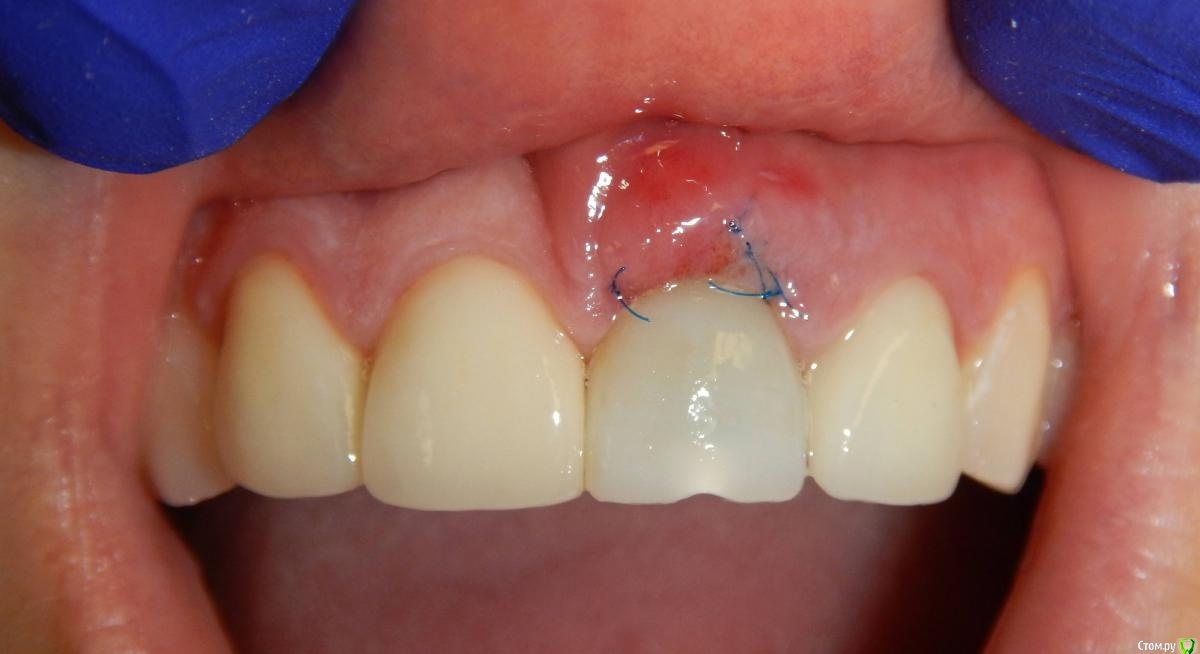
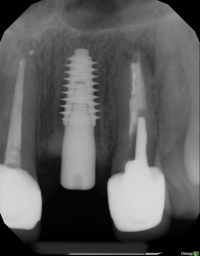
almaz7888 Опубликовано 28 января, 2021 Поделиться Опубликовано 28 января, 2021 Доброе утро коллеги! Планирую одномоментную имплантацию в область 2.1 зуба ( AnyRidge 3.5*11.5). В области апекса костный дефект. Думаю заполнить ксенографтом и перекрыть резорбируемой мембраной 1.5*2.0. Думал насчет спейсера Стоит ли такой имплант сразу нагрузить? или же лучше сделать адгезивный мост. Ссылка на комментарий
alboard Опубликовано 28 января, 2021 Поделиться Опубликовано 28 января, 2021 В том положении, которое на кт, сомневаюсь, что получите торк и сможете нагрузить... Взять подлиннее, поставить небнее и заглубить еще 4 Ссылка на комментарий
Irouil Опубликовано 28 января, 2021 Поделиться Опубликовано 28 января, 2021 Винт длиннее, выход в резцовый, стт, временная коронка 1 Ссылка на комментарий
almaz7888 Опубликовано 28 января, 2021 Автор Поделиться Опубликовано 28 января, 2021 Спасибо, тогда возьму 3.5*15. А резцовый нерв коагулирую и заполняю канал графтом или же можно без прижигания обойтись? Ссылка на комментарий
Irouil Опубликовано 28 января, 2021 Поделиться Опубликовано 28 января, 2021 Резцовый - это край, а не канал) Дальше либо цемент через индивидуальный абатмент, либо угловой абатмент и шаровидная отвёртка под винтовую 2 Ссылка на комментарий
almaz7888 Опубликовано 28 января, 2021 Автор Поделиться Опубликовано 28 января, 2021 Понял, большое спасибо Ссылка на комментарий
Astronaft Опубликовано 29 января, 2021 Поделиться Опубликовано 29 января, 2021 Я в похожей ситуации взял 4.5мм диаметр, БиоОсс и СТ трансплантат.AnyRidge тот который имеет сердцевину 3.5мм и глубокую агрессивную резьбу - очень хорошо врезается, риск лизиса кости меньше за счет места между витками. 2 Ссылка на комментарий
Nazim_NV86 Опубликовано 29 января, 2021 Поделиться Опубликовано 29 января, 2021 Резцовый - это край, а не канал) . Мне тоже первую сек так показалось. Ссылка на комментарий
