Alexrum Опубликовано 5 февраля, 2021 Поделиться Опубликовано 5 февраля, 2021 (изменено) Здравствуйте, уважаемые доктора!Буду очень благодарна вам за консультацию. Передний нижний зуб справа.Краткая история:1) 15 лет назад зуб лечили как кариес, но поскольку зубы сами маленького размера с тонкой эмалью просвечивал нерв и решили прочистить канал. Пульпита не было. Сразу в течение последующих дней острая пульсирующая боль, на ренгене темное пятно под верхушкой корня. Сказали до конца не прочистили канал, периодонтит.2) в другой клинике стали перелечивать заново. Чистили канал, закладывали лекарство в течение нескольких месяцев, затем постоянное пломбирование гуттаперчей. На снимке гуттаперчевый штифт вышел за верхушку корня на 2 мм, консультирующий хирург сказал делать резекцию в течение года от чего я отказалась.3) Зуб не беспокоил 15 лет. Сейчас на рентгене штифта за верхушкой корня нет, рассосался? В течение нескольких месяцев резкая боль на горячее и периодически пульсирующая. Сегодня была на консультации у опытного эндодонта. Её мнение: верхушка корня запломбирована хорошо, болеть не может. Предложила прочистить верхнюю половину корня зуба, сказала там есть две темные полости, может быть разлом. У врача есть микроскоп. За свою жизнь мне вылечили много периодонтитов в России, очень успешно. Уважаемые доктора, очень важно ваше мнение. Подскажите, пожалуйста, что делать дальше с зубом. Сейчас живу в европе, в Россию приехать пока нет возможности. Огромное спасибо! Изменено 5 февраля, 2021 пользователем Alexrum Ссылка на комментарий
ЛанаМ Опубликовано 7 февраля, 2021 Поделиться Опубликовано 7 февраля, 2021 Ваши жалобы характерны для длительно существующего хронического воспаления пульпы зуба. Обратите внимание на соседний зуб с пломбой, возможно, это он вам дает такую симптоматику. Пломба достаточно близко к нерву, возможен хронический пульпит.Зуб с удаленным нервом может дать такие боли только при наличии дополнительного незалеченного канала, а увидеть этот канал можно только на КТ, рентген дает только одну проекцию. Гуттаперчевый штифт рассосаться не может, скорее всего за верхушку был выведен пломбировочный материал. С ним такое может быть. Ссылка на комментарий
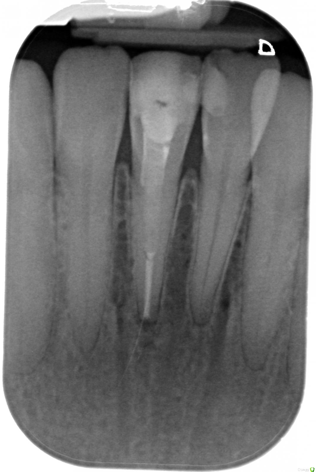
Alexrum Опубликовано 11 февраля, 2021 Автор Поделиться Опубликовано 11 февраля, 2021 Здравствуйте, уважаемая доктор ЛанаМ, спасибо огромное за ответ.Как минимум половина случаев моих периодонтитов (гранулемы, кисты) давали боль на горячее. КТ области нижней челюсти мне сделали несколько дней назад, у зуба, который беспокоит, 1 канал, который видно на снимке.Если возможно, прокомментируйте, пожалуйста, видите ли Вы воспаление под корнем, как вы оцениваете качество пломбировки? Стоит ли его перелечивать?Еще раз огромное Вам спасибо!!! Ссылка на комментарий
ЛанаМ Опубликовано 14 февраля, 2021 Поделиться Опубликовано 14 февраля, 2021 Здравствуйте, Alexrum. Небольшое воспаление на корне есть. Качество пломбирования хорошее, внутри зуба, по видимому, стекловолоконный штифт. Хотелось бы знать временной интервал между выложенными снимками, чтобы оценить необходимость перелечивания. Обычно зубы с периодонтитом беспокоят при кусании и жевании. Жалобы ваши больше подходят к гангренозному пульпиту, а для него нужно наличие полумертвого нерва в канале, с таким нервом могут сочетаться и гранулемы. В вашем запломбированном зубе давать чувствительность к горячему нечему. Но из любого правила бывают исключения, поэтому без очного осмотра утверждать что-то сложно. Меня больше смущает соседний зуб в этом плане. Ссылка на комментарий
Рекомендуемые сообщения
Для публикации сообщений создайте учётную запись или авторизуйтесь
Вы должны быть пользователем, чтобы оставить комментарий
Создать аккаунт
Зарегистрируйте новый аккаунт в нашем сообществе. Это очень просто!
Регистрация нового пользователяВойти
Уже есть аккаунт? Войти в систему.
Войти