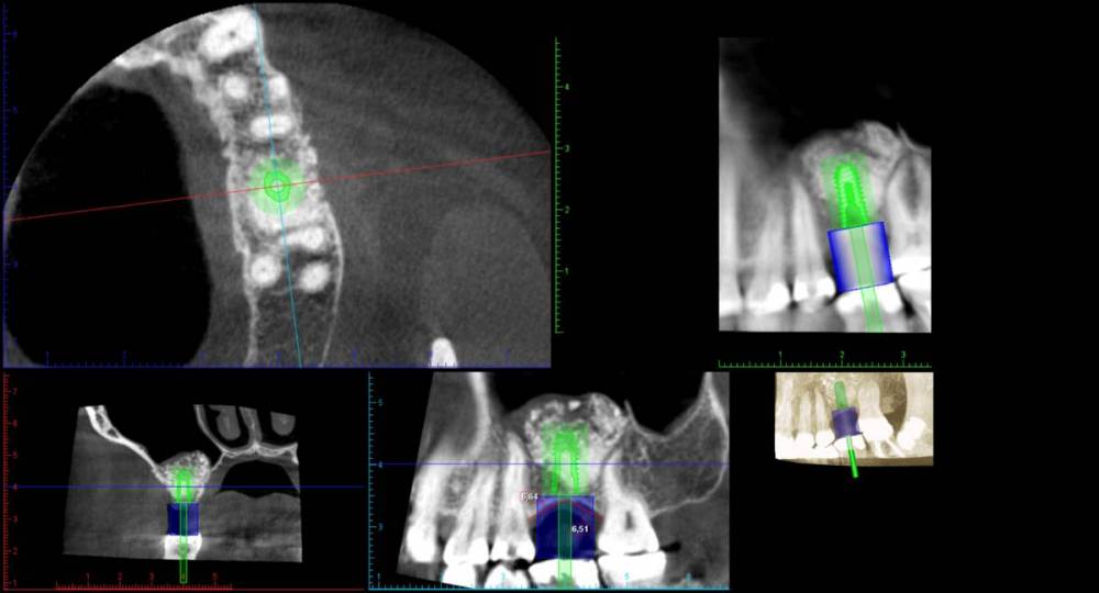
Ponchik Опубликовано 7 апреля, 2021 Поделиться Опубликовано 7 апреля, 2021 Добрый день. В августе прошлого года делал синуслифтинг (биоосс) Месяц назад поставил имплантант. Сегодня пациент пришел с жалобами на небольшую боль в области верхней челюсти. Сначало болело справа, потом слева(где работа) а сегодня прошло. В области имплантата свищ на верхушке гребня. Эксудат (уже чуть-чуть). Думаю имплантант убирать, весь материал убирать (как весь убрать пока не решил). Через полгода новый синуслифтинг и т.д. Но человек слаб и я тешу себя надеждой может не всё пропало? Добавил скрин перед имплантацией и скрин сегодня. На момент имплантации делалось ОПТГ, не информативное. Ссылка на комментарий
Jayseebrawn Опубликовано 8 апреля, 2021 Поделиться Опубликовано 8 апреля, 2021 Мое мнение убирать имплант и чистить графт, по скольку он инфицирован 1 Ссылка на комментарий
Женька Опубликовано 8 апреля, 2021 Поделиться Опубликовано 8 апреля, 2021 20 часов назад, Ponchik сказал: как весь убрать пока не решил Может это не совсем подходит к вашей ситуации, но где-то я слышал, что И.Урбан при развалившихся сосисках и цитопластах моет это всё стерильным физ раствором, до чистых промывных вод. Эффект - он всё равно получает плюс несколько мм к дефекту. Думаю в синусе можно делать также, только вот как это вымыть кроме как через ревизию? 1 Ссылка на комментарий
Дмитрий Л. Опубликовано 8 апреля, 2021 Поделиться Опубликовано 8 апреля, 2021 Сперва осторожно поставьте формирователь, вдруг это заглушечный свищ. 2 Ссылка на комментарий
Ponchik Опубликовано 9 апреля, 2021 Автор Поделиться Опубликовано 9 апреля, 2021 20 часов назад, Женька сказал: Может это не совсем подходит к вашей ситуации, но где-то я слышал, что И.Урбан при развалившихся сосисках и цитопластах моет это всё стерильным физ раствором, до чистых промывных вод. Эффект - он всё равно получает плюс несколько мм к дефекту. Думаю в синусе можно делать также, только вот как это вымыть кроме как через ревизию? Я думал, удалить имплант и что ложкой смогу собрать - на выход, а там смотреть. 17 часов назад, Дмитрий Л. сказал: Сперва осторожно поставьте формирователь, вдруг это заглушечный свищ. Сегодня посмотрел, слизистая розовая и радостная, ничего не болит. не течет, все разрезы закрылись. Решил посмотреть (струсил всё убирать). Допьёт АБ, и через пару недель снова КЛКТ. Если конечно свищей не будет. А выкручивать заглушку не решился, срок 4 недели ((( Попробовал имплант - явно не двигается. 21 час назад, Jayseebrawn сказал: Мое мнение убирать имплант и чистить графт, по скольку он инфицирован Тоже думаю этим и закончится, но хочется чуда. Люди ходят к экстрасенсам, а я говорю кыш микрофлоре в графте. Ссылка на комментарий
Женька Опубликовано 9 апреля, 2021 Поделиться Опубликовано 9 апреля, 2021 @Ponchik я бы просто отмыл, то что отгнило отлетит итак, ложкой можно сорвать даже то что прижилось и вернуться к начальной ситуации. Ссылка на комментарий
