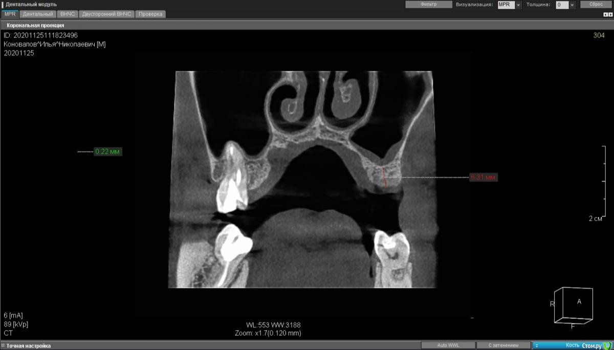
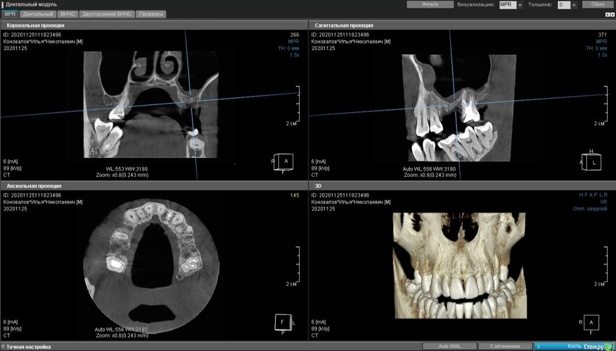
moises Опубликовано 30 ноября, 2020 Поделиться Опубликовано 30 ноября, 2020 Добрый день,коллеги.3 месяца назад удалены 25,26.Планируется установка 2х имплантатов .Если в области 15 можно было пойти с закрытым синуслифтингом, то в области 16 кости 3мм.Нужна помощь в тактике лечения.?Идти на ОСЛ в области 2х зубов и отсроченно имплантаты ? И можно ли с такой утолщенной слизистой его производить?Спасибо!P.S.Закрытые синусы делаю,открытые -делал только на фантомах и препаратах. Ссылка на комментарий
kramer Опубликовано 30 ноября, 2020 Поделиться Опубликовано 30 ноября, 2020 Проверить по кт, что там с соустьем, сделать ОСЛ с одномоментной имплантацией 1 Ссылка на комментарий
moises Опубликовано 1 декабря, 2020 Автор Поделиться Опубликовано 1 декабря, 2020 А объем графта какой подготовить к операции? Планирую Апатос микс использовать Ссылка на комментарий
maksimstom Опубликовано 3 декабря, 2020 Поделиться Опубликовано 3 декабря, 2020 А объем графта какой подготовить к операции? Планирую Апатос микс использовать 1г хватит 1 Ссылка на комментарий
Дмитрий М Опубликовано 4 декабря, 2020 Поделиться Опубликовано 4 декабря, 2020 Проверить по кт, что там с соустьем, сделать ОСЛ с одномоментной имплантациейколлеги простите за офтопа если соустье плохо проходимо или обтурировано или не прослеживается, но жалоб на заложенность или явления гайморита нет и по снимку нет воспалений, что делаете, какая подготовка к операции, какие рекомендации?что искать на КТ как смотрите соустье, на что обращать внимание? Ссылка на комментарий
Александр07 Опубликовано 26 декабря, 2020 Поделиться Опубликовано 26 декабря, 2020 коллеги простите за офтопа если соустье плохо проходимо или обтурировано или не прослеживается, но жалоб на заложенность или явления гайморита нет и по снимку нет воспалений, что делаете, какая подготовка к операции, какие рекомендации?что искать на КТ как смотрите соустье, на что обращать внимание?Соустье на кт видно обычно хорошо в верхнем отделе пазухи, если закрыто или ещё что или к Лору или назначить назонекс на месяц например и затем повторить кт, но если утолщение не большое и вся пазуха чистая то с соустье скорее всего все в порядке 1 Ссылка на комментарий
Рекомендуемые сообщения
Для публикации сообщений создайте учётную запись или авторизуйтесь
Вы должны быть пользователем, чтобы оставить комментарий
Создать аккаунт
Зарегистрируйте новый аккаунт в нашем сообществе. Это очень просто!
Регистрация нового пользователяВойти
Уже есть аккаунт? Войти в систему.
Войти