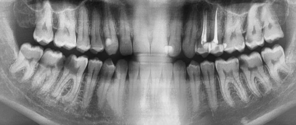
Elcirami Опубликовано 26 марта, 2021 Поделиться Опубликовано 26 марта, 2021 Собственно вопрос в шапке. Правая нижняя 6 и 7. Если с 6 все понятно, и ей займусь после левых зубов, то вот касательно 7 есть вопрос. Стенка есть хоть и не значительная, но отсутствует реакция на холод тепло. Эод не проводился. Но, если судить по тому, как себя вел соседний зуб (а он как вы понимаете уже отправился в вальгаллу, осталось почистить, да под коронку) и зеркально зуб с левой стороны (уже под временной пломбой) отсутствие боли еще не показатель смерти нервно-сосудистого пучка. Врач, у которого я лечусь, говорит, что шансов спасти пульпу от удаления практически нет, стенка слишком тонкая, даже если все живо - слишком высок шанс вскрыть. Собственно это и есть вопрос, если жива, то стоит ли рисковать? Есть способы очистки не экскаватором и бором, а, например, химическим травлением каким - нибудь и стоит Скрытый текст поискать другого врача персонально для этого зуба? Или не жалеть, да отпустить и забыть? И еще вопрос, почему у меня весь кариес начинается между, хотя пользуюсь нитью и ополаскивателями (зубного камня мало и раз в 1-2 года счищаю). Спасибо за внимание. Ссылка на комментарий
Марья Моревна Опубликовано 29 марта, 2021 Поделиться Опубликовано 29 марта, 2021 Ваш доктор прав. Профчистку надо делать раз в полгода. Ссылка на комментарий
red_butler Опубликовано 30 марта, 2021 Поделиться Опубликовано 30 марта, 2021 26.03.2021 в 18:15, Elcirami сказал: Врач, у которого я лечусь, говорит, что шансов спасти пульпу от удаления практически нет, судя по снимку, это так 26.03.2021 в 18:15, Elcirami сказал: И еще вопрос, почему у меня весь кариес начинается между, хотя пользуюсь нитью и ополаскивателями (зубного камня мало и раз в 1-2 года счищаю) покажите фото во рту, скорее всего уровень индивидуальной гигиены не достаточный Ссылка на комментарий
Рекомендуемые сообщения
Для публикации сообщений создайте учётную запись или авторизуйтесь
Вы должны быть пользователем, чтобы оставить комментарий
Создать аккаунт
Зарегистрируйте новый аккаунт в нашем сообществе. Это очень просто!
Регистрация нового пользователяВойти
Уже есть аккаунт? Войти в систему.
Войти