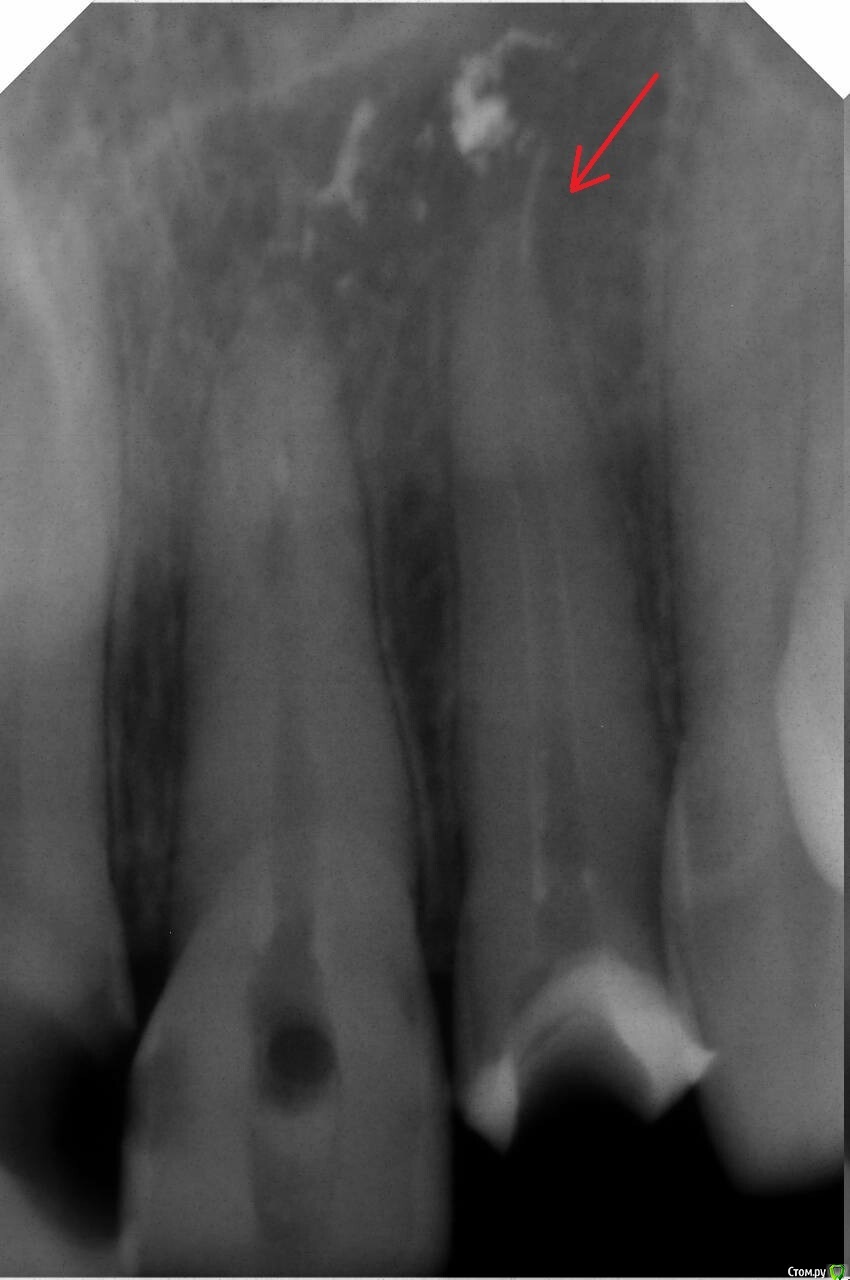
Светлана Прекрасная oierpo Опубликовано 8 ноября, 2020 Поделиться Опубликовано 8 ноября, 2020 Добрый день. Ранее я обращалась к вам по поводу сломанного инструмента в канале. Лечащая врач постаралась убедить меня, что это гуттаперча, а не инструмент.Я нашла врача, которая взялась за периодонтит. Ее методика лечения такая: она мне положила в каналы лекарство, которое выглядит как белый гель, набирала из баночки и назначила уколы в десна линкомицин 2 раза в неделю 10 штук. Сказала, что менять лекарство в каналах вроде больше не будет. И еще сказала, что если это не поможет, то надо удалять эти зубы. Правильное ли лечение? Очень хочу спасти зубы. Ссылка на комментарий
red_butler Опубликовано 8 ноября, 2020 Поделиться Опубликовано 8 ноября, 2020 Правильное ли лечение? Мы не являемся врачами - экспертами... но вот это меня очень смущает - назначила уколы в десна линкомицин Я бы рекомендовал, сделать Кт, найти грамотного эндодонтиста (специалист по лечению корневых каналов), провести механическую и медикаментозную обработку в условиях полноценной изоляции, выполнить постоянное пломбирование корневого канала. Далее диспансерное наблюдениеИ не нужно для каждого нового вопроса создавать отдельную тему 5 Ссылка на комментарий
Zlata-doctor Опубликовано 9 ноября, 2020 Поделиться Опубликовано 9 ноября, 2020 red_butler и добавить нечего, +1000 1 Ссылка на комментарий
dentikl Опубликовано 9 ноября, 2020 Поделиться Опубликовано 9 ноября, 2020 Добрый день. врач постаралась убедить меня, что это гуттаперча, а не инструмент.а это не гуттаперча? Ссылка на комментарий
St. Опубликовано 9 ноября, 2020 Поделиться Опубликовано 9 ноября, 2020 От того гуттаперча там или инструмент прогноз и тактика сильно не меняются.Показаний к удалению не вижу Ссылка на комментарий
Светлана Прекрасная oierpo Опубликовано 10 ноября, 2020 Автор Поделиться Опубликовано 10 ноября, 2020 Мы не являемся врачами - экспертами... но вот это меня очень смущает - Я бы рекомендовал, сделать Кт, найти грамотного эндодонтиста (специалист по лечению корневых каналов), провести механическую и медикаментозную обработку в условиях полноценной изоляции, выполнить постоянное пломбирование корневого канала. Далее диспансерное наблюдениеИ не нужно для каждого нового вопроса создавать отдельную темуА мне эта врач даже каналы не прочистила...Я пришла к ней после того, как 14 дней проходила с открытыми каналами и на стенках каналов были остатки кальция, кальций изначально был по цвету типа розового, а через 2 недели после хождения с открытыми каналами стал серый от грязи! Она мне совсем не чистила каналы, не убрала остатки старого кальция и даже не промыла каналы из шприца. Просто в грязнючие каналы положила лекарство и все! И вдобавок линкомицин вколола, у меня до сих пор болит место укола. Ссылка на комментарий
Рекомендуемые сообщения
Для публикации сообщений создайте учётную запись или авторизуйтесь
Вы должны быть пользователем, чтобы оставить комментарий
Создать аккаунт
Зарегистрируйте новый аккаунт в нашем сообществе. Это очень просто!
Регистрация нового пользователяВойти
Уже есть аккаунт? Войти в систему.
Войти