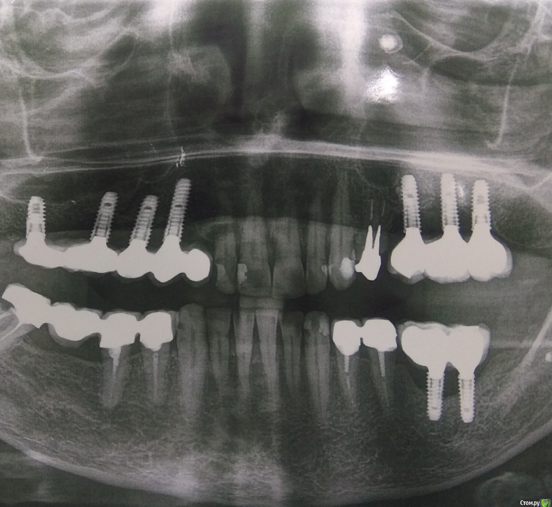
rimtar Опубликовано 16 ноября, 2020 Поделиться Опубликовано 16 ноября, 2020 года 4 , как сдали работу. синус/импланты мои. пациентка жаловалась, что не может жевать левой стороной, зубы не смыкаются. ортопед с техником что-то переделывали, но как оказалось без особого эффекта.недавно обратилась с жалобами на боли слева.орто:снял левую сторону, удалил подвижный 26 имплант.смутили очень короткие конусы, коронки держатся только на винтах:гигиена в порядке. есть проблемы с щитовидной, недавно тотальное удаление.буду благодарен, если укажете на причину , дабы вновь не повторить. Ссылка на комментарий
annda Опубликовано 16 ноября, 2020 Поделиться Опубликовано 16 ноября, 2020 (изменено) Что то мне кажется, что спиливали конусы для видимости пассивной посадки мостов. Оригинальная ли протетика, хотя тут уже это не имеет значения. Если только на винтах, то возможно и микроподвижность была с передачей напряжения на хрупкие шейки имплантатов, размер- то невелик. А оттуда и на кость, которая и ушла благополучно. Это если не видеть окклюзионных взаимоотношений антагонистов имплантат- имплантат , были ли смещающие контакты, ну и все такое. Справа тоже по ним звучит колокол.А что за система? Изменено 16 ноября, 2020 пользователем annda 2 Ссылка на комментарий
rimtar Опубликовано 16 ноября, 2020 Автор Поделиться Опубликовано 16 ноября, 2020 (изменено) про спиливание конусов ортопед сказал, но я не поверил, что такое практикуется. якобы проблемы с параллельностью так решаются.импланты осстем, остальное не оригинал, что именно- не знаю.и первый сегмент уходит, тоже понятно. Изменено 16 ноября, 2020 пользователем rimtar 1 Ссылка на комментарий
Дмитрий Л. Опубликовано 16 ноября, 2020 Поделиться Опубликовано 16 ноября, 2020 Шейки грязны,Сидит туго.Нет посадки, Сколы всюду.Неродные нам запчасти.Вот такое вот несчастье.Тихой ночью, как подруга,Ортопед сгубил хирурга. 13 Ссылка на комментарий
rimtar Опубликовано 16 ноября, 2020 Автор Поделиться Опубликовано 16 ноября, 2020 Ссылка на комментарий
annda Опубликовано 17 ноября, 2020 Поделиться Опубликовано 17 ноября, 2020 (изменено) Мне как - то техник спиливал конусы, но он просто закруглил шестигранники в нон- шестигранники, но никак не по высоте их спилил.По идее- то, конечно,непараллельность= мультиюниты и винтовая. Или цементная на индивидуальных.При такой- то протетике, придется ему с техником папами поработать и алименты заплатить( Изменено 17 ноября, 2020 пользователем annda Ссылка на комментарий
kramer Опубликовано 17 ноября, 2020 Поделиться Опубликовано 17 ноября, 2020 1. Выжигаемые абатменты -> негерметичное соединение-> периимпьантит2. Металлокерамика -> отсутствие эпителиального барьера Возможно есть проблемы с пассивностью посадки, хотя это само по себе не приводит к периимплантиту. В спиливании индексов также нет ничего страшного. Эти вещи могут привести к техническим осложнениям, а их не произошло. Мне кажется, основная проблема - негерметичное соединение В общем накосячил ортопед, но свалят на хирурга 1 Ссылка на комментарий
annda Опубликовано 17 ноября, 2020 Поделиться Опубликовано 17 ноября, 2020 (изменено) Вряд ли на хирурга получится свалить если имплантаты параллельны, на протокольном расстоянии друг от друга и переданы ортопеду интегрированными, что просто проверяется самим ортопедом. Единственное, что можно свалить на хирурга- это выбор типоразмера имплантата в соответствующую зону. Не знаю, юридически регламентируются ли эти типоразмеры у нас ? Типа, на место моляров только , 4,5 х10 и не меньше и не короче. А нету места и кости, твои и паца проблемы, делай съемник. А раз так, все отвалилось с малым типоразмером?стало быть деньги на бочку и делай съемник теперь за свой счет.Есть или нет у нас такой официальный экспертный сценарий, кто знает?Может,в закрытый? Изменено 17 ноября, 2020 пользователем annda Ссылка на комментарий
stommm Опубликовано 17 ноября, 2020 Поделиться Опубликовано 17 ноября, 2020 Имхо главная но не единственная причина. Нахрена глазурь под десной? Так или иначе будет карман. С мультиюнитами было бы намного безопаснее. Под десной должен быть титан или циркон. Но не керамика и кхс 2 Ссылка на комментарий
