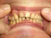
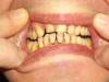
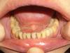
Alikvit Опубликовано 14 ноября, 2008 Поделиться Опубликовано 14 ноября, 2008 (изменено) Выкладываю фото друга. Возраст 40 лет. Хочет привести в порядок зубы. С правой стороны сверху отсутствует 2-ка - в детстве ударился, зуб откололся, врач вырвал корень и сказал, что делать ничего не надо, щель закроется остальными зубами. Позже уже студентом тоже с травмой потерял 4-ку справа снизу. Зубы "съехали". Прикус неправильный, глубокий, зубы истираются. Наделали разных снимков: с закрытым ртом с закрытым прикусом, с закрытым ртом с несомкнутым прикусом с расслабленной челюстью, зубы в прикусе и не в прикусе для лучшей видимости, а также виды сбоку, и профиль с закрытым ртом с зубами в прикусе.Хотелось бы понять, с чего начинать? По моим представлениям предполагаю, что 1. сначала нужно отчистить от темных пятен (это камни?) и вылечить зубы? 2. Затем к ортодонту: чтобы убрать глубокий прикус, выяснить причину истирания зубов (наверное, стираются из-за глубокого прикуса?), устранить ее, а также выровнять зубы, освободить место для отсутствующих зубов по одному сверху и снизу. Возможно ли ортодонту эти проблемы решить? Брекетами? Получится ли полноценное место для отстутствующих зубов освободить, не вырывая ничего? Сколько ориентировочно ортодонтическое лечение будет по времени?3. И только после этого приступать к реставрации: вставить отсутствующие зубы, и аверное, виниры от клыка до клыка?Буду очень благодарна, если специалисты помогут сориентировать с планом, этапами и сроками лечения, а также ценами, и буду очень благодарна за рекомендации конкретных докторов, к которым можно обратиться за лечением. Хочется по возможности максимально улучшить ситуацию: и профиль улучшить (эстетику лица), и выровнять зубы, и форму им правильную придать, чтобы и клычки были на клычки похожи, и чтобы и прикус был правильным, и зубы (или потом уже коронки, виниры) не истирались из-за неправильного прикуса. Город Москва. Размещаю 10 фото. Еще фото: Еще фото: еще фото: зубы в прикусе:http://s47.radikal.ru/i117/0811/b8/3f24ef862655.jpgпрофиль с сомкнутыми в прикусе зубами:http://s49.radikal.ru/i126/0811/51/a0e52cef728d.jpgФас, закрытый рот, зубы сомкнуты в прикусе:http://s49.radikal.ru/i124/0811/60/44733d29e817.jpgФас, закрытый рот, зубы разомкнуты, в удобном состоянии:http://s53.radikal.ru/i139/0811/59/b7711f0d851b.jpg Может и лишнего нафотали, но вдруг не зря. Изменено 14 ноября, 2008 пользователем Alikvit Ссылка на комментарий
Alikvit Опубликовано 14 ноября, 2008 Автор Поделиться Опубликовано 14 ноября, 2008 Разместила тему в форуме Пациентам, но почитав форум, поняла, что скорее нужно сюда.Вот тема, с фотографиями: http://forum.stom.ru/index.php?showtopic=4075 Очень расчитываю на рекомендации по лечению докторов-ортодонтов, а также буду благодарна за рекомендации хороших специалистов в Москве. Ссылка на комментарий
Alikvit Опубликовано 15 ноября, 2008 Автор Поделиться Опубликовано 15 ноября, 2008 (изменено) ПОчитала про брекеты Damon. Хотелось бы получить рекомендации на ортодонтов, которые работают с этими брекетами. Уж очень про них хорошо пишут - и срок лечения благодаря им сокращается и и цели лечения достикаются лучше, и удобство в использовании для врача, и удобство при ношении для пациента. Изменено 15 ноября, 2008 пользователем Alikvit Ссылка на комментарий
Alikvit Опубликовано 17 ноября, 2008 Автор Поделиться Опубликовано 17 ноября, 2008 Уважаемые доктора, очень жду Ваших комментариев и рекомендаций! Ссылка на комментарий
