elen_only Опубликовано 27 ноября, 2020 Поделиться Опубликовано 27 ноября, 2020 (изменено) Здравствуйте,уважаемые коллеги! Прошу вашей помощи и совета. Много букв. Около года назад сделала свой первый синус с одномоментной установкой 2 имплантатов. Открытый сделала по совету опытного возрастного коллеги,уверявшего,что сначала всегда открытый делай,и лишь когда наберёшься опыта-закрытый. За свою дурость вот расплачиваюсь. В общем,на синусе отслоилась "по самые уши",делала одна, боялась не доотслоиться,графт-церабон,кое-где коллагеновые губки,импланты можно хоть 13 ставить, но,что имеем,то имеем. Послеоперационный без особенностей,все хорошо,швы сняла на 14 день. Осмотр через месяц-все в норме. Через месяца 3 пришел пациент и сказал,что как будто есть уплотнение в десне. Десна бледно-розового цвета, б/б при пальпации. было действительно,небольшое уплотнение в области переходной складки.Сделали КТ,немного сместился графт, поговорили ,оставили так. Пациент крайне чувствительный,даже к наличию разрезов в полости рта и рубцов после них,как выяснилось позже. В общем через полгода установили фдм,потом временные коронки. Пациент вернулся ко мне с теми же жалобами. Болей никаких не было. Было принято решение сделать разрез и посмотреть,при разрезе в месте уплотнения был обнаружен плотный соединительнотканный тяж,окно синус-лифтинга затянулось полностью. Подумала ,что сформировался рубец и убрала его,при пальпации после вырезания этого тяжа и ушивания больше уплотнений не было. Обрадовалась ,назначила антибиотикиОсмотр через 2 дня,все хорошо,назначила через 2 недели на снятие швов. Пациент пришел на 13 день с отеком на пол-лица. Оказалось,что антибиотики он не пил,т.к. их не было дома,а до аптеки он не дошел,сходил в баню и его продуло. Пришел с плотным болезненным инфильтратом,который нарастал неделю. Места разреза зажили,пришлось резать по-новой ,устанавливать дренаж.отделяемое сугубо геморрагическое. Далее пациент не явился на осмотр,написал,что стало намного лучше ,пропал на 4 недели. На следующем осмотре все равно держится уплотнение в этой области,стало меньше и мягче,но есть. Пациента отпустила на 2 месяца,в надежде ,что это остаточный инфильтрат и он пройдет. Пока что пишет,что все,как и было. Вопрос такой,коллеги,что это может быть? Если по-прежнему будет уплотнение,что делать? Может ,кто сталкивался с таким? После этого случая синусы делала ,больше такого не было ни у кого. Сейчас бы ставила по шаблону и максимум закрытый с остеотомами. Отправляла всем знакомым коллегам,никто не знает(P.S. пожалуйста,не ругайтесь сильно. Знаю,что много косяков тут,ужасно стыдно и обидно,хотелось сделать,как лучше. Я уже на грани отчаяния , ругаю свою криворукость и неверно принятые решения( Изменено 27 ноября, 2020 пользователем elen_only 1 Ссылка на комментарий
