artek Опубликовано 16 декабря, 2020 Поделиться Опубликовано 16 декабря, 2020 Здравствуйте, товарищи! Почти год назад переличил 2 зуба под микроскопом, как мне рекомендовали в данной теме на форуме.Каналы были перелечены, поставлены временные коронки.Сейчас сделал КТ, врач говорит, что какой то явной динамики по основной кисте не наблюдается. То есть она ощутимо не уменьшилась и не увеличилась.Вот срезы до и послеЭти зубы ощутимо не беспокоят, изредка бывает несильные тянущие боли, скорее дискомфорт.Врач предлагает закрыть зубы постоянными коронками. Хотя вкладываться в коронки, не имея выраженной позитивной динамики, как то не очень хочется.Собственно вопрос, что порекомендуете дальше делать? Какие возможны варианты? Ссылка на комментарий
red_butler Опубликовано 16 декабря, 2020 Поделиться Опубликовано 16 декабря, 2020 Резекцию апексов провести 1 Ссылка на комментарий
artek Опубликовано 19 декабря, 2020 Автор Поделиться Опубликовано 19 декабря, 2020 Резекцию апексов провестиСпасибо за ответ. Насколько я понял, у нижних зубов в той области проблемы с доступом могут быть для апекальной хирургии. Может ли ситуации измениться? Стоит ли ждать? И что порекомендуете делать с коронками(сейчас стоят временные из пластмассы)? Ссылка на комментарий
Марья Моревна Опубликовано 19 декабря, 2020 Поделиться Опубликовано 19 декабря, 2020 Постоянные до разрешения вопроса не ставить. Ссылка на комментарий
artek Опубликовано 20 декабря, 2020 Автор Поделиться Опубликовано 20 декабря, 2020 Постоянные до разрешения вопроса не ставить.В смысле, пока позитивная динамика не появится? Насколько долго можно пластмассу носить, учитывая что уже почти год ношу? Ссылка на комментарий
Марья Моревна Опубликовано 20 декабря, 2020 Поделиться Опубликовано 20 декабря, 2020 Еще походите. Зависит, в каком они состоянии. Ссылка на комментарий
artek Опубликовано 23 декабря, 2020 Автор Поделиться Опубликовано 23 декабря, 2020 Еще походите. Зависит, в каком они состоянии.визуально никаких нарушений коронок не видно. Как я понимаю, проблема может быть с попаданием микробов под коронки. Сколько можно ходить? Можно ли что то сделать, чтобы снизить риски разрушения зубов под коронкам? УЗ чистка (профгигиена) поможет? Ссылка на комментарий
Марья Моревна Опубликовано 23 декабря, 2020 Поделиться Опубликовано 23 декабря, 2020 Профгигиену делайте раз в полгода с хорошей полировкой,чистите зубы после завтрака и ужина.Пользуйтесь ополаскивателями по инструкции по две недели с двумя неделями перерыва. Ссылка на комментарий
artek Опубликовано 5 марта, 2022 Автор Поделиться Опубликовано 5 марта, 2022 Здравствуйте. Прошел еще год с лишним после последнего КТ(снимок выкладывал выше), сделал новое КТ(прикрепил срезы). Собственно вопрос, что порекомендуете делать? Вроде как временные коронки уже 2 года стоят(срок годности истек) и нужно менять на постоянные, но и явной динамики по уменьшению кисты я лично не наблюдаю....Как быть? Ссылка на комментарий