Orthodoc Опубликовано 17 ноября, 2008 Поделиться Опубликовано 17 ноября, 2008 Выкладываю фото друга. Возраст 40 лет. Хочет привести в порядок зубы. С правой стороны сверху отсутствует 2-ка - в детстве ударился, зуб откололся, врач вырвал корень и сказал, что делать ничего не надо, щель закроется остальными зубами. Позже уже студентом тоже с травмой потерял 4-ку справа снизу. Зубы "съехали". Прикус неправильный, глубокий, зубы истираются. Наделали разных снимков: с закрытым ртом с закрытым прикусом, с закрытым ртом с несомкнутым прикусом с расслабленной челюстью, зубы в прикусе и не в прикусе для лучшей видимости, а также виды сбоку, и профиль с закрытым ртом с зубами в прикусе.Хотелось бы понять, с чего начинать? По моим представлениям предполагаю, что 1. сначала нужно отчистить от темных пятен (это камни?) и вылечить зубы? 2. Затем к ортодонту: чтобы убрать глубокий прикус, выяснить причину истирания зубов (наверное, стираются из-за глубокого прикуса?), устранить ее, а также выровнять зубы, освободить место для отсутствующих зубов по одному сверху и снизу. Возможно ли ортодонту эти проблемы решить? Брекетами? Получится ли полноценное место для отстутствующих зубов освободить, не вырывая ничего? Сколько ориентировочно ортодонтическое лечение будет по времени?3. И только после этого приступать к реставрации: вставить отсутствующие зубы, и аверное, виниры от клыка до клыка?Буду очень благодарна, если специалисты помогут сориентировать с планом, этапами и сроками лечения, а также ценами, и буду очень благодарна за рекомендации конкретных докторов, к которым можно обратиться за лечением. Хочется по возможности максимально улучшить ситуацию: и профиль улучшить (эстетику лица), и выровнять зубы, и форму им правильную придать, чтобы и клычки были на клычки похожи, и чтобы и прикус был правильным, и зубы (или потом уже коронки, виниры) не истирались из-за неправильного прикуса. Город Москва. Размещаю 10 фото. Еще фото: Еще фото:еще фото: зубы в прикусе:http://s47.radikal.ru/i117/0811/b8/3f24ef862655.jpgпрофиль с сомкнутыми в прикусе зубами:http://s49.radikal.ru/i126/0811/51/a0e52cef728d.jpgФас, закрытый рот, зубы сомкнуты в прикусе:http://s49.radikal.ru/i124/0811/60/44733d29e817.jpgФас, закрытый рот, зубы разомкнуты, в удобном состоянии:http://s53.radikal.ru/i139/0811/59/b7711f0d851b.jpg Может и лишнего нафотали, но вдруг не зря.Оптимальный план действия таков: Диагностическое обследование у ортодонта.На основе которого врач составит план лечения. Стоматологи-терапевты после составления плана лечения будут знать как готовить зубы к ортодонтическому лечению. После диагностического обследования - профессиональная гигиена, затем санация полости рта. Сроки, объем ортодонт определит после диагностики.Имплантация и окончательное протезирование проводят после снятия брекетов. Ссылка на комментарий
Alikvit Опубликовано 17 ноября, 2008 Автор Поделиться Опубликовано 17 ноября, 2008 Orthodoc, спасибо большое за отклик! Ссылка на комментарий
Alikvit Опубликовано 18 ноября, 2008 Автор Поделиться Опубликовано 18 ноября, 2008 Я все еще очень жду рекомендаций хороших ортодонтов в Москве. Спасибо. Ссылка на комментарий
Рекомендуемые сообщения
Для публикации сообщений создайте учётную запись или авторизуйтесь
Вы должны быть пользователем, чтобы оставить комментарий
Создать аккаунт
Зарегистрируйте новый аккаунт в нашем сообществе. Это очень просто!
Регистрация нового пользователяВойти
Уже есть аккаунт? Войти в систему.
Войти