Irouil Опубликовано 27 ноября, 2020 Поделиться Опубликовано 27 ноября, 2020 (изменено) Чем больше нарезать рубцы, тем больше будет уплотнений Оставьте все в покое, через полгода если будет действительно большой рубец - кольните туда дипроспана Изменено 27 ноября, 2020 пользователем Irouil 1 Ссылка на комментарий
Марья Моревна Опубликовано 27 ноября, 2020 Поделиться Опубликовано 27 ноября, 2020 отпустила на 2 месяца через полгода если будет действительно большой рубец - кольните туда дипроспана А если через 2 месяца кольнуть? Ссылка на комментарий
Irouil Опубликовано 27 ноября, 2020 Поделиться Опубликовано 27 ноября, 2020 А если через 2 месяца кольнуть? Можно гиперкоррекцию получить. Рубец же зреет, кольнете до приемлемого уровня - а он еще атрофируется, будет потом впадина на щеке 1 Ссылка на комментарий
elen_only Опубликовано 27 ноября, 2020 Автор Поделиться Опубликовано 27 ноября, 2020 Чем больше нарезать рубцы, тем больше будет уплотнений Оставьте все в покое, через полгода если будет действительно большой рубец - кольните туда дипроспанаСпасибо большое,что ответили! Я это понимаю,поэтому отпустила пациента.через 2 месяца хочу посмотреть динамику и отпустить ещё на 4. Про Дипроспан я уже думала,его однократно можно ввести? Как думаете может типа электрофорез с лидазой назначить?или это бесполезная штука? Ссылка на комментарий
ilnurik Опубликовано 27 ноября, 2020 Поделиться Опубликовано 27 ноября, 2020 Чем они его так беспокоят?Оставьте как есть. Со временем либо свыкнется либо пройдёт. Ссылка на комментарий
Irouil Опубликовано 28 ноября, 2020 Поделиться Опубликовано 28 ноября, 2020 Спасибо большое,что ответили! Я это понимаю,поэтому отпустила пациента.через 2 месяца хочу посмотреть динамику и отпустить ещё на 4. Про Дипроспан я уже думала,его однократно можно ввести? Как думаете может типа электрофорез с лидазой назначить?или это бесполезная штука?В рубцах у лидазы эффект обратимый, зато диагностическое значение высокое - поймёте помогает или нет. На счет электрофореза - ничего не скажу, не имею опыта. По мне проще уколоть. Дипроспан можно однократно, тут же не келоид. 1 Ссылка на комментарий
колесников Опубликовано 28 ноября, 2020 Поделиться Опубликовано 28 ноября, 2020 Все это ерунда,массажем решается,не стоило повторно резать,это точно не улучшило ситуацию. На будущее, помогает инъекция l-prf под рубец. Пациент не выполняет предписание,на поводу у него идти не надо. Вот то что Вы не заглубили имплант -это не хорошо. 1 Ссылка на комментарий
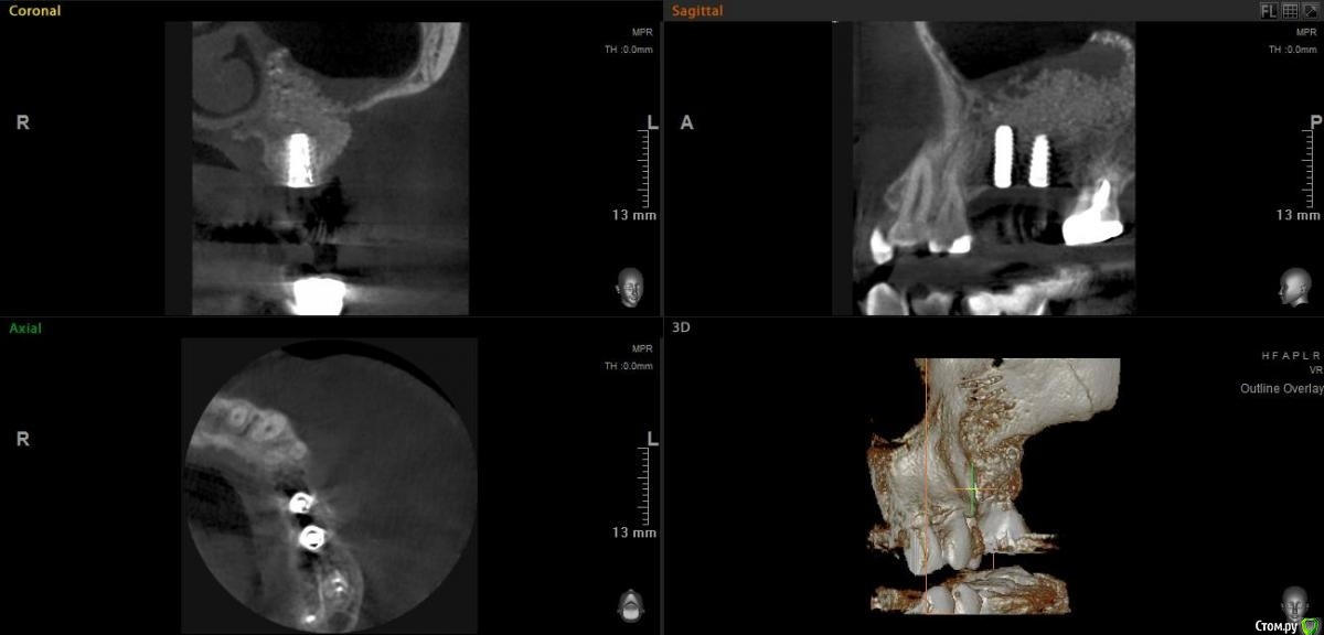
Bier Опубликовано 29 ноября, 2020 Поделиться Опубликовано 29 ноября, 2020 и с чем вы связываете отек у пациента на 13й день? Это однозначно явления наличия инфекции в графте. На КТ тоже не все спокойно.Доктор вам правильно советовал, учиться нужно с открытого, потом закрытый. А рубец его вообще ни при чем.Переделайте КТ до соустьев и планируйте ревизию. 2 Ссылка на комментарий
