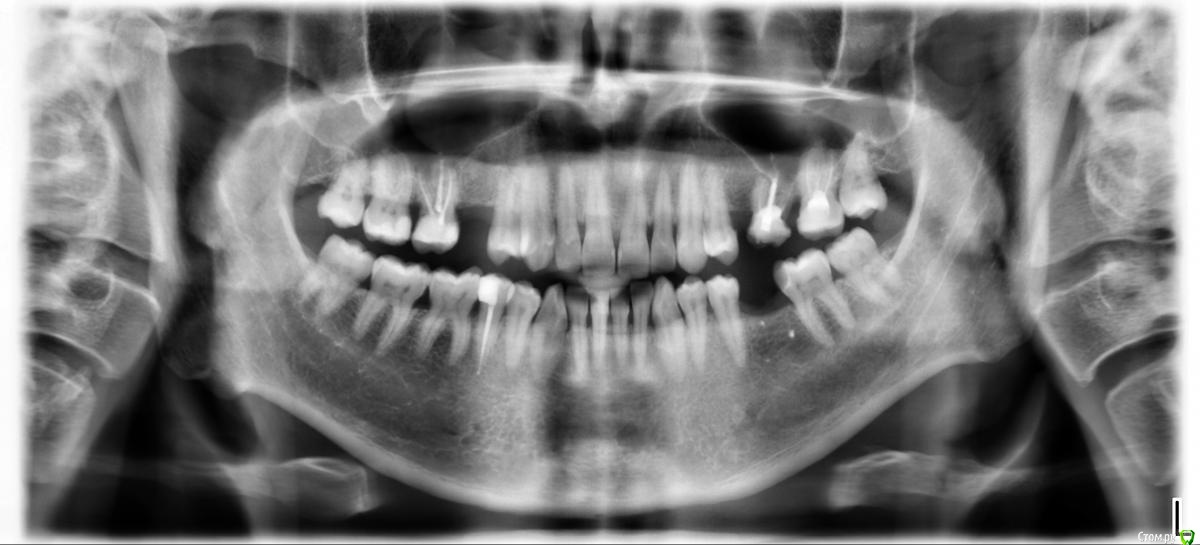
Ulitka Опубликовано 31 января, 2021 Поделиться Опубликовано 31 января, 2021 Добрый день.Ортопед предложил установить коронки на 16 и 27, а 26 удалить. Терапевт пока пролечила каналы в 16 и заложила лекарство на месяц, поставила временную пломбу. Сказала на 27 можно коронку пока не ставить. На консультацию к хирургу скоро пойду по поводу отсутствующих зубов.Действительно ли 26 нужно удалять и нельзя поставить коронку?На какие зубы нужно ставить коронки, на Ваш взгляд? Ссылка на комментарий
red_butler Опубликовано 31 января, 2021 Поделиться Опубликовано 31 января, 2021 на снимке действительно 2.6 выглядит плохо Ссылка на комментарий
Ulitka Опубликовано 2 февраля, 2021 Автор Поделиться Опубликовано 2 февраля, 2021 А на какие еще зубы нужно коронки поставить? Ссылка на комментарий
red_butler Опубликовано 3 февраля, 2021 Поделиться Опубликовано 3 февраля, 2021 А на какие еще зубы нужно коронки поставить?1.6 2.7 4.5 Ссылка на комментарий
Ulitka Опубликовано 3 февраля, 2021 Автор Поделиться Опубликовано 3 февраля, 2021 Спасибо за ответ Ссылка на комментарий
Рекомендуемые сообщения
Для публикации сообщений создайте учётную запись или авторизуйтесь
Вы должны быть пользователем, чтобы оставить комментарий
Создать аккаунт
Зарегистрируйте новый аккаунт в нашем сообществе. Это очень просто!
Регистрация нового пользователяВойти
Уже есть аккаунт? Войти в систему.
Войти