Alex1964 Опубликовано 12 января, 2021 Поделиться Опубликовано 12 января, 2021 Здравствуйте! Лет 10 назад приводил в порядок свой жевательный механизм :-), было установлено несколько имплантов. Всё было отлично, жевал искусственными зубами как родными.Пару месяцев назад возникла подвижность коронки, и вот, в итоге, выяснилось, что имплант Ankylos переломился примерно пополам (на уровне конца винта), кусок соответственно остался в челюсти, кусок в коронке (в абатменте) Посоветуйте, к кому обратиться?Наверное, тут может помочь какой то серьёзный челюстно-лицевой хирург; в моей клинике хирург сказал, что удалять обломок сложно, может провалиться в пазуху, что это нужно делать в ЦНИИС и ЧЛХ...Предложил оставить кусок импланта как есть, в челюсти, и установить мост (получается 4 единицы на 3 импланта)Хочу "второе мнение", у кого, где? Ссылка на комментарий
kramer Опубликовано 12 января, 2021 Поделиться Опубликовано 12 января, 2021 Покажите снимок Ссылка на комментарий
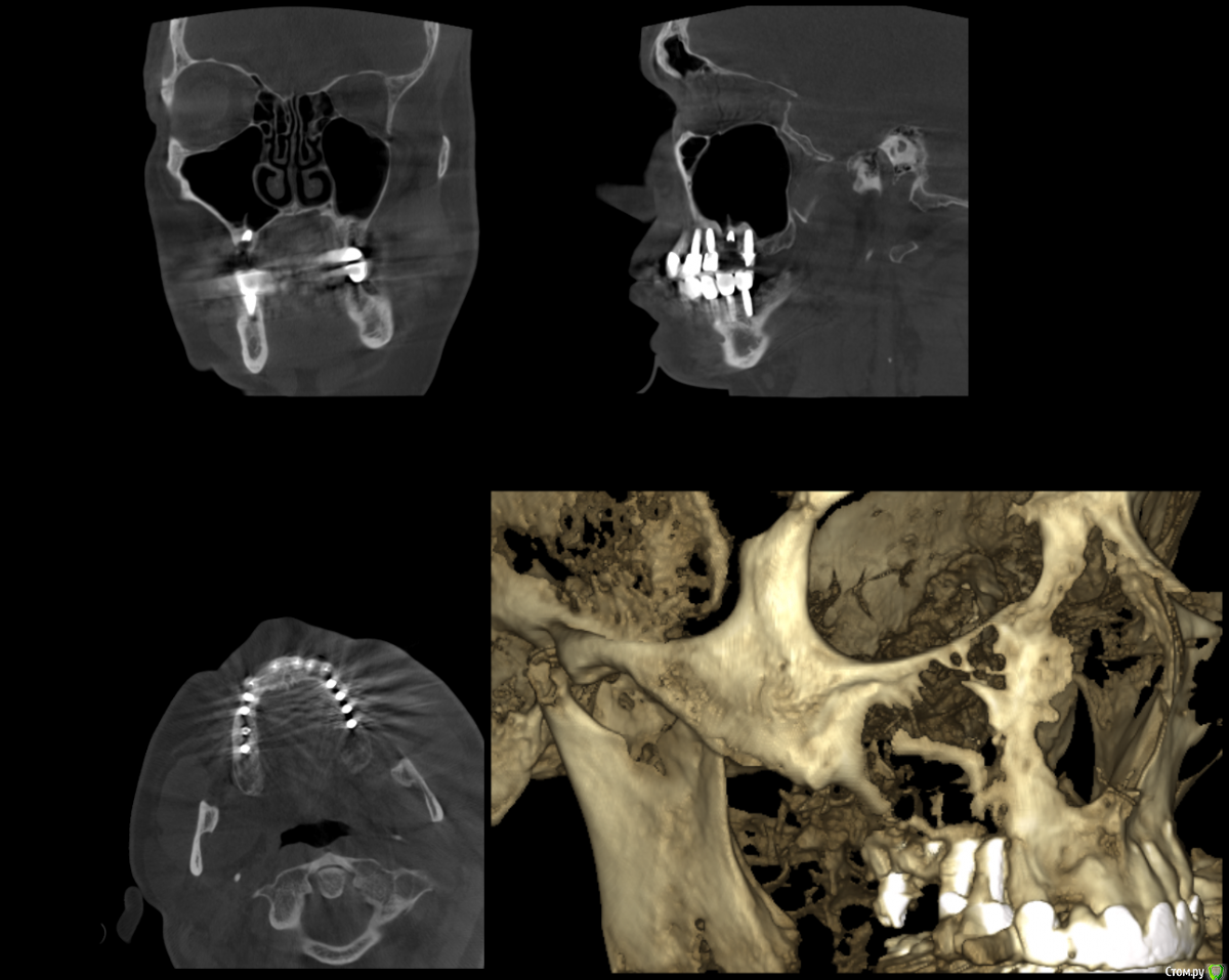
Alex1964 Опубликовано 12 января, 2021 Автор Поделиться Опубликовано 12 января, 2021 Покажите снимокСнимка нет, есть КТ, но оно же большое...Вот скриншот из КТ: КТ в программе Romexis_Viewer, могу выложить файлы из папки images (dcm и txt, это же, как я понимаю, и есть сама КТ?)Или могу выложить всю папку КТ (то есть весь CD-диск)Подскажите, как правильно, сделаю.All_2.txt Ссылка на комментарий
Irouil Опубликовано 12 января, 2021 Поделиться Опубликовано 12 января, 2021 Если с соседними имплантами все в порядке, то я полностью согласен с идеей протезировать мостовидным протезом с опорой на 3 импланта. Обломок тщательно обработать, законсервировать Ссылка на комментарий
red_butler Опубликовано 12 января, 2021 Поделиться Опубликовано 12 января, 2021 Нужно очно смотреть и смотреть Кт. Импланты просто так не ломаются, нужно понять причину, да и похоже к остальным имплантам есть вопросы... Ссылка на комментарий
Alex1964 Опубликовано 12 января, 2021 Автор Поделиться Опубликовано 12 января, 2021 Если с соседними имплантами все в порядке, то я полностью согласен с идеей протезировать мостовидным протезом с опорой на 3 импланта. Обломок тщательно обработать, законсервироватьСпасибо!Да, про обработку и консервацию врачи ничего не говорили... Вообще, если не болит, кусок титана там глубоко, есть же вероятность, что не нужно консервировать? Ссылка на комментарий
