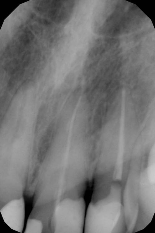
Patrick Опубликовано 14 апреля, 2021 Поделиться Опубликовано 14 апреля, 2021 Добрый день, скажите, пожалуйста, видно ли по этому снимку, что один из зубов нуждается в лечении? - Зуб реагирует на горячееи иногда ноет по ночам, но врач говорит, что нерв удален и болеть там нечему. Спасибо! Ссылка на комментарий
red_butler Опубликовано 14 апреля, 2021 Поделиться Опубликовано 14 апреля, 2021 на клыке нужно провести термометрию, а премоляры сделать Кт. и все зубы с этой стороны посмотреть 1 Ссылка на комментарий
Рекомендуемые сообщения
Для публикации сообщений создайте учётную запись или авторизуйтесь
Вы должны быть пользователем, чтобы оставить комментарий
Создать аккаунт
Зарегистрируйте новый аккаунт в нашем сообществе. Это очень просто!
Регистрация нового пользователяВойти
Уже есть аккаунт? Войти в систему.
Войти