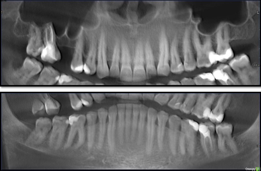
al7777 Опубликовано 10 января, 2021 Поделиться Опубликовано 10 января, 2021 Добрый день.У меня подходит к завершению лечение брекетами и нужно делать имплантацию верхней шестерки справа.Когда касался этого вопроса лет 5 назад, говорили, что нужен открытый синус-лифтинг. Проблема в септе, которая делит место для зуба надвое. Высота кости в этом месте около 4 мм, на снимке видно измерение.Сейчас 2 разных врача предложили сделать закрытый синус-лифтинг.Хотелось узнать мнение уважаемых специалистов с форума по этому поводу. Первый вариант - Установка короткого импланта большого диаметра (5х8 вроде) прямо под септой, синус-лифтинг будет "без применения костнозамещающего материала", имплант Корейский Implantium. Второй вариант от другого доктора- Установка импланта несколько под углом, так чтобы увеличить длину его контакта с костью и выйти с одной стороны от септы. От септы мембрану в пазухе не отслаивать, так как она при этом порвется, а синус-лифтинг сделать закрытым способом, с одной стороны от септы, там где выйдет имплант. Имплант корейский Осстем (можно и Штрауман поставить, но по деньгам сейчас не потяну), плюс пластика мягких тканей. Снимки прикладываю, единственное панорамные снимки сделаны перед установкой брекетов, не смог сейчас сделать панораму с КТ Пикассо. Ссылка на комментарий
red_butler Опубликовано 10 января, 2021 Поделиться Опубликовано 10 января, 2021 нужны актуальные снимки Ссылка на комментарий
al7777 Опубликовано 10 января, 2021 Автор Поделиться Опубликовано 10 января, 2021 Снимки с КТ актуальные, старые только панорамные снимки. Этого достаточно или нет? Ссылка на комментарий
red_butler Опубликовано 10 января, 2021 Поделиться Опубликовано 10 января, 2021 Я бы делал закрытый синус в септу Ссылка на комментарий
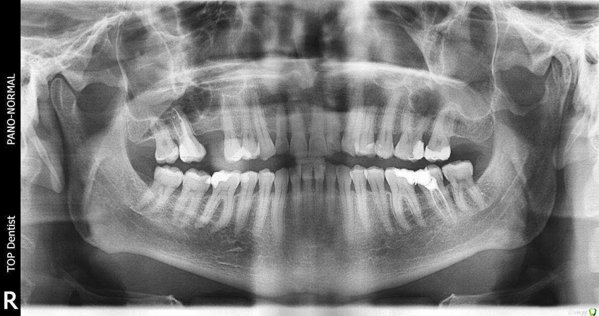
al7777 Опубликовано 10 января, 2021 Автор Поделиться Опубликовано 10 января, 2021 Доехал до Пикассо, сделал новый панорамный снимок.Так лучше? 1 Ссылка на комментарий
Bier Опубликовано 11 января, 2021 Поделиться Опубликовано 11 января, 2021 в септу крутите Ссылка на комментарий
al7777 Опубликовано 18 января, 2021 Автор Поделиться Опубликовано 18 января, 2021 Большое спасибо!Поставили имплант в септу плюс ЗСЛ. 1 Ссылка на комментарий
red_butler Опубликовано 19 января, 2021 Поделиться Опубликовано 19 января, 2021 Большое спасибо!Поставили имплант в септу плюс ЗСЛ.Пожалуйста, не забудьте поделиться результатом Ссылка на комментарий
Рекомендуемые сообщения
Для публикации сообщений создайте учётную запись или авторизуйтесь
Вы должны быть пользователем, чтобы оставить комментарий
Создать аккаунт
Зарегистрируйте новый аккаунт в нашем сообществе. Это очень просто!
Регистрация нового пользователяВойти
Уже есть аккаунт? Войти в систему.
Войти