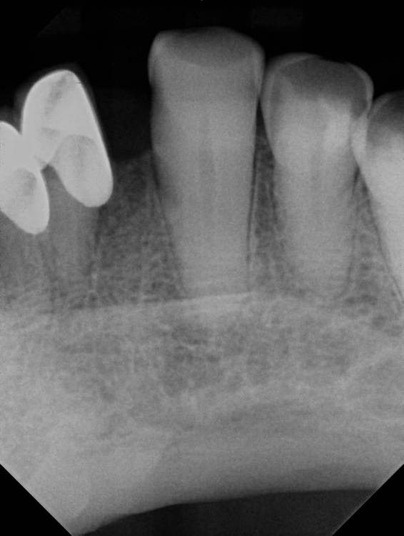
adent Опубликовано 1 апреля, 2021 Поделиться Опубликовано 1 апреля, 2021 Здравствуйте! Есть ли трудности какие либо или особенности для установки импланта (имплантата?) на место зуба №23. Мой врач имеет некоторые сомнения в успешности установки.Наращивание кости было в августе 2020 года. Возраст 79 лет. В целом здоровье мое без хронических заболеваний и аллергий. Есть ли риски какие после установки импланта через 3 дня делать длительный перелет? Спасибо! adent Ссылка на комментарий
red_butler Опубликовано 2 апреля, 2021 Поделиться Опубликовано 2 апреля, 2021 проблема как с местом для импланта (между корней ) так и для коронки 1 1 Ссылка на комментарий
kramer Опубликовано 2 апреля, 2021 Поделиться Опубликовано 2 апреля, 2021 Не влезет 1 Ссылка на комментарий
adent Опубликовано 3 апреля, 2021 Автор Поделиться Опубликовано 3 апреля, 2021 Уважаемые red_butler,kramer, спасибо за ясный понятный ответ! Желаю всего вам хорошего! adent Ссылка на комментарий
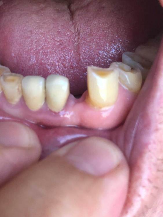
Доктор Хаус Опубликовано 3 апреля, 2021 Поделиться Опубликовано 3 апреля, 2021 Можно полу мостик сделать с опорой на зубы которые под коронкой. Ссылка на комментарий
Рекомендуемые сообщения
Для публикации сообщений создайте учётную запись или авторизуйтесь
Вы должны быть пользователем, чтобы оставить комментарий
Создать аккаунт
Зарегистрируйте новый аккаунт в нашем сообществе. Это очень просто!
Регистрация нового пользователяВойти
Уже есть аккаунт? Войти в систему.
Войти