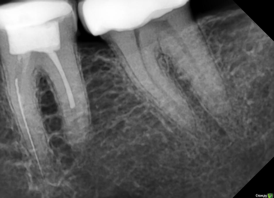
Slava76 Опубликовано 5 декабря, 2020 Поделиться Опубликовано 5 декабря, 2020 Всем доброго дня!Три дня назад с утра появилась боль в нижней челюсти слева. Сначала было не понятно, что болит зуб или мышцы. Но боль шла из под двух крайних коренных зубов. На крайнем зубе коронка, которую установил пару лет назад, зуб живой. У другого зуба пломба, которую установили около 10 лет назад, нервы удалены. Постучал чайной ложкой по этим зубам, боль не усилилась. От холодного, горячего боль так же не усиливается. К вечеру небольшая боль ощущалась только при сжимании зубов. На следующий день с утра все повторилось, с утра болело сильней, к вечеру слабей. Сходил на прием к стоматологу. Сделали снимок, см. вложение. Врач сказал, что у крайнего зуба коронка стоит хорошо, но под коронкой в зубной ткани он видит трещину. Для того, чтобы понять действительно ли она есть и какого размера посоветовал сделать КТ. У зуба под пломбой один канал не долечен, в другом сломали медицинской инструмент. Каких то воспалений он не увидел. Он считает, что боль может вызывать как один, так и другой зуб. Если есть трещина под коронкой, то вылечить зуб нельзя. Только удаление. Если "виноват" зуб под пломбой, то можно перелечить каналы и поставить коронку. В итоге сказал немного подождать, если боль не пройдет, то делать КТ и уже решать. Боль не проходит. Она не сильная, не стреляющая, терпеть ее легко. По ощущениям кажется, что боль идет от зуба под коронкой, но не уверен. Что посоветуете делать дальше? Врач, у которого был, достаточно молод. Хочется услышать еще одно мнение.Заранее благодарю за советы! Ссылка на комментарий
Slava76 Опубликовано 5 декабря, 2020 Автор Поделиться Опубликовано 5 декабря, 2020 (изменено) Почему-то не подгрузился снимок. ДобавляюЕще добавлю снимок всех зубов, который делали в 2016 г. Изменено 5 декабря, 2020 пользователем Slava76 Ссылка на комментарий
DmitrySH Опубликовано 5 декабря, 2020 Поделиться Опубликовано 5 декабря, 2020 Под коронкой скорее всего не трещина, а так видно строение зуба. У зуба где сломан инструмент - есть воспаление. Начните с его лечения. Ищите эндодонтиста работающего с микроскопом 1 Ссылка на комментарий
Slava76 Опубликовано 7 декабря, 2020 Автор Поделиться Опубликовано 7 декабря, 2020 Ищите эндодонтиста работающего с микроскопом Т.е. данный зуб будет сложный в лечении? Идти к любому врачу, которого дадут в поликлинике, не стоит?А разве может вызывать боль зуб, у которого 10 лет назад удалили нерв? Ссылка на комментарий
red_butler Опубликовано 7 декабря, 2020 Поделиться Опубликовано 7 декабря, 2020 Т.е. данный зуб будет сложный в лечении?да Идти к любому врачу, которого дадут в поликлинике, не стоит?если только к хирургу... я бы в первую очередь проверил зуб под коронкой Ссылка на комментарий
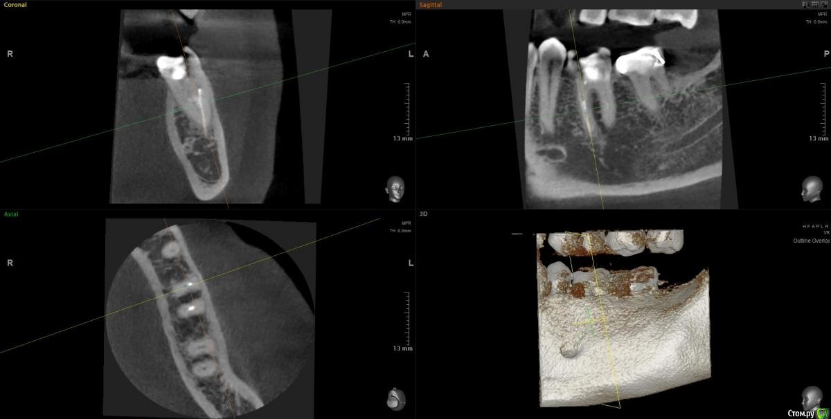
Slava76 Опубликовано 7 декабря, 2020 Автор Поделиться Опубликовано 7 декабря, 2020 (изменено) Сегодня сделал КТ. Выложил здесь https://cloud.mail.ru/public/2ezX/2HwT6HocyНа вечер записался к другому врачу. Послушаю, что он скажет.До обеда при нажатие была небольшая боль. Сейчас практически ее не чувствую. И так уже 4 дня. P.s.1 очень боюсь начать лечить не тот зуб. Коронку очень не хочется трогать. Ей все два года. Делала ее очень хороший врач.P.s.2 может само все пройдет... Изменено 7 декабря, 2020 пользователем Slava76 Ссылка на комментарий
Slava76 Опубликовано 7 декабря, 2020 Автор Поделиться Опубликовано 7 декабря, 2020 Вернулся от врача. Он посмотрел КТ и подтвердил слова DmitrySH. На 90% врач уверен, что проблема из-за не до конца залеченного канала и сломанного инструмента. Сказал, что нужно лечение под микроскопом. У них в поликлинике таких специалистов нет. Завтра начну искать такого врача в Нижнем Ссылка на комментарий
wladdX Опубликовано 7 декабря, 2020 Поделиться Опубликовано 7 декабря, 2020 (изменено) Трещины в зубе 37 не увидел Изменено 7 декабря, 2020 пользователем wladdX Ссылка на комментарий
Slava76 Опубликовано 8 декабря, 2020 Автор Поделиться Опубликовано 8 декабря, 2020 (изменено) Трещины в зубе 37 не увидел Значит однозначно "виноват" зуб с пломбой. Буду перелечивать каналы (если найду, кто вытащит сломанный инструмент) и ставить коронку.Звонил сейчас в одну из клиник, говорят вместо микроскопа используют специальные очки. С ними реально вытащить сломавшийся инструмент? Изменено 8 декабря, 2020 пользователем Slava76 Ссылка на комментарий