chervoncevdaniil Опубликовано 17 ноября, 2020 Поделиться Опубликовано 17 ноября, 2020 По идее- то, конечно,непараллельность= мультиюниты и винтовая. Или цементная на индивидуальных. Есть тибэйс без индекса(шестигранника) которые позволяют делать мосты на винтовой фиксации при непараллельности опор,это вообще не проблема,не обязательно через МЮ,у абсолютного большинства нормальных систем имплантов такие имеются Спиливать конусы-это совсем колхоз и изначально бы ни один вменяемый ортопед на это не пошел,так могли сделать только в том случае,если работа не села,а переснимать слепок и переделывать было лень Тут ведь винтовая фиксация,я правильно понимаю? Ссылка на комментарий
dentikl Опубликовано 17 ноября, 2020 Поделиться Опубликовано 17 ноября, 2020 года 4 , как сдали работу. а есть снимок как было 4 года до? Ссылка на комментарий
johniola Опубликовано 17 ноября, 2020 Поделиться Опубликовано 17 ноября, 2020 Я конечно дико извиняюсь,но никак в толк не возьму одну деталь.Зачем ставить вообще эти абатменты без индекса? То есть не использовать место шестигранника в шахте,а использовать этот маленький цилиндр где коронка держется за счёт винта,не вижу смысла имхо.Лучше мультиюнит,или цементная на индивидуальных абатментах 1 Ссылка на комментарий
chervoncevdaniil Опубликовано 17 ноября, 2020 Поделиться Опубликовано 17 ноября, 2020 Я конечно дико извиняюсь,но никак в толк не возьму одну деталь.Зачем ставить вообще эти абатменты без индекса? То есть не использовать место шестигранника в шахте,а использовать этот маленький цилиндр где коронка держется за счёт винта,не вижу смысла имхо.Лучше мультиюнит,или цементная на индивидуальных абатментахЕсли конусная система и абатмент без шестигранника родной(non engage) то там никаких проблем нет,нагрузка нормально распределяется.По другому мост просто не посадить на винтовой фиксации.То,что сделано здесь,мне не очень понятно,такое чувство что где то было накосячено и сначала взяли абатменты с шестигранникам,а потом поняли что то идет не так и выкручивались как могли. Ссылка на комментарий
rimtar Опубликовано 17 ноября, 2020 Автор Поделиться Опубликовано 17 ноября, 2020 (изменено) Я в таких случаях абатмены без шестигранника пользую (гео). Как коллеги выше и отметили все сводится без проблем.Орто где-то есть после операции, там все стандартно. Изменено 17 ноября, 2020 пользователем rimtar Ссылка на комментарий
Женька Опубликовано 17 ноября, 2020 Поделиться Опубликовано 17 ноября, 2020 НА вебинаре у Василия Бочарова слышал, что можно индексы подпилить если мост и надо посадить, но именно шестигранник, как @annda говорит, а не по высоте упиливать Ссылка на комментарий
johniola Опубликовано 17 ноября, 2020 Поделиться Опубликовано 17 ноября, 2020 (изменено) Если конусная система и абатмент без шестигранника родной(non engage) то там никаких проблем нет,нагрузка нормально распределяется.По другому мост просто не посадить на винтовой фиксации.То,что сделано здесь,мне не очень понятно,такое чувство что где то было накосячено и сначала взяли абатменты с шестигранникам,а потом поняли что то идет не так и выкручивались как могли.Согласен,но предпочитаю цементную.Просто уступ на абатменте делается на уровне десны,получаем фактически тиссью левел.Просто,надёжно и сердито Изменено 17 ноября, 2020 пользователем johniola Ссылка на комментарий
АнтонТЛТ Опубликовано 17 ноября, 2020 Поделиться Опубликовано 17 ноября, 2020 НА вебинаре у Василия Бочарова слышал, что можно индексы подпилить если мост и надо посадить, но именно шестигранник, как @annda говорит, а не по высоте упиливатьМожно брать non-hex абатмента с нормальным конусом. У корейцев они на многих системах, а не как на нобеле, где спилен шестигранник и конус. Ссылка на комментарий
annda Опубликовано 18 ноября, 2020 Поделиться Опубликовано 18 ноября, 2020 (изменено) В моем случае было так, что дилер показывал мне фигу, а не нон-гексы. Я даже систему бросила из-за этого придурка не очень умного и очень ленивого товарища. Изменено 18 ноября, 2020 пользователем annda Ссылка на комментарий
АнтонТЛТ Опубликовано 18 ноября, 2020 Поделиться Опубликовано 18 ноября, 2020 К сожалению, какая бы классная система имплантатов не была, всё может испортить дилер. Ссылка на комментарий
Рекомендуемые сообщения
Для публикации сообщений создайте учётную запись или авторизуйтесь
Вы должны быть пользователем, чтобы оставить комментарий
Создать аккаунт
Зарегистрируйте новый аккаунт в нашем сообществе. Это очень просто!
Регистрация нового пользователяВойти
Уже есть аккаунт? Войти в систему.
Войти