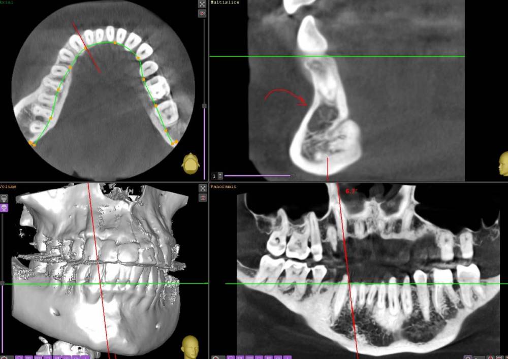
nevlvi Опубликовано 1 апреля, 2021 Поделиться Опубликовано 1 апреля, 2021 Добрый вечер, уважаемые коллеги. Увидел на КТ непонятные для меня структуры. Пока что только КТ, пациента еще не видел. Хотел бы уточнить что именно это может быть? Ссылка на комментарий
Женька Опубликовано 1 апреля, 2021 Поделиться Опубликовано 1 апреля, 2021 Кажется просто анатомия такая?♂️ Ссылка на комментарий
nevlvi Опубликовано 1 апреля, 2021 Автор Поделиться Опубликовано 1 апреля, 2021 6 минут назад, Женька сказал: Кажется просто анатомия такая?♂️ Спасибо. Ссылка на комментарий
Astronaft Опубликовано 2 апреля, 2021 Поделиться Опубликовано 2 апреля, 2021 (изменено) Если будете вертеть КТ и такие очаги разрежения на нескольких витальных зубах то может быть цементная дисппазия. Главное сгоряча не пульпировать эти зубы. Цитата Периапикальная цементно-костная дисплазия (периапикальная цементная дисплазия, периапикальная фиброзная дисплазия, костная дисплазия, цементома) – это одиночное или множественное очаговое доброкачественное изменение костной ткани в зоне верхушки зубов, имеющих, как правило, витальную пульпу. Картинки Изменено 2 апреля, 2021 пользователем Astronaft Ссылка на комментарий
nevlvi Опубликовано 2 апреля, 2021 Автор Поделиться Опубликовано 2 апреля, 2021 14 часов назад, Astronaft сказал: Если будете вертеть КТ и такие очаги разрежения на нескольких витальных зубах то может быть цементная дисппазия. Главное сгоряча не пульпировать эти зубы. Цитата Периапикальная цементно-костная дисплазия (периапикальная цементная дисплазия, периапикальная фиброзная дисплазия, костная дисплазия, цементома) – это одиночное или множественное очаговое доброкачественное изменение костной ткани в зоне верхушки зубов, имеющих, как правило, витальную пульпу. Спасибо. Часто такое наблюдаете на КТ? Ссылка на комментарий
Astronaft Опубликовано 2 апреля, 2021 Поделиться Опубликовано 2 апреля, 2021 За свою карьеру я встречал 5-6 человек. Ссылка на комментарий
nevlvi Опубликовано 2 апреля, 2021 Автор Поделиться Опубликовано 2 апреля, 2021 1 час назад, Astronaft сказал: За свою карьеру я встречал 5-6 человек. Спасибо за ответ. Ссылка на комментарий
Рекомендуемые сообщения
Для публикации сообщений создайте учётную запись или авторизуйтесь
Вы должны быть пользователем, чтобы оставить комментарий
Создать аккаунт
Зарегистрируйте новый аккаунт в нашем сообществе. Это очень просто!
Регистрация нового пользователяВойти
Уже есть аккаунт? Войти в систему.
Войти