Dude Опубликовано 1 апреля, 2021 Поделиться Опубликовано 1 апреля, 2021 По плану в 1 этапе, кроме остального: лечение каналов и укрепление их стекловолоконными штифтами: 16, 25, 27, 44, 47; имплантация 14, 15, 17, 12, 11, 21, 22, 24, 26, 36, 37, 46, 45. Во 2 этапе (через 5-6 месяцев) установка коронок. Лечение в другой стране. Чтобы сократить длительность первого этапа, предложили лечение зубов сделать на 2 этапе. Очень засомневался, можно делать имплантацию с невылеченными зубами? Ссылка на комментарий
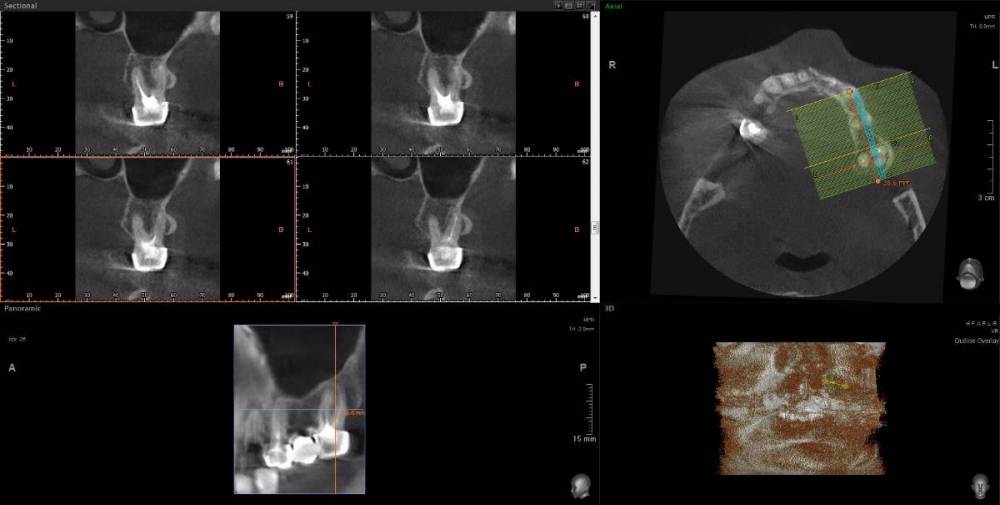
Dude Опубликовано 1 апреля, 2021 Автор Поделиться Опубликовано 1 апреля, 2021 https://disk.yandex.ru/d/6d0pmZ1zArn1Og Так? Ссылка на комментарий
wladdX Опубликовано 1 апреля, 2021 Поделиться Опубликовано 1 апреля, 2021 Я бы повторное лечение к\каналов рекомендовал провести до хирургии. Конечно, может быть и другое мнение. Скрытый текст 1 Ссылка на комментарий
Dude Опубликовано 2 апреля, 2021 Автор Поделиться Опубликовано 2 апреля, 2021 @wladdX Спасибо! Почему повторное? Ссылка на комментарий
red_butler Опубликовано 2 апреля, 2021 Поделиться Опубликовано 2 апреля, 2021 22 минуты назад, Dude сказал: @wladdX Спасибо! Почему повторное? Так Ваши каналы уже лечили, потому повторное 1 Ссылка на комментарий
Dude Опубликовано 2 апреля, 2021 Автор Поделиться Опубликовано 2 апреля, 2021 Понял, буду настаивать на лечении до имплантации. Спасибо. Ссылка на комментарий
Рекомендуемые сообщения
Для публикации сообщений создайте учётную запись или авторизуйтесь
Вы должны быть пользователем, чтобы оставить комментарий
Создать аккаунт
Зарегистрируйте новый аккаунт в нашем сообществе. Это очень просто!
Регистрация нового пользователяВойти
Уже есть аккаунт? Войти в систему.
Войти