Рабин Опубликовано 2 апреля, 2021 Поделиться Опубликовано 2 апреля, 2021 Уважаемые врачи по снимкам вы видите воспаление или кисту на зубе? Спасибо! Ссылка на комментарий
red_butler Опубликовано 3 апреля, 2021 Поделиться Опубликовано 3 апреля, 2021 Сделайте Кт Ссылка на комментарий
Рабин Опубликовано 3 апреля, 2021 Автор Поделиться Опубликовано 3 апреля, 2021 Снимки не показательны? Ссылка на комментарий
сирена Опубликовано 3 апреля, 2021 Поделиться Опубликовано 3 апреля, 2021 5 часов назад, Рабин сказал: Снимки не показательны? Иногда на прицельном снимке ничего криминального не видно,а на КТ обнаруживается очаг. Можно маленькую КТ сделать,только в области этого зуба(5Х5 см) 2 Ссылка на комментарий
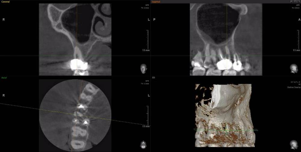
Рабин Опубликовано 18 мая, 2021 Автор Поделиться Опубликовано 18 мая, 2021 Добрый день! Сделала КТ этого зуба, как вы просили... https://cloud.mail.ru/stock/kkbze24nzBzfEqnUbdPwtsei Видите ли вы воспаление на нём и можно ли его спасти? Интересует также соседний 15 зуб. Спасибо! Ссылка на комментарий
wladdX Опубликовано 18 мая, 2021 Поделиться Опубликовано 18 мая, 2021 (изменено) Зуб 16, на мой взгляд, придётся удалить. Зуб 18 тоже Зуб 15 вроде бы и не вызывает особых восторгов, но и явного неприятия тоже. Изменено 18 мая, 2021 пользователем wladdX 2 Ссылка на комментарий
Рабин Опубликовано 19 мая, 2021 Автор Поделиться Опубликовано 19 мая, 2021 Спасибо! Ссылка на комментарий
red_butler Опубликовано 20 мая, 2021 Поделиться Опубликовано 20 мая, 2021 18.05.2021 в 23:24, wladdX сказал: Зуб 16, на мой взгляд, придётся удалить. +1 Ссылка на комментарий
Рабин Опубликовано 28 мая, 2021 Автор Поделиться Опубликовано 28 мая, 2021 А что с 18 зубом? Он никак не беспокоит... Ссылка на комментарий
wladdX Опубликовано 29 мая, 2021 Поделиться Опубликовано 29 мая, 2021 18 - там приличных размеров корневая гранулёма, излечить нереально 1 Ссылка на комментарий
red_butler Опубликовано 30 мая, 2021 Поделиться Опубликовано 30 мая, 2021 28.05.2021 в 22:14, Рабин сказал: Он никак не беспокоит... это временно 1 Ссылка на комментарий
Рекомендуемые сообщения
Для публикации сообщений создайте учётную запись или авторизуйтесь
Вы должны быть пользователем, чтобы оставить комментарий
Создать аккаунт
Зарегистрируйте новый аккаунт в нашем сообществе. Это очень просто!
Регистрация нового пользователяВойти
Уже есть аккаунт? Войти в систему.
Войти