Slava76 Опубликовано 11 декабря, 2020 Автор Поделиться Опубликовано 11 декабря, 2020 Сегодня был на приеме уже у третьего врача. Она не уверена, что является причиной вызывающей боль. Предположила, что боль может быть связана не с зубами. Виновата может быть и металлокерамическая коронка, так как очень близко к нерву. А возможно и плохо залеченные корневые каналы под пломбой. Предложила принимать решение самому, без каких либо гарантий с ее стороны. Врач в целом вызывала доверие. Стаж работы 15 лет, плюс главный врач в данной поликлинике. Решился на лечение зуба под пломбой, так как другие два врача, которые смотрели зуб, советовали ставить на него коронку. В итоге врач перелечила два канала из трех, инструмент из третьего канала вытащить не смогла. Сказала, что он сидит плотно и вынимая его может повредить канал. Так же сказала, что бывает сломанный инструмент в зубном канале довольно не плохо его защищает, не хуже чем пломба. Если он 10 лет там и зуб не болел, то дальше не нужно его трогать. Поставила временную пломбу и предложила две недели подождать. Понаблюдать, будет ли боль проявляться снова.Стоит пробовать идти к другому врачу вытаскивать инструмент? Или, как советовала врач, ждать две недели? Ссылка на комментарий
DmitrySH Опубликовано 12 декабря, 2020 Поделиться Опубликовано 12 декабря, 2020 Стоит пробовать идти к другому врачу вытаскивать инструмент? Если каждый будет по чуть-чуть "ковыряться" в зубе, то ничего хорошего. Лучше согласуйте это с врачом который уже занялся зубом. Инструмент вполне можно постараться достать. Но с микроскопом. Со среднестатистическими бинокулярами будет сложновато 1 Ссылка на комментарий
Slava76 Опубликовано 12 декабря, 2020 Автор Поделиться Опубликовано 12 декабря, 2020 Врач говорила, что будет пытаться достать инструмент именно под микроскопом. Я не спец, но подозреваю что вы правы и использовала она специальные очки, а не микроскоп. Вопрос у меня такой. Если боль пройдет, то можно ли ставить на зуб коронку не удаляя инструмент? Именно это мне фактически и предложила лечащий врач.Или нужно обязательно его удалить, даже с риском сломать зубной канал? Ссылка на комментарий
DmitrySH Опубликовано 12 декабря, 2020 Поделиться Опубликовано 12 декабря, 2020 .Или нужно обязательно его удалить, даже с риском сломать зубной канал? Нет, при разрушении корня дальнейший прогноз будет значительно хуже Ссылка на комментарий
Slava76 Опубликовано 12 декабря, 2020 Автор Поделиться Опубликовано 12 декабря, 2020 (изменено) Нет, при разрушении корня дальнейший прогноз будет значительно хужеЯ понимаю, что если разрушат корень, то придется удалять зуб. Но и не хочется сейчас провести дорогостоящее лечение, а затем, если зуб из-за не вытащенного инструмента снова начнет болеть, удалять его. Тему создал по причине того, что хочу для себя самого понять, как нужно действовать.Сегодня весь день зуб не сильно, но ноет. Нажимать на него больно. Соседний зуб под коронкой не чувствую. Изменено 12 декабря, 2020 пользователем Slava76 Ссылка на комментарий
Slava76 Опубликовано 13 декабря, 2020 Автор Поделиться Опубликовано 13 декабря, 2020 Сегодня заметил, что зуб изменил свой цвет на неприятный желто-коричневый. Постоянно небольшая ноящая боль. Ощущение, как после удара. Это нормально?До лечащего врача дозвониться пока не смог. Ссылка на комментарий
DmitrySH Опубликовано 14 декабря, 2020 Поделиться Опубликовано 14 декабря, 2020 Сегодня заметил, что зуб изменил свой цвет на неприятный желто-коричневый. Постоянно небольшая ноящая боль. Ощущение, как после удара. Это нормально?До лечащего врача дозвониться пока не смог. Здравствуйте, в клинику администраторам передайте информацию. Цвет это субъективно. После вмешательства бывает период обострения. Но только ваш врач точно знает ситуацию "внутри" Ссылка на комментарий
Рекомендуемые сообщения
Для публикации сообщений создайте учётную запись или авторизуйтесь
Вы должны быть пользователем, чтобы оставить комментарий
Создать аккаунт
Зарегистрируйте новый аккаунт в нашем сообществе. Это очень просто!
Регистрация нового пользователяВойти
Уже есть аккаунт? Войти в систему.
Войти