами, что будет если мы ему такие мостики сделаем? (тут конечно можно задать мне вопрос, зачем я вообще планирую ему имплантацию, но не будем об этом ) Ну,мотивируйте его на гигиену,ёлки-палки.Скажите:если не будете чистить 2 раза в день - всё выпадет.В карте сделайте пометку,что плохая гигиена,проведена беседа,снимки с повторных посещений.Ваше дело - донести до пациента важность гигиены,а дальше он сам венец или п---ц своему счастью. 1 Ссылка на комментарий
annda Опубликовано 27 апреля, 2021 Поделиться Опубликовано 27 апреля, 2021 (изменено) Мотивировать на гигиену просто- не начну работать! пока не увижу чистые зубы. Плохая гигиена- это противопоказание к имплантации и самое главное. Пы.сы очистила личку, всю. Изменено 27 апреля, 2021 пользователем annda 1 1 Ссылка на комментарий
Женька Опубликовано 5 мая, 2021 Автор Поделиться Опубликовано 5 мая, 2021 Коллеги, а что думаете о таком выходе шахт на резцах? если выход между 3.1 и 3.2? или лучше отодвинуть и "попасть" точно в 3.1 и 3.2 консолью? Ссылка на комментарий
Рекомендуемые сообщения
Для публикации сообщений создайте учётную запись или авторизуйтесь
Вы должны быть пользователем, чтобы оставить комментарий
Создать аккаунт
Зарегистрируйте новый аккаунт в нашем сообществе. Это очень просто!
Регистрация нового пользователяВойти
Уже есть аккаунт? Войти в систему.
Войти