elen_only Опубликовано 30 ноября, 2020 Автор Поделиться Опубликовано 30 ноября, 2020 и с чем вы связываете отек у пациента на 13й день? Это однозначно явления наличия инфекции в графте. На КТ тоже не все спокойно.Доктор вам правильно советовал, учиться нужно с открытого, потом закрытый. А рубец его вообще ни при чем.Переделайте КТ до соустьев и планируйте ревизию.КТ до соустьев есть,у меня к сожалению нет сейчас к нему доступа. Соустья проходимы,пазуха выше чистая. Жалоб,связанных с пазухой не было никаких вообще,ни отделяемого,ни температуры,ни болей. Окно для синуса затянулось полностью на момент второго разреза,одна точка напоминала место,где он был. На данный момент имплантаты стоят уже с временными коронками примерно полгода,жалоб нет по-прежнему никаких ,кроме вот того уплотнения,которое находилось ниже окна для синуса. Неужели все-таки пазуха( Ссылка на комментарий
elen_only Опубликовано 30 ноября, 2020 Автор Поделиться Опубликовано 30 ноября, 2020 Все это ерунда,массажем решается,не стоило повторно резать,это точно не улучшило ситуацию. На будущее, помогает инъекция l-prf под рубец. Пациент не выполняет предписание,на поводу у него идти не надо. Вот то что Вы не заглубили имплант -это не хорошо.Спасибо,доктор. Да,к сожалению,проблем хватает ( Ссылка на комментарий
elen_only Опубликовано 30 ноября, 2020 Автор Поделиться Опубликовано 30 ноября, 2020 В рубцах у лидазы эффект обратимый, зато диагностическое значение высокое - поймёте помогает или нет. На счет электрофореза - ничего не скажу, не имею опыта. По мне проще уколоть. Дипроспан можно однократно, тут же не келоид.Спасибо!доктор, подскажите дозировку? Сколько можно уколоть,чтобы не перестараться Ссылка на комментарий
elen_only Опубликовано 30 ноября, 2020 Автор Поделиться Опубликовано 30 ноября, 2020 Чем они его так беспокоят?Оставьте как есть. Со временем либо свыкнется либо пройдёт.Я бы с радостью,но вот такой пациент мне попался. Его даже беспокоит наличие небольшого рубца от периостотомии. Говорит "трогаю языком и бесит",на мой вопрос "зачем туда лезете языком"-говорит "само так выходит" Ссылка на комментарий
Irouil Опубликовано 30 ноября, 2020 Поделиться Опубликовано 30 ноября, 2020 Спасибо!доктор, подскажите дозировку? Сколько можно уколоть,чтобы не перестаратьсяРазмеры рубца? Обычно рассчитывают около 0.2мл на 1 кв см, но рубец до 2 кв см по площади смысла трогать нет - мешать он не должен, размягчать там нечего особо. Так что первая терапевтическая доза около 0.5 мл Ссылка на комментарий
Bier Опубликовано 1 декабря, 2020 Поделиться Опубликовано 1 декабря, 2020 КТ до соустьев есть,у меня к сожалению нет сейчас к нему доступа. Соустья проходимы,пазуха выше чистая. Жалоб,связанных с пазухой не было никаких вообще,ни отделяемого,ни температуры,ни болей. Окно для синуса затянулось полностью на момент второго разреза,одна точка напоминала место,где он был. На данный момент имплантаты стоят уже с временными коронками примерно полгода,жалоб нет по-прежнему никаких ,кроме вот того уплотнения,которое находилось ниже окна для синуса. Неужели все-таки пазуха(ну часть графта прижилось, часть скисло, так бывает. Ссылка на комментарий
