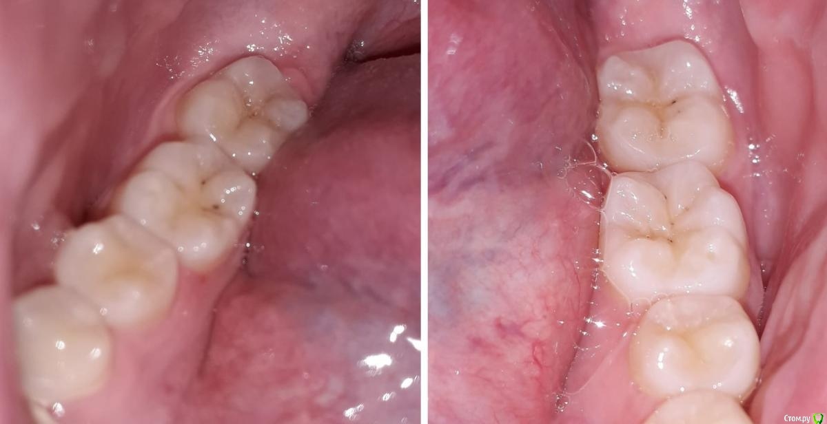
Ruzzza Опубликовано 18 ноября, 2020 Поделиться Опубликовано 18 ноября, 2020 Добрый день.Недавно обнаружила темные точки на коренных зубах. Фото с двух сторон челюсти прилагаю. Дискомфорта и боли нет. Хочу узнать у специалистов, что это может быть и что с этим делать дальше?Заранее благодарю за ответ.PS снимки пока не делала. Ссылка на комментарий
St. Опубликовано 18 ноября, 2020 Поделиться Опубликовано 18 ноября, 2020 Добрый день. По фото ничего плохого не увидела, скорее всего они у вас давно, просто заметили недавно. Чтобы перестраховаться лучше еще контрольно показаться очно на плановый осмотр.Имеет смысл стараться и дальше хорошо чистить дома и раз в год показываться очно стоматологу для контроля 1 Ссылка на комментарий
Ruzzza Опубликовано 19 ноября, 2020 Автор Поделиться Опубликовано 19 ноября, 2020 Спасибо большое за ответ!Уточню все таки) по этим фото кариес это или нет, понять, получается, сложно? Ссылка на комментарий
St. Опубликовано 22 ноября, 2020 Поделиться Опубликовано 22 ноября, 2020 Да, скорее кариеса нет, но лучше смотреть очно на приеме Ссылка на комментарий
Рекомендуемые сообщения
Для публикации сообщений создайте учётную запись или авторизуйтесь
Вы должны быть пользователем, чтобы оставить комментарий
Создать аккаунт
Зарегистрируйте новый аккаунт в нашем сообществе. Это очень просто!
Регистрация нового пользователяВойти
Уже есть аккаунт? Войти в систему.
Войти