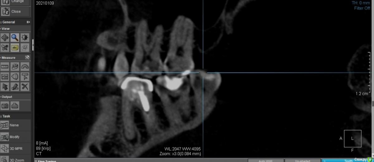
Serpla Опубликовано 24 февраля, 2021 Поделиться Опубликовано 24 февраля, 2021 Добрый день,случайно на КТ обнаружили кисту. Плюс подозрение на разряжение ткани в области бифуркации.Это все под коронкой, установленной 15+ лет назад.Стоит ли пытаться перелечить или выход - удаление + имплант?Сколько зуб протянет, если ничего не делать (3й вариант)Спасибо Ссылка на комментарий
red_butler Опубликовано 25 февраля, 2021 Поделиться Опубликовано 25 февраля, 2021 я за лечение 1 Ссылка на комментарий
Nazim_NV86 Опубликовано 2 марта, 2021 Поделиться Опубликовано 2 марта, 2021 Это не киста, если называть вещи своими именами. 1 Ссылка на комментарий
Irouil Опубликовано 2 марта, 2021 Поделиться Опубликовано 2 марта, 2021 Лучше всего спросить у терапевтов На мой взгляд лечение малопрогнозируемо, и "киста" тут не причём Ссылка на комментарий
St. Опубликовано 2 марта, 2021 Поделиться Опубликовано 2 марта, 2021 +1 за лечение. ну или пока ничего не делать в крайнем случае как временный вариант...Показаний к удалению на этом снимке не увидела. Ссылка на комментарий
Рекомендуемые сообщения
Для публикации сообщений создайте учётную запись или авторизуйтесь
Вы должны быть пользователем, чтобы оставить комментарий
Создать аккаунт
Зарегистрируйте новый аккаунт в нашем сообществе. Это очень просто!
Регистрация нового пользователяВойти
Уже есть аккаунт? Войти в систему.
Войти