Женька Опубликовано 20 февраля, 2021 Поделиться Опубликовано 20 февраля, 2021 Коллеги, скажите пожалуйста кто что видит?Вчера заменил своему технику фдм с 4.5 на 5.5Через час отметил дискомфорт и легкие тянущие боли.Сегодня сказал, что болит, отдаёт в висок и ниже.Я по снимку не вижу что фдм в кость упёрся.При установке фдм пошире пац не отметил никаких ощущений, ну может лёгкий дискомфорт на последних оборотах.Фдм без особых усилий встал. Ссылка на комментарий
ilnurik Опубликовано 20 февраля, 2021 Поделиться Опубликовано 20 февраля, 2021 Да. Медиально придавил. 1 Ссылка на комментарий
Женька Опубликовано 20 февраля, 2021 Автор Поделиться Опубликовано 20 февраля, 2021 Да. Медиально придавил.Думаете это всё-таки кость? не десна? Ссылка на комментарий
ilnurik Опубликовано 20 февраля, 2021 Поделиться Опубликовано 20 февраля, 2021 Даже если десна, то она придавлена к кости. Поэтому такие ощущения Ссылка на комментарий
Женька Опубликовано 20 февраля, 2021 Автор Поделиться Опубликовано 20 февраля, 2021 Даже если десна, то она придавлена к кости. Поэтому такие ощущенияТак в этом же смысл?) отдавить, получить плотность и как следствие какой-то объём? Ссылка на комментарий
kramer Опубликовано 20 февраля, 2021 Поделиться Опубликовано 20 февраля, 2021 отдавить Должно быть пространство для отдавливания, а так выходит, что какой-то участок десны зажало между костью и фдм 3 Ссылка на комментарий
Марья Моревна Опубликовано 20 февраля, 2021 Поделиться Опубликовано 20 февраля, 2021 Так в этом же смысл?) отдавить, получить плотность и как следствие какой-то объём?Сделайте тогда насечку высотой 2мм и глубиной 1мм примерно медиально, чтоб десне было куда деваться. Ссылка на комментарий
Карен Аванесов Опубликовано 20 февраля, 2021 Поделиться Опубликовано 20 февраля, 2021 Коллеги, скажите пожалуйста кто что видит?Вчера заменил своему технику фдм с 4.5 на 5.5Через час отметил дискомфорт и легкие тянущие боли.Сегодня сказал, что болит, отдаёт в висок и ниже.Я по снимку не вижу что фдм в кость упёрся.При установке фдм пошире пац не отметил никаких ощущений, ну может лёгкий дискомфорт на последних оборотах.Фдм без особых усилий встал.Это карма технику за грешки прилетела, но теперь он будет лучше понимать технические моменты. Делайте укол и разрез, жалоб не будет. Кстати, как сами думаете ПАЦ и ПОЦ имеют общий корень? Ссылка на комментарий
Женька Опубликовано 21 февраля, 2021 Автор Поделиться Опубликовано 21 февраля, 2021 Спасибо всем.Карен, корни конечно разные. Намёк понял. Заменил обратно на потоньше пока...чтоб на выходных не терпел боль Ссылка на комментарий
Женька Опубликовано 22 февраля, 2021 Автор Поделиться Опубликовано 22 февраля, 2021 Замена фдм на тонкий 4.0 не дала мгновенного результата...замена была в субботу, ночь субботы и воскресенье всё еще боль такой же интенсивности как и до этого.Сегодня понедельник, с утра ныло, к 15 часам отпустило немного.Отёк слизистой уменьшился, но формик почти затянуло... Неужели передавленная десна так реагирует, коллеги? Ссылка на комментарий
Raystom Опубликовано 22 февраля, 2021 Поделиться Опубликовано 22 февраля, 2021 Киньте фото Ссылка на комментарий
Irouil Опубликовано 22 февраля, 2021 Поделиться Опубликовано 22 февраля, 2021 Да, так реагирует. У меня такие же проблемы бывают, списываю на ишемический некроз, который необратим. Ссылка на комментарий
Женька Опубликовано 23 февраля, 2021 Автор Поделиться Опубликовано 23 февраля, 2021 Да, так реагирует. У меня такие же проблемы бывают, списываю на ишемический некроз, который необратим.Какие последствия (всё ограничивается мягкими тканями или с переходом на кость) и как потом решаете их? Ссылка на комментарий
Irouil Опубликовано 23 февраля, 2021 Поделиться Опубликовано 23 февраля, 2021 Теряется толщина тканей, если запаса не было - пойдет за счет кортикалки. Я так думаю, все такие факапы (а это очень неприятные истории, ибо садизмом не страдаю) до сих пор ловил на жирных покрывных тканях Ссылка на комментарий