Alex1964 Опубликовано 12 января, 2021 Автор Поделиться Опубликовано 12 января, 2021 Нужно очно смотреть и смотреть Кт. Импланты просто так не ломаются, нужно понять причину, да и похоже к остальным имплантам есть вопросы...Спасибо за ответ! Вот, я и хочу проконсультироваться у хорошего специалиста, посоветуйте? Врачу, который делал, я доверяю, но он из этой клиники ушёл.Врачи, которые сейчас в клинике, в общем хорошие, но хирург работает там всю свою профессиональную жизнь, делает стандартные хирургические дела - удаление, синус, имплантация, плюс наверняка у него профобщения мало. На форумах не сидит :-) А мне же, наверное, нужен хирург, который сталкивался с более разнообразными случаями, идеально, что бы он такие поломки имплантов уже видел.Ну, или если нет, то просто второе мнение нужно. В моей клинике меня смотрели хирург, и главврач-ортопед, и ортопед давит на хирурга авторитетом, но он же сам не хирург, может не в ту сторону надавить :-) То есть мне лучше главврач-хирург!!! Ссылка на комментарий
Марья Моревна Опубликовано 13 января, 2021 Поделиться Опубликовано 13 января, 2021 В жизни бывают ситуации, когда ставят несколько имплантов, но протезируют не все. Нечто подобное будет и с Вашим фрагментом. Конечно, импланты просто так не ломаются (бруксизм, ортодонтия, позиционирование, резорбция, перегруз и т.п.)Но сейчас Вы уже вряд ли с этим что-то поделаете. Поэтому протезируйте те, что есть и живите спокойно и счастливо дальше. При наличии периодических осмотров, разумеется) Ссылка на комментарий
Alex1964 Опубликовано 13 января, 2021 Автор Поделиться Опубликовано 13 января, 2021 Здравствуйте! Конечно, импланты просто так не ломаются (бруксизм, ортодонтия, позиционирование, резорбция, перегруз и т.п.)Честно говоря, вообще о таком не слышал. Почти - лет около 20 назад, когда всё только начиналась, были сообщения о сломавшихся имплантах, конечно, не известных брендов, а новичков. Но что бы какой то Штрауман сломался, или Анкилос... Это же титановый штырь. Я понимаю, если кость верхней челюсти переломится, как вы сказали, из за "бруксизм, ортодонтия, позиционирование, резорбция, перегруз", но что бы штырь? Я, конечно, в шоке, я думал, такое невозможно. Но вот, случилось, что теперь поделать...PS Зато какая остеоинтеграция, всем на зависть, титан ломает! :-) Ссылка на комментарий
Рекомендуемые сообщения
Для публикации сообщений создайте учётную запись или авторизуйтесь
Вы должны быть пользователем, чтобы оставить комментарий
Создать аккаунт
Зарегистрируйте новый аккаунт в нашем сообществе. Это очень просто!
Регистрация нового пользователяВойти
Уже есть аккаунт? Войти в систему.
Войти