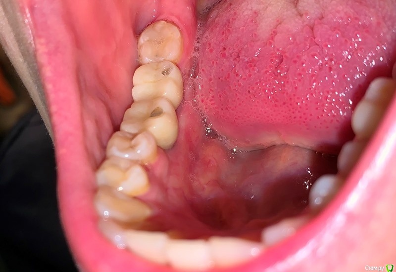
Diana1974 Опубликовано 8 января, 2021 Поделиться Опубликовано 8 января, 2021 Добрый день! Подскажите, нормально ли это и нужно ли просить что-то переделывать? 2 недели назад поставили коронки на импланты, до первого приема пищи всё было хорошо, десна выглядит нормальной, но места установки постоянно ноют, еда очень сильно набивается и также вызывает сильное давление и боль, жесткая еда и холод вызывают пульсацию. Врач сказал, всё хорошо и будет еще затягивать их. Ноющая боль появлялась еще с момента установки формирователей (в июле), но врач также говорил, что всё хорошо прижилось и идет по плану. На втором снимке стрелочкой указала сопутствующую проблему: беспричинная сильная боль и пульсация четко в десне между передними зубами, которая то утихает, то появляется вновь (стоматолог и парадонтолог осматривали, по их части проблем нет, зубы, между которыми боль ни разу не лечились и на данный момент здоровы), проблеме 3 месяца, предпринимала много чего, в итоге меня отправляют к стоматоневрологу. Всё это может быть связано с имплантами или наоборот все эти проблемы не относятся к стоматологии и нужно искать причину у невролога? Ссылка на комментарий
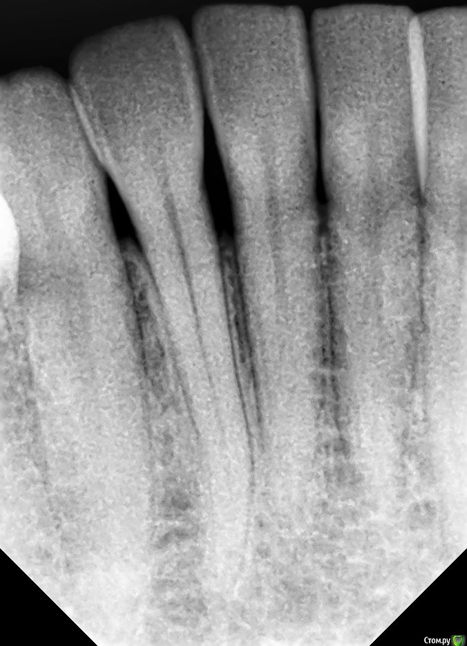
kramer Опубликовано 8 января, 2021 Поделиться Опубликовано 8 января, 2021 Нужны прицельные снимки с установленными коронками Ссылка на комментарий
dentikl Опубликовано 8 января, 2021 Поделиться Опубликовано 8 января, 2021 Добрый день! Всё это может быть связано с имплантами или наоборот все эти проблемы не относятся к стоматологии и нужно искать причину у невролога?семечки любите? Ссылка на комментарий
Diana1974 Опубликовано 8 января, 2021 Автор Поделиться Опубликовано 8 января, 2021 семечки любите?нет, и не ела уже давно Ссылка на комментарий
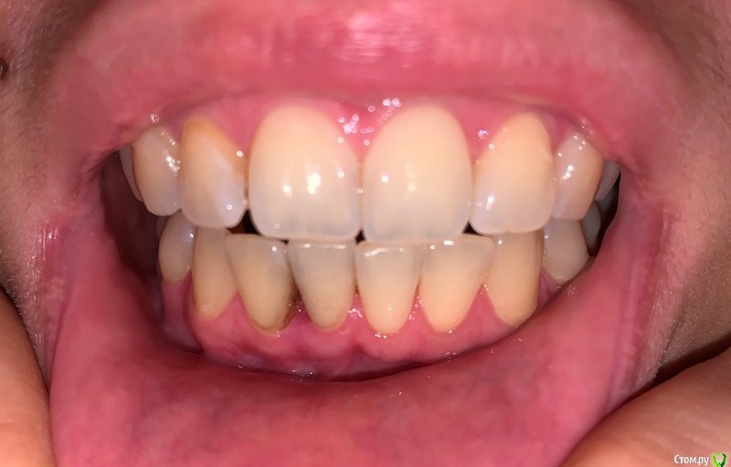
dentikl Опубликовано 9 января, 2021 Поделиться Опубликовано 9 января, 2021 нет, и не ела уже давнопокажите фото передних зубов Ссылка на комментарий
Diana1974 Опубликовано 9 января, 2021 Автор Поделиться Опубликовано 9 января, 2021 Нужны прицельные снимки с установленными коронкамиПрикладываю Ссылка на комментарий
Diana1974 Опубликовано 9 января, 2021 Автор Поделиться Опубликовано 9 января, 2021 покажите фото передних зубовТакой нездоровый вид (цвет эмали между зубов и как будто бы рецессия) десна приобрела после посещения парадонтолога в начале декабря, врач предположил, что боль вызывает глубокий зубной камень под десной и сделал чистку ультразвуком, на ситуацию с болью в десне это никак не повлияло. Ссылка на комментарий
kramer Опубликовано 9 января, 2021 Поделиться Опубликовано 9 января, 2021 еда очень сильно набивается Где именно, уточните вызывает сильное давление и боль, жесткая еда и холод вызывают пульсацию Больше возле дальнего имплантата или ближнего? Ссылка на комментарий
Diana1974 Опубликовано 9 января, 2021 Автор Поделиться Опубликовано 9 января, 2021 Где именно, уточните Больше возле дальнего имплантата или ближнего? Больше всего застревает со стороны языка в промежутке между коронками, туда еда попадает так, что очень сложно достать без промывки ирригатором и нити, и соответственно находясь вне дома еда очень здорово раздражает десну (может это нормально, но я думала, что можно будет полноценно всё есть не зная боли).По поводу боли не могу определенно сказать, что она исходит от конкретной коронки, но она совершенно четко присутствует вне приемов пищи. Ссылка на комментарий
kramer Опубликовано 9 января, 2021 Поделиться Опубликовано 9 января, 2021 Попросите врача проверить все зубы вверху и внизу с этой стороны на предмет пульпита, раз вы говорите, что еще в июле появилось. Ссылка на комментарий
Diana1974 Опубликовано 9 января, 2021 Автор Поделиться Опубликовано 9 января, 2021 Попросите врача проверить все зубы вверху и внизу с этой стороны на предмет пульпита, раз вы говорите, что еще в июле появилось. Скриншоты, которые я приложила в первом сообщении взяты из кт от 23 декабря, врач тогда сказал, что мы его как раз и делаем, чтобы еще раз перепроверить все зубы, долго смотрел и сказал всё хорошо, разве что на дальнем зубе можно переделать запломбированные каналы. Ссылка на комментарий
Diana1974 Опубликовано 9 января, 2021 Автор Поделиться Опубликовано 9 января, 2021 Попросите врача проверить все зубы вверху и внизу с этой стороны на предмет пульпита, раз вы говорите, что еще в июле появилось. А по коронкам, что скажете, стоит просить что-то скорректировать, пока на них не установили постоянные пломбы? Ссылка на комментарий
Рекомендуемые сообщения
Для публикации сообщений создайте учётную запись или авторизуйтесь
Вы должны быть пользователем, чтобы оставить комментарий
Создать аккаунт
Зарегистрируйте новый аккаунт в нашем сообществе. Это очень просто!
Регистрация нового пользователяВойти
Уже есть аккаунт? Войти в систему.
Войти