Женька Опубликовано 24 февраля, 2021 Автор Поделиться Опубликовано 24 февраля, 2021 (изменено) Теряется толщина тканей, если запаса не было - пойдет за счет кортикалки. Я так думаю, все такие факапы (а это очень неприятные истории, ибо садизмом не страдаю) до сих пор ловил на жирных покрывных тканяхЯ вот тоже не страдаю, не могу я пациенту просто сказать - пей таблетки всё пройдет...В моём случае ткани не такие уж и толстые...скорее к тонким ближе p.s пятые сутки, таблетки стали действовать дольше (около 5-6 часов), что за хворь такая Изменено 24 февраля, 2021 пользователем Женька Ссылка на комментарий
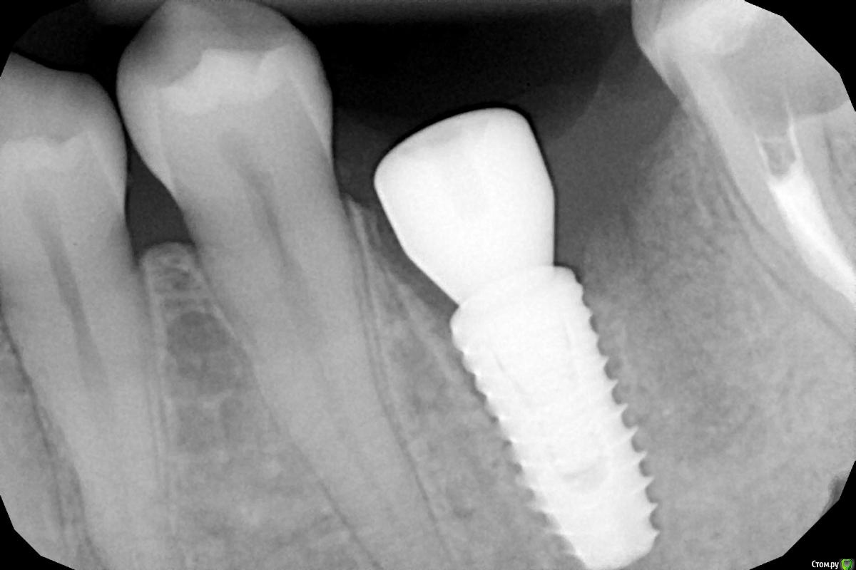
Женька Опубликовано 1 мая, 2021 Автор Поделиться Опубликовано 1 мая, 2021 Зафиксировали сегодня нашему технику циркон в полную анатомию... плюсом сажал сст одновременно и раздвинул десну язычно и вестибулярно. Зафиксировал без ишемии десны практически (немного побелела только). Что скажет по снимку, коллеги? 1 Ссылка на комментарий
Irouil Опубликовано 1 мая, 2021 Поделиться Опубликовано 1 мая, 2021 Какой техник технику коронку делал? Почему там зазор у основания?) Графтили под понтиком? Ссылка на комментарий
Женька Опубликовано 1 мая, 2021 Автор Поделиться Опубликовано 1 мая, 2021 (изменено) Техник сам себе коронку делал. Медиально зазор? Видимо потому, что при приклейке почему-то был люфт колпачка на абатменте... И мне этот момент непонятен, откуда этот люфт взялся. Под понтиком не графтил, там яма была вестибулярно в области понтика. Под понтиком полурасщепленный лоскут получился. И в этом месте циркон без глазури, только полировка. Щас модельку покажу. Изменено 1 мая, 2021 пользователем Женька Ссылка на комментарий
Aquarius Опубликовано 1 мая, 2021 Поделиться Опубликовано 1 мая, 2021 (изменено) Карен хорошо подметил про грешки. Это вообще что за прилегание? Абатмент пониже, фрезернуть и нормально выйти из десны, без балконов, вообще не вариант? Изменено 1 мая, 2021 пользователем Aquarius Ссылка на комментарий
Irouil Опубликовано 1 мая, 2021 Поделиться Опубликовано 1 мая, 2021 Ну пусть сам себе теперь работу переделывает))) ну правда, с таким высоким медиальным пиком этот навес - не комильфо А зачем Вы графтили вокруг винта на этапе сдачи постоянной работы? Ссылка на комментарий
Женька Опубликовано 2 мая, 2021 Автор Поделиться Опубликовано 2 мая, 2021 @Irouil потому что не додумался заграфтить на этапе установки... @Aquarius неопытный техник+неопытный врач= вот такая работа 17 часов назад, Aquarius сказал: Это вообще что за прилегание? Покажите пожалуйста, где именно фейл? на уровне "уступа" абатмента я так понимаю? 17 часов назад, Irouil сказал: Ну пусть сам себе теперь работу переделывает))) Всё настолько хреново? Ссылка на комментарий
Irouil Опубликовано 2 мая, 2021 Поделиться Опубликовано 2 мая, 2021 (изменено) 5 часов назад, Женька сказал: @Irouil потому что не додумался заграфтить на этапе установки... Всё настолько хреново? Теперь Ваш графт может непрогнозируемо повлиять на уровень зенита и глубину эпителиального прикрепления. При этом высота основания/циркона/глазури Вами уже выбрана и их соотношение с биологическими потом может не совпасть. насчет «хреново» - я уже написал про медиальную сторону, с такой близостью костной поверхности зазор может оказаться критичным. Вы просто покажите технику снимок и спросите - его самого устраивает всё? Изменено 2 мая, 2021 пользователем Irouil Ссылка на комментарий
Женька Опубликовано 3 мая, 2021 Автор Поделиться Опубликовано 3 мая, 2021 12 часов назад, Irouil сказал: насчет «хреново» - я уже написал про медиальную сторону, с такой близостью костной поверхности зазор может оказаться критичным. Вы просто покажите технику снимок и спросите - его самого устраивает всё? Он скажет, что да, всё устраивает. Тк нигде по протезированию на имплантатах не учился (ну может из соц. сетей что-то видел/слышал) и соответственно ничего на снимке не увидит. Ссылка на комментарий
Irouil Опубликовано 3 мая, 2021 Поделиться Опубликовано 3 мая, 2021 Ну тогда пусть носит) на мой взгляд на этом снимке все видно без каких-либо специальных обучений - должно быть гладко, а торчит юбка. Ссылка на комментарий
Рекомендуемые сообщения
Для публикации сообщений создайте учётную запись или авторизуйтесь
Вы должны быть пользователем, чтобы оставить комментарий
Создать аккаунт
Зарегистрируйте новый аккаунт в нашем сообществе. Это очень просто!
Регистрация нового пользователяВойти
Уже есть аккаунт? Войти в систему.
Войти