artek Опубликовано 20 декабря, 2024 Автор Поделиться Опубликовано 20 декабря, 2024 Всех приветствую. Прошло почти 5 лет с момента перелечивания. До прошлого года состояние кист было +/- стабильное, но последнее КТ показоло ухудшение. Выросла кисла на границе 6 и 5-го зуба. Врач, который занимался перелечиванием предложил, как вариант апекальную хирургию. Собственно вопрос, что порекомендуете делать в текущей ситуации? Ссылка на комментарий
IvanK Опубликовано 21 декабря, 2024 Поделиться Опубликовано 21 декабря, 2024 Добрый день Я бы уже заменил на имплантаты Ссылка на комментарий
artek Опубликовано 24 декабря, 2024 Автор Поделиться Опубликовано 24 декабря, 2024 В 21.12.2024 в 14:18, IvanK сказал: Добрый день Я бы уже заменил на имплантаты А что думаете по поводу апекальной хирургии? Ссылка на комментарий
IvanK Опубликовано 25 декабря, 2024 Поделиться Опубликовано 25 декабря, 2024 В 24.12.2024 в 11:04, artek сказал: А что думаете по поводу апекальной хирургии? это хороший , рабочий вариант - это если отвечать в целом ) я написал своем мнение исходя из анамнеза и кт, уверен, что вы можете найти врача, который будет делать все возможные варианты, но мне кажется. что они не будут иметь результата. Ссылка на комментарий
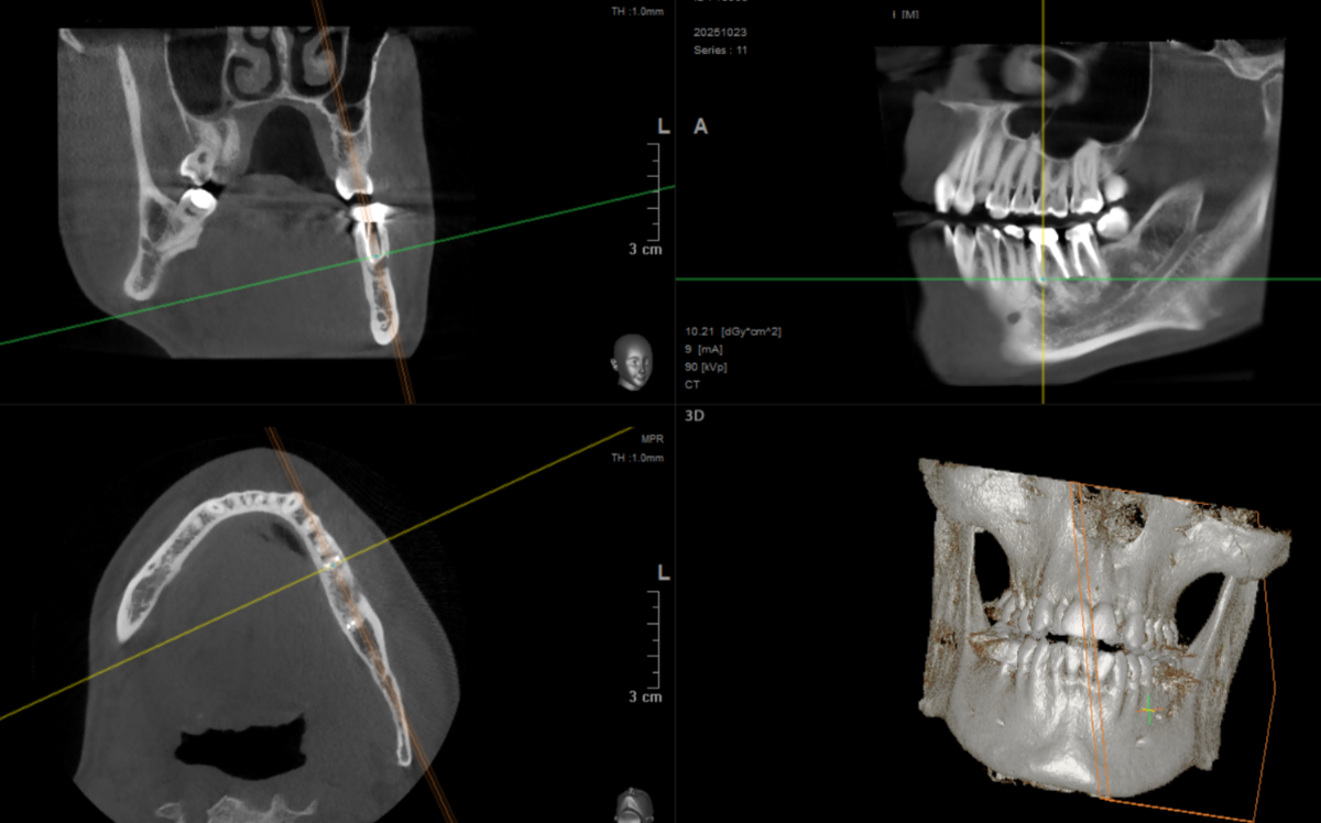
artek Опубликовано 24 октября, 2025 Автор Поделиться Опубликовано 24 октября, 2025 Здравствуйте, товарищи стоматологи. Продолжаю борьбу за сохранение зубов. Сделал апекальную хирургию пол года назад и вчера контрольное КТ. Зубы продолжают периодически беспокоить, ощущения типа припухлости и легкого поднывания. Выделений и раздражений на десне визуально не наблюдаю, но по вкусу как будто что-то выходит из той области. Какие дальнейшие действия порекомендуете? Ссылка на комментарий
red_butler Опубликовано 24 октября, 2025 Поделиться Опубликовано 24 октября, 2025 24 минуты назад, artek сказал: Какие дальнейшие действия порекомендуете? Здравствуйте. Удаление зубов. Ссылка на комментарий
АнтонТЛТ Опубликовано 24 октября, 2025 Поделиться Опубликовано 24 октября, 2025 Добрый день, если вы проживаете в Самаре, то там есть очень хороший специалист по резекциям. Могу посоветовать сходить к нему на консультацию. Ссылка на комментарий
artek Опубликовано 24 октября, 2025 Автор Поделиться Опубликовано 24 октября, 2025 3 часа назад, red_butler сказал: Здравствуйте. Удаление зубов. всех или какого то определенного зуба? 1 час назад, АнтонТЛТ сказал: Добрый день, если вы проживаете в Самаре, то там есть очень хороший специалист по резекциям. Могу посоветовать сходить к нему на консультацию. В личные сообщения поделитесь пожалуйста. Ссылка на комментарий
red_butler Опубликовано 27 октября, 2025 Поделиться Опубликовано 27 октября, 2025 В 24.10.2025 в 14:37, artek сказал: всех или какого то определенного зуба? 3.6 3.7 Ссылка на комментарий
Рекомендуемые сообщения
Для публикации сообщений создайте учётную запись или авторизуйтесь
Вы должны быть пользователем, чтобы оставить комментарий
Создать аккаунт
Зарегистрируйте новый аккаунт в нашем сообществе. Это очень просто!
Регистрация нового пользователяВойти
Уже есть аккаунт? Войти в систему.
Войти