fet1111 Опубликовано 13 ноября, 2020 Поделиться Опубликовано 13 ноября, 2020 Всем здравствуйте!Подскажите пожалуйста,прошло 21 день после шинирование.Сняли крючки и резинки .В двух местах перелом ,с одной стороны поставили пластину.Спереди пластины нету..Я взял и нажал на зуб с переди где перелом соответственно челюсть там где сломано разошлась ..Поехал к доктору и показал что я сделал он наругался на меня и сказал забудь что у тебя там перелом...Все идет по плану...Чувствую что челюсть там где перелом просто давит...Челюсть по новому некто не скреплял..Кушаю роздавливаю еду языком ...После этого всего в целом прошло 32 дня...При откр.. рота я слышу с переди где перелом треск..щелчки..Это нормально?Срастется оно или нет?Как правильно себя вести?Спасибо! Ссылка на комментарий
Evikrol Опубликовано 13 ноября, 2020 Поделиться Опубликовано 13 ноября, 2020 Сделайте свежий снимок Ссылка на комментарий
fet1111 Опубликовано 13 ноября, 2020 Автор Поделиться Опубликовано 13 ноября, 2020 Сделайте свежий снимокПонял спасибо.. Через неделю сделаю новый снимок так как счас нахожусь на самоизоляции.. Ссылка на комментарий
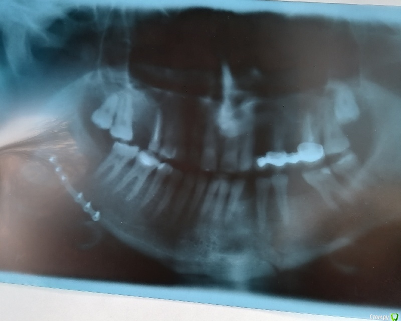
fet1111 Опубликовано 4 декабря, 2020 Автор Поделиться Опубликовано 4 декабря, 2020 Здравствуйте! Сделал снимок.. Ссылка на комментарий
fet1111 Опубликовано 4 декабря, 2020 Автор Поделиться Опубликовано 4 декабря, 2020 Не могу сказать что это хруст.. Это типа щелчки которые я слышу когда кушаю.. Подскажите когда нужно розрабатывать челюсть?С переди с правой стороны тянет постоянно губу.. хоть перелом в другой стороне.. Как правильно с ней быть? Я её постоянно масажирую.. Ссылка на комментарий
Рекомендуемые сообщения
Для публикации сообщений создайте учётную запись или авторизуйтесь
Вы должны быть пользователем, чтобы оставить комментарий
Создать аккаунт
Зарегистрируйте новый аккаунт в нашем сообществе. Это очень просто!
Регистрация нового пользователяВойти
Уже есть аккаунт? Войти в систему.
Войти