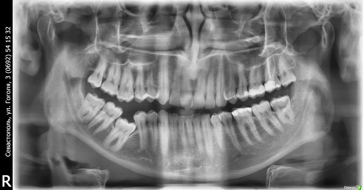
Tenpa Опубликовано 4 марта, 2021 Поделиться Опубликовано 4 марта, 2021 (изменено) Добрый день. 31 год, нижняя 6-ка зажата между 5 и 7. Как лучше исправить? удалять 8 ку и вытаскивать 6-й зуб? Изменено 4 марта, 2021 пользователем Tenpa Ссылка на комментарий
annda Опубликовано 7 марта, 2021 Поделиться Опубликовано 7 марта, 2021 А что ортодонты говорят?У оставшихся зубов может не хватить опоры для того, чтобы вытащить 6ку с кривыми сформированными корнями. Ладно, хоть анкилоза, похоже, нет. И то , не 100 процентов. Ссылка на комментарий
red_butler Опубликовано 7 марта, 2021 Поделиться Опубликовано 7 марта, 2021 Ладно, хоть анкилоза, похоже, нет. И то , не 100 процентов. похоже есть Ссылка на комментарий
Рекомендуемые сообщения
Для публикации сообщений создайте учётную запись или авторизуйтесь
Вы должны быть пользователем, чтобы оставить комментарий
Создать аккаунт
Зарегистрируйте новый аккаунт в нашем сообществе. Это очень просто!
Регистрация нового пользователяВойти
Уже есть аккаунт? Войти в систему.
Войти