Женька Опубликовано 5 февраля, 2021 Автор Поделиться Опубликовано 5 февраля, 2021 Вроде того, 5ку можно еще немного небнее и ангуляцию вестибулярнее чтобы выход шахты оставить неизменным, смысл в том, чтобы пользоваться пространством возле небного корня 6ки.Так и понял Вас, спасибо! Я правильно думаю, что правильное ортопедическое положение может быть и с вестибулярным наклоном, главное чтобы шахта не в сторону губы верхней смотрела?) (утрирую) Ссылка на комментарий
Женька Опубликовано 14 февраля, 2021 Автор Поделиться Опубликовано 14 февраля, 2021 (изменено) @Irouil, не слишком ли нёбно? как считаете? И в случае такого позиционирования, стоит ли перекрывать эту вестибулярную ямку сст? (подставил зубы виртуальные и понял, что там сосочек надо формировать будет, потому нужно объём тканей создавать) Делаем шаблон под пилот И всё-таки хотелось бы от ортопедов услышать ответ, пожалуйста: Я правильно думаю, что правильное ортопедическое положение может быть и с вестибулярным наклоном, главное чтобы шахта не в сторону губы верхней смотрела?) (утрирую) Изменено 14 февраля, 2021 пользователем Женька Ссылка на комментарий
Fin Опубликовано 14 февраля, 2021 Поделиться Опубликовано 14 февраля, 2021 1.5 как то очень близко к зубу Ссылка на комментарий
Женька Опубликовано 14 февраля, 2021 Автор Поделиться Опубликовано 14 февраля, 2021 Ну, 1.5мм там есть... но согласен, кажется прям впритык Ссылка на комментарий
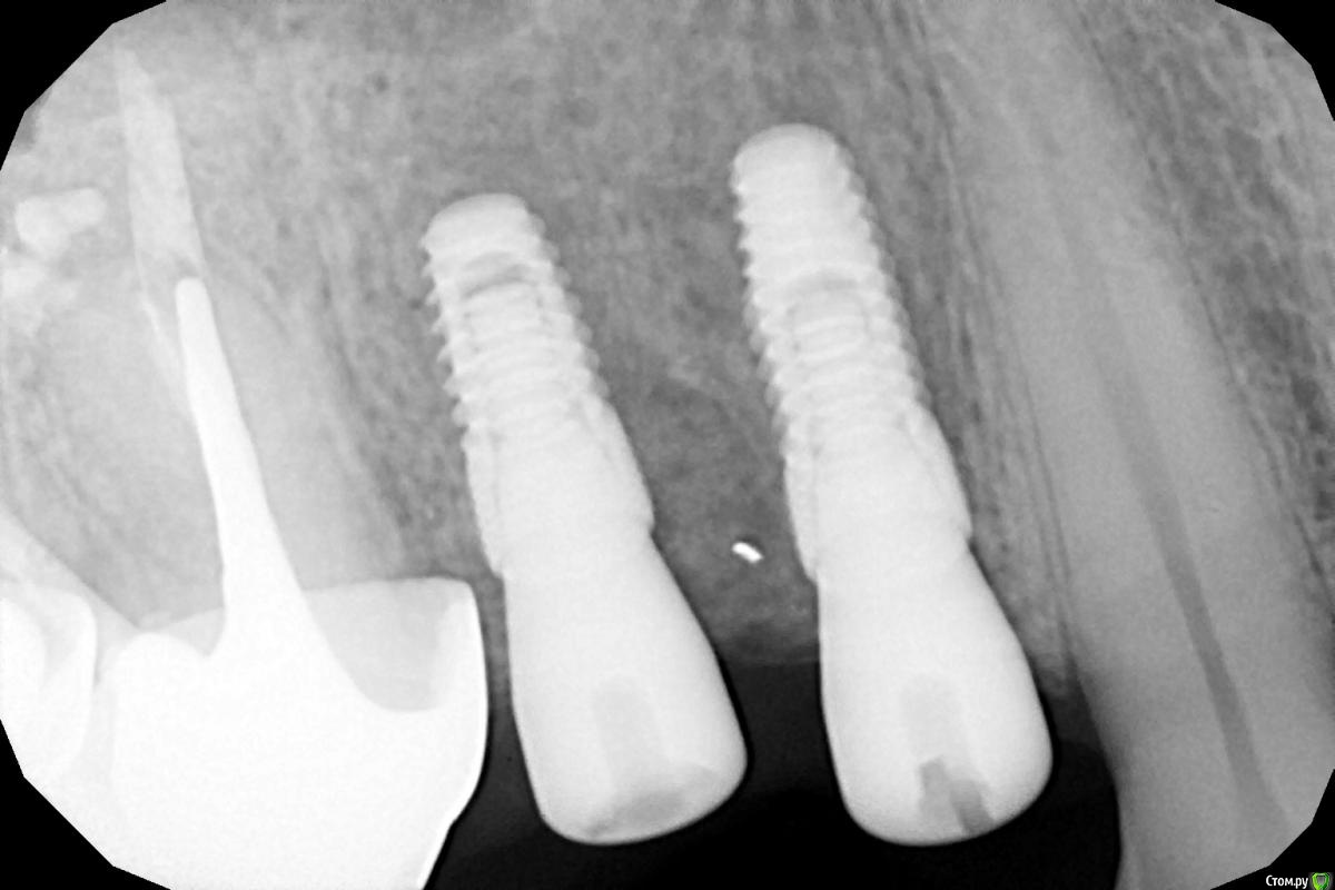
Женька Опубликовано 6 марта, 2021 Автор Поделиться Опубликовано 6 марта, 2021 (изменено) Почти получилось также как и планировалось по кт.Но выглядит прям вооообще нёбно кмк. Редукцию кости проводил, хотя это сложно наверное назвать редукцией.По снимкам кажется что сильно утопил, но по факту это из-за вестибулярного края так и кажется что отпиливать нужно было больше мне Изменено 6 марта, 2021 пользователем Женька Ссылка на комментарий
Рекомендуемые сообщения
Для публикации сообщений создайте учётную запись или авторизуйтесь
Вы должны быть пользователем, чтобы оставить комментарий
Создать аккаунт
Зарегистрируйте новый аккаунт в нашем сообществе. Это очень просто!
Регистрация нового пользователяВойти
Уже есть аккаунт? Войти в систему.
Войти