Перейти к содержанию
Стоматология для всех

Молочные зубы - план лечения


Anna17

Рекомендуемые сообщения

Здравствуйте!

Прошу помощи в решении вопроса по молочным зубам.

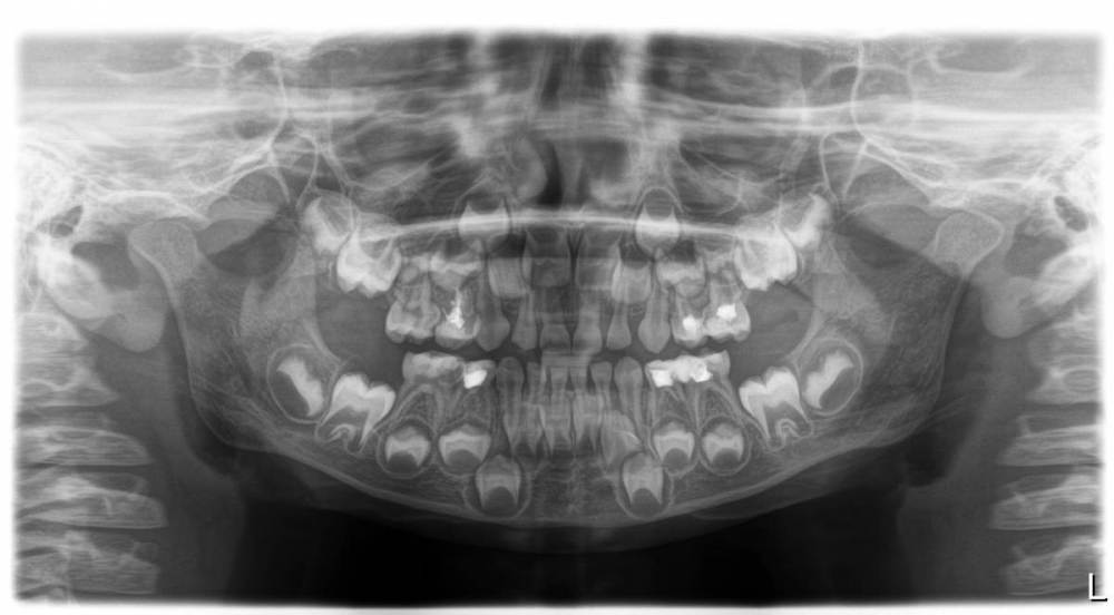
Пациенту 4 года 9 месяцев, боли нет.

74-75 лечили повторно, поставить постоянную пломбу ребенок не дал, сейчас под временной пломбой.

Возможно ли спасти 74 зуб?

На какие зубы необходимы коронки?

Возможно ли повременить с лечением месяц.

74-75.jpg

84-85.jpg

оптг.jpg

Изменено пользователем Anna17
Ссылка на комментарий

Для публикации сообщений создайте учётную запись или авторизуйтесь

Вы должны быть пользователем, чтобы оставить комментарий

Создать аккаунт

Зарегистрируйте новый аккаунт в нашем сообществе. Это очень просто!

Регистрация нового пользователя

Войти

Уже есть аккаунт? Войти в систему.

Войти
×
×
  • Создать...
Вверх