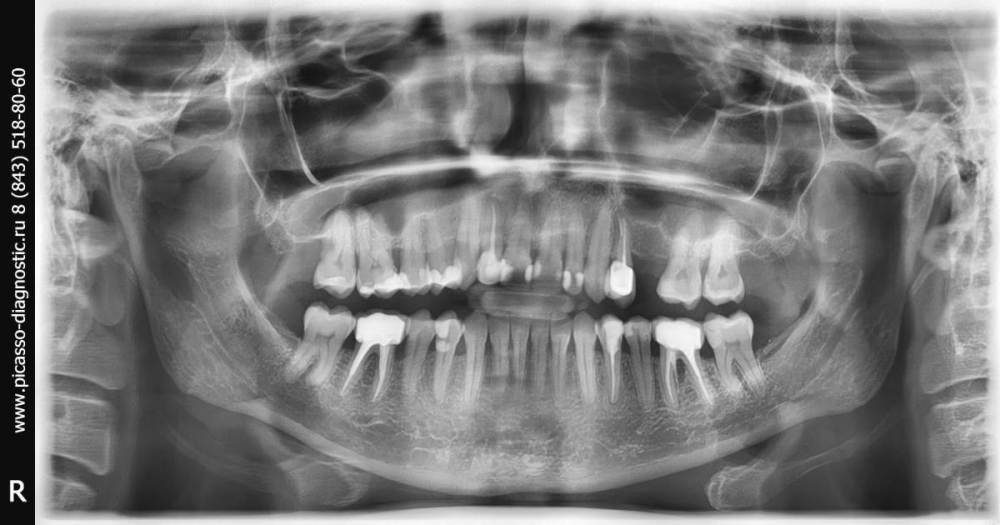
Ulitka Опубликовано 31 марта, 2021 Поделиться Опубликовано 31 марта, 2021 Добрый вечер. Около месяца назад стоматолог лечил мне 26, 27 и 35 зубы. Через пару дней появились болезненные ощущения при пережевывании пищи, реакция на холодное/горячее и просто иногда болезненные ощущения появлялись, даже без всякого воздействия на зубы. К стоматологу попала только через 10 дней . Подшлифовали пломбы, немного получше стало, но полностью болезненные ощущения не прошли. Скоро снова пойду к своему стоматологу. А что Вы можете сказать по снимку? Воспаление, может, где-то? И какие еще проблемы есть, исходя из снимка? Ссылка на комментарий
red_butler Опубликовано 1 апреля, 2021 Поделиться Опубликовано 1 апреля, 2021 11 часов назад, Ulitka сказал: Воспаление, может, где-то? 3.6 зуб, нужен прицельный снимок, похоже воспаление между корней 11 часов назад, Ulitka сказал: И какие еще проблемы есть, исходя из снимка? пародонтит Ссылка на комментарий
Ulitka Опубликовано 1 апреля, 2021 Автор Поделиться Опубликовано 1 апреля, 2021 Спасибо за ответ Ссылка на комментарий
Рекомендуемые сообщения
Для публикации сообщений создайте учётную запись или авторизуйтесь
Вы должны быть пользователем, чтобы оставить комментарий
Создать аккаунт
Зарегистрируйте новый аккаунт в нашем сообществе. Это очень просто!
Регистрация нового пользователяВойти
Уже есть аккаунт? Войти в систему.
Войти