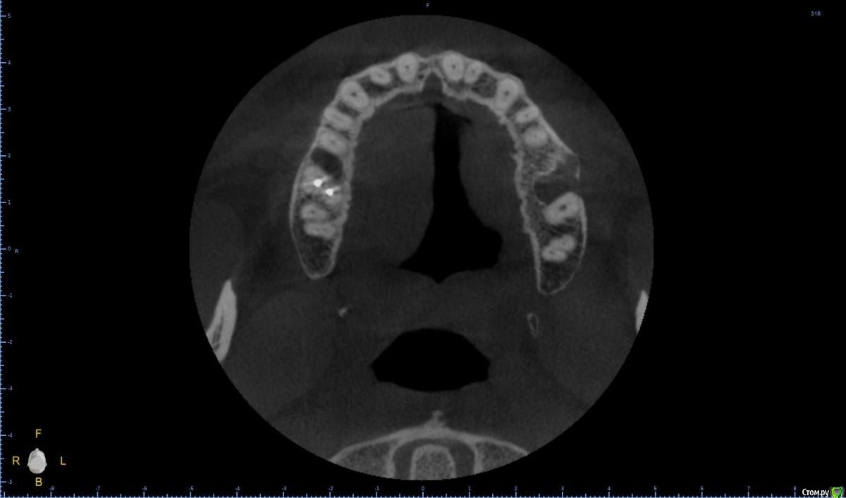
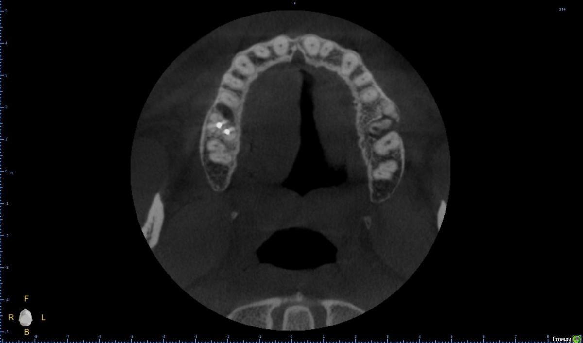
Raystom Опубликовано 20 февраля, 2021 Поделиться Опубликовано 20 февраля, 2021 Обратилась пациентка с неприятными ощущениями в области зубов 26, 27, во рту эти зубы показались мне темнее остальных, на КТ видна вот такая красота. Каков план лечения в таких ситуациях? Попробовать отделить пазуху от грануляций или просто удалить и после лечения ЛОРа идти на закрытие ОАС? Как после восстанавливать кость? И какие временные промежутки. Понимаю, что многие скажут при таких вопросах передать другим, но это не мой вариант. Мб есть литература по подобным случаям? Ссылка на комментарий
Женька Опубликовано 20 февраля, 2021 Поделиться Опубликовано 20 февраля, 2021 Конечно не такой объём поражения как у вас, но мне кажется немного похожая ситуация. Терапевт боролась за этот зуб, сделала эндо, всё как надо, решили перед постоянным протезированием покрыть времянкой...В итоге до времянки так и не добрались. Пообщался с И. И. Уразбахтиным, посоветовал удалить, 3 месяца, новая кт. Теперь жду новый снимок от пациента. В вашем случае я бы наверное пошел также, какой-то объём восстановится же, а дальше уже решать синус или нкр или "фулхаус". Но пусть лучше опытные коллеги подскажут Ссылка на комментарий
It'sGeorgy Опубликовано 20 февраля, 2021 Поделиться Опубликовано 20 февраля, 2021 А что именно смущает? Что дефект с пазухой сообщается? Так закроете после удаления, ничего страшного. ЛОРу, имхо, там делать нечего пока еще.Недавно был подобный случай: А вообще, судя по тем скринам, которые вы выложили, я бы пациента терапевтам показал для начала. Ссылка на комментарий
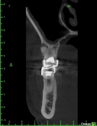
Raystom Опубликовано 20 февраля, 2021 Автор Поделиться Опубликовано 20 февраля, 2021 А что именно смущает? Что дефект с пазухой сообщается? Так закроете после удаления, ничего страшного. ЛОРу, имхо, там делать нечего пока еще.Недавно был подобный случай:12.png23.png22.png А вообще, судя по тем скринам, которые вы выложили, я бы пациента терапевтам показал для начала.Именно, что с пазухой. С терапевтами общались, при попытке препарирования зуб "мягкий", как кариозный судя по их словам Ссылка на комментарий
It'sGeorgy Опубликовано 20 февраля, 2021 Поделиться Опубликовано 20 февраля, 2021 Именно, что с пазухой. С терапевтами общались, при попытке препарирования зуб "мягкий", как кариозный судя по их словамну так закроете По поводу способа закрытия скажу вообще непопулярное мнение: я бы просто затромбовал колаполом, дал небольшую подвижность вестибулярному лоскуту и сопоставил края монофилом. Знаю, что это не всегда срабатывает, но меня пока проносило, уже раз 20. Дефект, который сверху выкладывал, закрыл таким же способом. Если недостаточно опыта(как у меня и было), возиться с VIP-CT - не лучшая идея. А вообще, не факт, что там будет ОАС. Часто бывает, что между лункой и пазухой есть тонкая костная пластинка, которой просто на снимке не видно. Ссылка на комментарий
Raystom Опубликовано 20 февраля, 2021 Автор Поделиться Опубликовано 20 февраля, 2021 ну так закроете По поводу способа закрытия скажу вообще непопулярное мнение: я бы просто затромбовал колаполом, дал небольшую подвижность вестибулярному лоскуту и сопоставил края монофилом. Знаю, что это не всегда срабатывает, но меня пока проносило, уже раз 20. Дефект, который сверху выкладывал, закрыл таким же способом. Если недостаточно опыта(как у меня и было), возиться с VIP-CT - не лучшая идея. А вообще, не факт, что там будет ОАС. Часто бывает, что между лункой и пазухой есть тонкая костная пластинка, которой просто на снимке не видно.После последней своей темы про оас освоил вип ст, разворот лоскута с бугра Ссылка на комментарий
