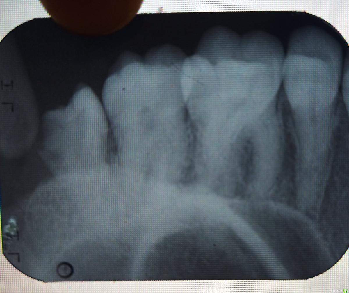
Mudrets Опубликовано 17 марта, 2021 Поделиться Опубликовано 17 марта, 2021 Здравствуйте. Прошу прокомментировать снимок. В районной поликлинике приговорили к удалению Ссылка на комментарий
Mudrets Опубликовано 17 марта, 2021 Автор Поделиться Опубликовано 17 марта, 2021 Вот снимок Ссылка на комментарий
shishok Опубликовано 17 марта, 2021 Поделиться Опубликовано 17 марта, 2021 Если Вы имеете ввиду зуб мудрости,то удалять. 2 Ссылка на комментарий
Mudrets Опубликовано 17 марта, 2021 Автор Поделиться Опубликовано 17 марта, 2021 В общем подруга ходила в поликлинику, ей сказали что-то там подгнило, кариес. Про зуб мудрости ни слова. Прошу помочь советом, а то боюсь удалят, что не надо 1 Ссылка на комментарий
chervoncevdaniil Опубликовано 18 марта, 2021 Поделиться Опубликовано 18 марта, 2021 Речь о зубе мудрости,удалять 1 Ссылка на комментарий
Рекомендуемые сообщения
Для публикации сообщений создайте учётную запись или авторизуйтесь
Вы должны быть пользователем, чтобы оставить комментарий
Создать аккаунт
Зарегистрируйте новый аккаунт в нашем сообществе. Это очень просто!
Регистрация нового пользователяВойти
Уже есть аккаунт? Войти в систему.
Войти