Перейти к содержанию
Стоматология для всех

Имплантация, порядок действий


Рекомендуемые сообщения

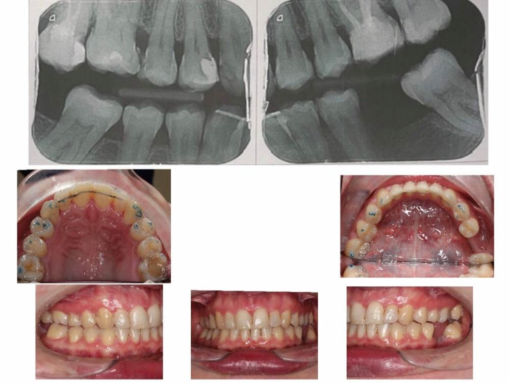
Здравствуйте, в стране проживания я прошла ортодонтическое лечение (3 года в брекетах). Меня не устраивает результат, но к сожалению все ортодонты тут с которыми я говорила не хотят ничего делать, тк их результат устраивает. У меня вопросы :

 

1. можно ли установить имплантанты внизу как 6 и 6 или 6 и 7

2. что делать с верхней семеркой ? Ее хотят удалить, не хотят ставить коронку. 

3. что делать с окклюзией. Это действительно все нормально? Такой угол для 7го зуба это нормально? 2ая окклюзия с другой стороны это нормально? 
 

4 стерся клык о брекет- как сделать улыбку снова симметричной ? 

5 сколько продержатся зубы без лечения тут - на верхних зубах с 1й стороны кариес, нужны коронки на верхних 6 и 7 ( разные стороны) 

какие способы решения проблемы существуют? Тк тут мне никто помочь не хочет, то я вижу выход только попробовать myobrace - вдруг он вернёт среднюю линию на место и сделает окклюзию лучше. как только станет проще путешествовать - ездить с маленьким ребёнком в россию, там мб поставить брекеты, коронки, имплантанты.
 

Какой порядок действий должен быть? Как все сделать быстрее и не потерять больше зубов? 
 

тут мне говорят что сделать апрайтинг невозможно , как и передвинуть среднюю линию, и все нормально с зубами. Что мне вообще делать и как жить? 

Я действительно сильно паникую и очень опускаются руки. 
 

что мне вообще с этим делать? 
 

я не очень доверяю врачам тут тк после маленьких первых пломб мне сразу же депульпировали зубы , а теперь предлагают их удалить, ортодонт просверлила дыру рядом с основанием языка и сказала, что такое постоянно случается. Жаловаться на это все не имеет смысла. Поэтому я просто хочу все это исправить и не сделать ситуацию хуже. 

71423666-E0A0-4F20-B7CE-FE0BE8B58810.jpeg

Ссылка на комментарий

Для публикации сообщений создайте учётную запись или авторизуйтесь

Вы должны быть пользователем, чтобы оставить комментарий

Создать аккаунт

Зарегистрируйте новый аккаунт в нашем сообществе. Это очень просто!

Регистрация нового пользователя

Войти

Уже есть аккаунт? Войти в систему.

Войти
×
×
  • Создать...
Вверх