Карен Аванесов Опубликовано 10 апреля, 2021 Поделиться Опубликовано 10 апреля, 2021 На стартовом кт. изначально не очень картинка, скорее всего, графт не организован, можно все убрать более предсказуемо будет, можно только имплантат, тогда быть может обойдется без повторного синуслифтинга. Судя по второму кт, жуткого прям такого воспаления нет, если пациент к Вам лоялен, консервативный вариант может иметь место. 1 Ссылка на комментарий
annda Опубликовано 10 апреля, 2021 Поделиться Опубликовано 10 апреля, 2021 Вы психологически всегда лучше к траблам готовьтесь, здоровее будете.Кыш микрофлоре говорить , это то же самое , что тучи разводить руками. Я сегодня увидела обнаженную заглушку в розовой радостной слизистой на нижней челюсти и вспомнила, что пациентка жаловалась, что болело чуть больше, чем надо, ну дней 5, а потом все прошло и больше вовсе ничего не болело. На третьем месяце я это увидела и решила что мне это не нравится, по снимку кость ушла на 2 мм, сказала что выкручу и снова закручу но с погружением( удалить и переставить для меня давно не экзотика и не приключение). Приготовила Необиотек для удаления имплантатов, начала аыкручивать заглушку, ну и выкрутила свободненько весь имплантат, на радость всем присутствующим. Ладно, хоть пациентка подготовлена была к его извлечению изначально:)) А то тайный план был по просто пересадке шашлыка на формик:)) 2 Ссылка на комментарий
Sergiosse Опубликовано 21 апреля, 2021 Поделиться Опубликовано 21 апреля, 2021 В пазухе,похоже хронический гайморит. Я бы убрал имплант, сделал кюретаж, промыл, консервативное ведение. Через месяцок повторный снимок и решать что делать дальше? убирать остатки графта или ставить имплантант а то, что осталось. Ссылка на комментарий
Ponchik Опубликовано 16 июня, 2021 Автор Поделиться Опубликовано 16 июня, 2021 Сегодня поставил формирователь с торком 30-35. Подвижности нет. Обнаженных витков имплантата нет. Толщина слизистой 5-5.5 мм. Прикреплёнки 2-4мм. Снимков правда нет. 2 1 Ссылка на комментарий
Irouil Опубликовано 16 июня, 2021 Поделиться Опубликовано 16 июня, 2021 Зачем ФДМ с таким торком ставить? Резьба в шахте не титановая (зачеркнуто) не гранитная) Ссылка на комментарий
Ponchik Опубликовано 16 июня, 2021 Автор Поделиться Опубликовано 16 июня, 2021 37 минут назад, Irouil сказал: Зачем ФДМ с таким торком ставить? Резьба в шахте не титановая (зачеркнуто) не гранитная) ФДМ я поставил с торком 15-16. Но проверил от души сначала ))) Пациент отказался делать КЛКТ, а я хотел удостоверится. Не со зла, короче ? Ссылка на комментарий
Карен Аванесов Опубликовано 17 июня, 2021 Поделиться Опубликовано 17 июня, 2021 19 часов назад, Ponchik сказал: Сегодня поставил формирователь с торком 30-35. Подвижности нет. Обнаженных витков имплантата нет. Толщина слизистой 5-5.5 мм. Прикреплёнки 2-4мм. Снимков правда нет. Везунчик, но снимки нужны. Ссылка на комментарий
Ponchik Опубликовано 18 июня, 2021 Автор Поделиться Опубликовано 18 июня, 2021 17.06.2021 в 11:22, Карен Аванесов сказал: ...но снимки нужны. Соглы. Ортопед я надеюсь прицельные сделает. (всегда делал) Ссылка на комментарий
Рекомендуемые сообщения
Для публикации сообщений создайте учётную запись или авторизуйтесь
Вы должны быть пользователем, чтобы оставить комментарий
Создать аккаунт
Зарегистрируйте новый аккаунт в нашем сообществе. Это очень просто!
Регистрация нового пользователяВойти
Уже есть аккаунт? Войти в систему.
Войти