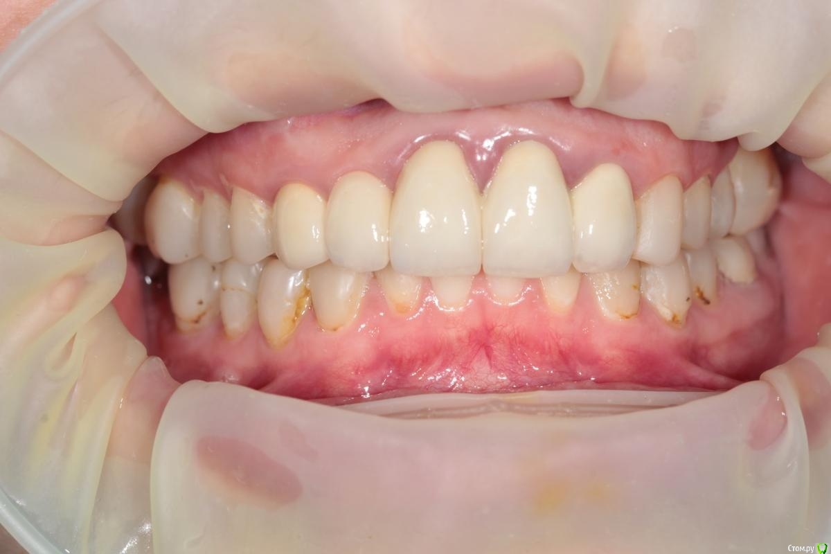
Bruks Опубликовано 9 февраля, 2021 Поделиться Опубликовано 9 февраля, 2021 (изменено) Добрый день. Обратилась пациентка, 25 лет. Во фронте старый МК-мост 13-22 (делали 8 лет назад). Хочу спланировать имплантацию и перевести ее на одиночки e.max или циркон. Но хотелось бы исправить проблему аномального положения фронтальных зубов. Чтобы можно было создать правильные пропорции зубов и нормальный контур десны. Как считаете, насколько сложно это реализуемо? Можно ли прогнозировать, что мы опустим зениты? Изменено 9 февраля, 2021 пользователем Bruks Ссылка на комментарий
Bruks Опубликовано 9 февраля, 2021 Автор Поделиться Опубликовано 9 февраля, 2021 Перенесите, пожалуйста, тему в рубрику "Для врачей" Ссылка на комментарий
kramer Опубликовано 10 февраля, 2021 Поделиться Опубликовано 10 февраля, 2021 11, 21 делать экструзию, 42-32 интрузию Ссылка на комментарий
Bruks Опубликовано 11 февраля, 2021 Автор Поделиться Опубликовано 11 февраля, 2021 11, 21 делать экструзию, 42-32 интрузию В теории согласен. Переводим все на временные одиночки и тянем вниз фронт. Меня больше интересует вопрос: получу ли я коронарное смещение альвеолярного отростка. Боюсь, чтобы при экструзии не пошли только зубы, а кость осталась на месте. Как вы понимаете, здесь вопрос эстетики, поэтому нам нужна кость, десна и соответственно десневые сосочки. Если кости не будет - то и особого смысла в ортодонтии нет. Ссылка на комментарий
Марья Моревна Опубликовано 11 февраля, 2021 Поделиться Опубликовано 11 февраля, 2021 кость осталась на месте Вполне возможно, что одних центральных будет недостаточно.Но тут еще надо коронки орально поворачивать, при этом корни пойдут вестибулярно. Гляньте на КТ толщину кости в области корней. Ссылка на комментарий
Рекомендуемые сообщения
Для публикации сообщений создайте учётную запись или авторизуйтесь
Вы должны быть пользователем, чтобы оставить комментарий
Создать аккаунт
Зарегистрируйте новый аккаунт в нашем сообществе. Это очень просто!
Регистрация нового пользователяВойти
Уже есть аккаунт? Войти в систему.
Войти