Евгений Ходыкин Опубликовано 30 января, 2021 Поделиться Опубликовано 30 января, 2021 Доброе утро коллеги! Планирую одномоментную имплантацию в область 2.1 зуба ( AnyRidge 3.5*11.5). В области апекса костный дефект. Думаю заполнить ксенографтом и перекрыть резорбируемой мембраной 1.5*2.0. Думал насчет спейсера Стоит ли такой имплант сразу нагрузить? или же лучше сделать адгезивный мост. А что с зубом, простите? За что ему такой приговор? Ссылка на комментарий
almaz7888 Опубликовано 31 января, 2021 Автор Поделиться Опубликовано 31 января, 2021 Я в похожей ситуации взял 4.5мм диаметр, БиоОсс и СТ трансплантат.AnyRidge тот который имеет сердцевину 3.5мм и глубокую агрессивную резьбу - очень хорошо врезается, риск лизиса кости меньше за счет места между витками.Спасибо за совет. Такой имплант по лунке лучше встанет, постараюсь взять больший диаметр, чем предполагал ) Ссылка на комментарий
almaz7888 Опубликовано 31 января, 2021 Автор Поделиться Опубликовано 31 января, 2021 А что с зубом, простите? За что ему такой приговор?Добрый вечер! По 2.1 зубу: пациент пришел ко мне на его удаление, подвижность II степени, карман 6 мм, гранулема и костный дефект по апексу, поэтому считаю, что РВК с шинированием фронта не совсем здесь приемлемы. Ссылка на комментарий
Евгений Ходыкин Опубликовано 1 февраля, 2021 Поделиться Опубликовано 1 февраля, 2021 Добрый вечер! По 2.1 зубу: пациент пришел ко мне на его удаление, подвижность II степени, карман 6 мм, гранулема и костный дефект по апексу, поэтому считаю, что РВК с шинированием фронта не совсем здесь приемлемы.Я бы на Вашем месте тогда заморочился бы с эндодонтией зуба и ожиданием восстановления костной ткани. Ну а если сильно хочется удалить и вкрутить, то никакая доп.травма в виде костной пластики тут не нужна. Не является индивидуальной рекомендацией (с). Ссылка на комментарий
almaz7888 Опубликовано 1 февраля, 2021 Автор Поделиться Опубликовано 1 февраля, 2021 Спасибо, учту Ссылка на комментарий
Рекомендуемые сообщения
Для публикации сообщений создайте учётную запись или авторизуйтесь
Вы должны быть пользователем, чтобы оставить комментарий
Создать аккаунт
Зарегистрируйте новый аккаунт в нашем сообществе. Это очень просто!
Регистрация нового пользователяВойти
Уже есть аккаунт? Войти в систему.
Войти