Перейти к содержанию
Стоматология для всех

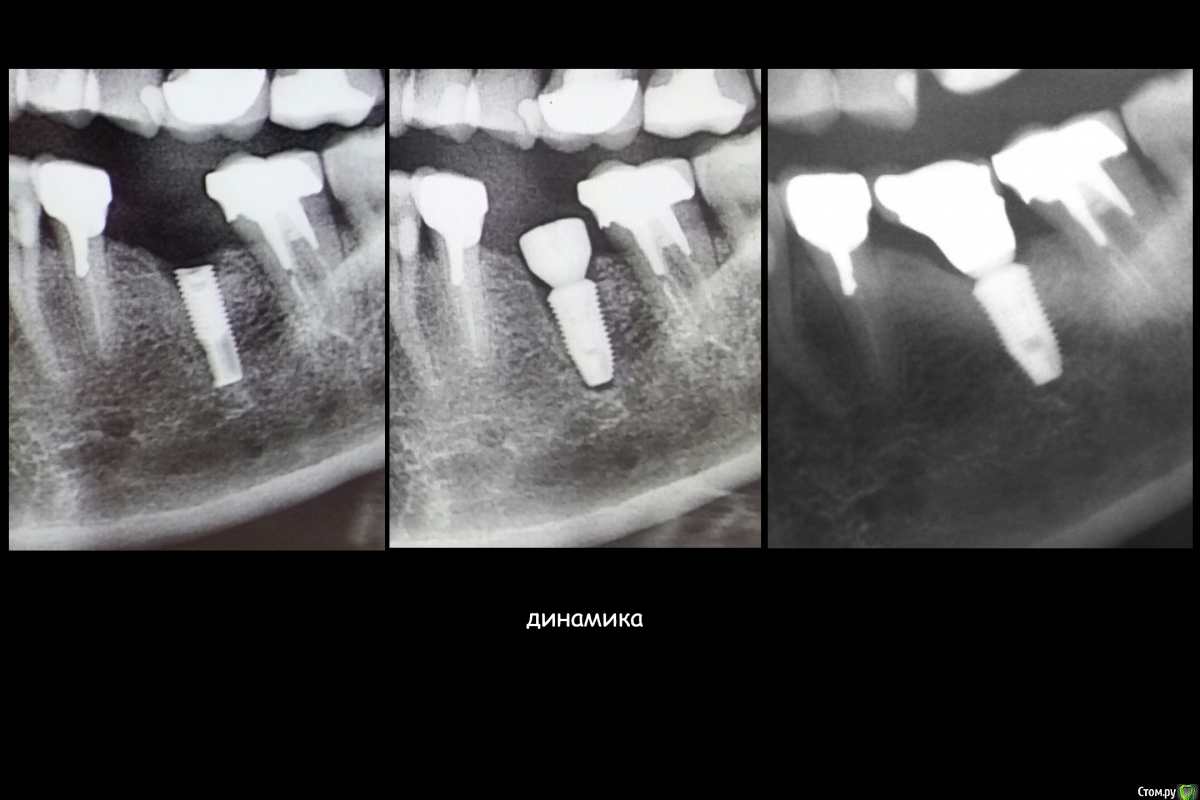
Этот имплантат, можно было лечить!!!!!!


Карен  Аванесов

Рекомендуемые сообщения

Для публикации сообщений создайте учётную запись или авторизуйтесь

Вы должны быть пользователем, чтобы оставить комментарий

Создать аккаунт

Зарегистрируйте новый аккаунт в нашем сообществе. Это очень просто!

Регистрация нового пользователя

Войти

Уже есть аккаунт? Войти в систему.

Войти
×
×
  • Создать...
Вверх