Карен Аванесов Опубликовано 22 февраля, 2021 Поделиться Опубликовано 22 февраля, 2021 Обратилась пациентка с неприятными ощущениями в области зубов 26, 27, во рту эти зубы показались мне темнее остальных, на КТ видна вот такая красота. Каков план лечения в таких ситуациях? Попробовать отделить пазуху от грануляций или просто удалить и после лечения ЛОРа идти на закрытие ОАС? Как после восстанавливать кость? И какие временные промежутки. Понимаю, что многие скажут при таких вопросах передать другим, но это не мой вариант. Мб есть литература по подобным случаям?Аккуратно удалить, убрать грануляции, инструментально уточнить есть ли сообщение с пазухой (Думаю что нет), если и есть, коллаген, и лунку ушит. Динамичный контроль. Ссылка на комментарий
Raystom Опубликовано 22 февраля, 2021 Автор Поделиться Опубликовано 22 февраля, 2021 Спасибо всем откликнувшимся Ссылка на комментарий
колесников Опубликовано 24 февраля, 2021 Поделиться Опубликовано 24 февраля, 2021 Консервацию лунки графтом. Колапол хорошо,но только как прокладку под купол. И конечно вестибулярный лоскут не трогать(не мобилизовать) Ссылка на комментарий
Raystom Опубликовано 25 февраля, 2021 Автор Поделиться Опубликовано 25 февраля, 2021 Консервацию лунки графтом. Колапол хорошо,но только как прокладку под купол. И конечно вестибулярный лоскут не трогать(не мобилизовать)Я про графт уже думал, но боялся, что скиснет он, максимум были мысли про коллапол или закрыть трансплантатом с бугра. А почему не мобилизовать? Ссылка на комментарий
колесников Опубликовано 25 февраля, 2021 Поделиться Опубликовано 25 февраля, 2021 Киста сделала синуслифтинг,этот объём надо сохранить,колапол резорбируется быстро и через 3-6 мес останется 3мм,графт не скиснет,а созреет по форме дефекта,надо избежать вторичного инфицирования. Перекрыть вестибулярным лоскутом лунку не получится,раскрытие-инфицирование,боль,отёк,контрактура,смешение биотипа. Зачем? Можно нёбный мобилизовать или выбрать другой способ герметичного закрытия лунки Ссылка на комментарий
Raystom Опубликовано 25 февраля, 2021 Автор Поделиться Опубликовано 25 февраля, 2021 Киста сделала синуслифтинг,этот объём надо сохранить,колапол резорбируется быстро и через 3-6 мес останется 3мм,графт не скиснет,а созреет по форме дефекта,надо избежать вторичного инфицирования. Перекрыть вестибулярным лоскутом лунку не получится,раскрытие-инфицирование,боль,отёк,контрактура,смешение биотипа. Зачем? Можно нёбный мобилизовать или выбрать другой способ герметичного закрытия лункиПонятно, спасибо, буду делать Ссылка на комментарий
Raystom Опубликовано 26 февраля, 2021 Автор Поделиться Опубликовано 26 февраля, 2021 Киста сделала синуслифтинг,этот объём надо сохранить,колапол резорбируется быстро и через 3-6 мес останется 3мм,графт не скиснет,а созреет по форме дефекта,надо избежать вторичного инфицирования. Перекрыть вестибулярным лоскутом лунку не получится,раскрытие-инфицирование,боль,отёк,контрактура,смешение биотипа. Зачем? Можно нёбный мобилизовать или выбрать другой способ герметичного закрытия лунки. Запамятовал поинтересоваться. Чем лучше подкладывать в данном случае ксено, наподобие биооса или ауто, наподобие своей или шуроса? Ссылка на комментарий
колесников Опубликовано 26 февраля, 2021 Поделиться Опубликовано 26 февраля, 2021 Что предпочитаете. Если ксено,то с коллагеном. Я шурос использую Ссылка на комментарий
Raystom Опубликовано 26 февраля, 2021 Автор Поделиться Опубликовано 26 февраля, 2021 Что предпочитаете. Если ксено,то с коллагеном. Я шурос используюСпасибо Ссылка на комментарий
Рекомендуемые сообщения
Для публикации сообщений создайте учётную запись или авторизуйтесь
Вы должны быть пользователем, чтобы оставить комментарий
Создать аккаунт
Зарегистрируйте новый аккаунт в нашем сообществе. Это очень просто!
Регистрация нового пользователяВойти
Уже есть аккаунт? Войти в систему.
Войти