elen_only Опубликовано 1 декабря, 2020 Автор Поделиться Опубликовано 1 декабря, 2020 Размеры рубца? Обычно рассчитывают около 0.2мл на 1 кв см, но рубец до 2 кв см по площади смысла трогать нет - мешать он не должен, размягчать там нечего особо. Так что первая терапевтическая доза около 0.5 млДлина 16 была,ширину вот не помню,хоть убейте, в карточке записано. Посмотрим, сколько там сейчас будет. Спасибо за консультацию! Ссылка на комментарий
Bier Опубликовано 1 декабря, 2020 Поделиться Опубликовано 1 декабря, 2020 Длина 16 была,ширину вот не помню,хоть убейте, в карточке записано. Посмотрим, сколько там сейчас будет. Спасибо за консультацию!коллеги, уж простите, но ваши рассуждения напоминают мне анекдот: Пьяница ночью возле фонаря усиленно что-то ищет, подходит полицейский: что вы ищите?-Да вот ключи потерял...-А где?-В подворотне!-А что вы здесь то ищите?-Так тут же светлее!!! Так и здесь. Все указывает на то, что у пациента есть очаг хронического воспаления, а вы прицепились к рубцу. Просто потому, что в пазухе темно и не видно. Ссылка на комментарий
elen_only Опубликовано 2 декабря, 2020 Автор Поделиться Опубликовано 2 декабря, 2020 (изменено) Я направила КТ Лору,работающему со стоматологами. Вот его ответ: "Добрый вечер. Просмотрел КТ. По тому, что я вижу, на инфекцию графта не похоже. Нет реакции со стороны Шнейдеровской мембраны и признаков синусита. Скорее всего особенность пациента в плане формирования рубца. Возможно большой лоскут был. Мембрана коллагеновая. Спустя время это уже рубцы. После ревизии и сауны возможно гематома. Тут вы все правильно делаете." Единственное,просил КТ с соустьями,но у меня нет к нему доступа пока Изменено 2 декабря, 2020 пользователем elen_only Ссылка на комментарий
Александр07 Опубликовано 27 декабря, 2020 Поделиться Опубликовано 27 декабря, 2020 Пазуха чистая но как то уж рыхловато кое где графт лежит, если в этом плане все спокойно жалоб со стороны пазухи нет и при открытии графт был плотный пока наблюдайте Ссылка на комментарий
Bier Опубликовано 27 декабря, 2020 Поделиться Опубликовано 27 декабря, 2020 Пазуха чистая но как то уж рыхловато кое где графт лежит, если в этом плане все спокойно жалоб со стороны пазухи нет и при открытии графт был плотный пока наблюдайтеАлександр, не нужно поднимать все старые темы своими ответами. Ссылка на комментарий
Рекомендуемые сообщения
Для публикации сообщений создайте учётную запись или авторизуйтесь
Вы должны быть пользователем, чтобы оставить комментарий
Создать аккаунт
Зарегистрируйте новый аккаунт в нашем сообществе. Это очень просто!
Регистрация нового пользователяВойти
Уже есть аккаунт? Войти в систему.
Войти