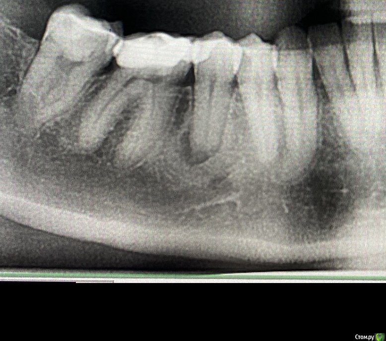
risus Опубликовано 30 ноября, 2020 Поделиться Опубликовано 30 ноября, 2020 Здравствуйте! Могли бы вы посоветовать, что делать в данной ситуации. Три с года назад, я носила брекеты, когда в очередной раз дугу подтянули у меня дико разболелись зубы с правой стороны на нижней челюсти, в области 6 и 5. Я отправилась к ортодонту и доктор высвободил 6 зуб из дуги. Стало значительно полегче, но появилась странная чувствительность. Реакция на холодное вызывала в районе 6-5-4 зуба сильную, долгую, выкручивающую боль, что наводило на мысль о пульпите. Отправилась к терапевту. Сделали снимок, доктор сказал, что у 6 и 5 кариес под пломбой. Произвел лечение, депульпировать зубы не пришлось, пульпита по словам врача, не было. И к счастью, после лечения болевые ощущения прошли. Прошло три года. Делали КТ по поводу другого зуба, но на общем снимке, доктор заметила, что у меня гранулема на том самом 5 зубе, который лечили вместе с 6-м. Начали спасать 5-й зуб, как оказалось, нерв в нем уже умер. Острых болевых ощущений не было, к слову. Прочистили каналы, заложили лекарство, ничего не беспокоило. Через неделю убрали лекарство, положили кальций, и все было нормально, до тех пор, пока мне не отполировали пломбу на 7-м зубе. 7-у лечили давно, сбоку пломба была неровной и там часто собирались остатки пищи. Полировали пломбу недолго, но от холодного воздуха (или воды который исходил от слюноотсоса или бор машины) у меня появилась сильнейшая боль, точь в точь как 3 года назад после подтяжки дуги, только теперь она распространилась аж на 3 и 2 зубы. То есть, 6, 5, 4, 3, 2 – всю эту область зубов было больно, помогло обезболивающее. Сейчас некоторая повышенная чувствительность осталась на 3 и 2 зубе, а вот сильные болевые ощущения появляются в районе 6-5-4 зуба. Таким образом:4 зуб недавно пролечен – был глубокий кариес. После лечения не беспокоил. В 5 зубе все еще кальций и временная пломба, т.к нерва нет, болеть вроде не должен, но под ним гранулема, контрольный снимок будет сделан перед установкой пломбы.6 зуб на основании вышеописанных жалоб, перелечили, поставили новую пломбу. Доктор сказала, что визуально пульпита нет, но если будет болеть, то придется удалять нерв. Но, к сожалению, болит. Боль такая странная, жгучая и выкручивающая, усиливается при движении челюсти. Иногда сама проходит, особенно если не разговаривать, и побыть в покое, за ночь тоже успокаивается. И при этом, боль значительно усиливается, когда надавливаю не на зуб, а на десно в районе 6-5 зуба со стороны языка, хотя визуально десно не красное, не отекшее. Заложила метрогил-дента и на пол дня как рукой сняло, ничего не болело, никакой чувствительности, а сейчас не помогает. Завтра иду к врачу, боюсь, если депульпировать и 6 зуб, то это может не помочь. Потому что боль как бы не исходит из него, а просто ощущается вокруг 6-5-4. Может ли это быть проблемой, связанной с десной? Может ли это быть связано с гранулемой? И можно ли как-то точно проверить, воспален ли нерв, и нужно ли его удалять? В связи с тем, что болевые ощущения сейчас идентичны с тем, что было три года назад, можно ли говорить о хроническом пульпите? Ссылка на комментарий
red_butler Опубликовано 30 ноября, 2020 Поделиться Опубликовано 30 ноября, 2020 http://forum.stom.ru/topic/20613-sovety-patcientam-obiazatelno-k-prochteniiu/ Ссылка на комментарий
risus Опубликовано 30 ноября, 2020 Автор Поделиться Опубликовано 30 ноября, 2020 (изменено) Прошу извинить, снимок сделан до начала лечения, месяц назад. http://forum.stom.ru/topic/20613-sovety-patcientam-obiazatelno-k-prochteniiu/ Изменено 30 ноября, 2020 пользователем risus Ссылка на комментарий
Рекомендуемые сообщения
Для публикации сообщений создайте учётную запись или авторизуйтесь
Вы должны быть пользователем, чтобы оставить комментарий
Создать аккаунт
Зарегистрируйте новый аккаунт в нашем сообществе. Это очень просто!
Регистрация нового пользователяВойти
Уже есть аккаунт? Войти в систему.
Войти