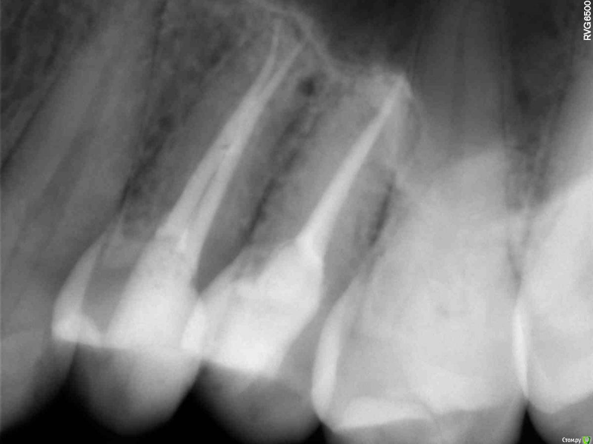
Алина08 Опубликовано 7 ноября, 2020 Поделиться Опубликовано 7 ноября, 2020 Добавлю ещё в эту тему. Здравствуйте, дорогие доктора, помогите пожалуйста,прилагаю панорам снимок. Слева были в феврале удалены мудрости, сверху вырезано,снизу вырван.Удаления были не сложные, но постоянно что-то мешало мне в ухе, а сейчас так вобще больно нажимать на челюсть снизу, болит челюсть, где 7 зуб и до подбородка. На кт было очень похоже на остаток корня рядом с корнем 7 зуба , но потом сказали это цвет кости такой другой. Сделала панораму и по мне так снизу явно видно, что там что-то есть. Как думаете? И что сверху слева у корня 7 зуба рядом?Мучают и боли лица, область пазухи и до глаза, там зубы 4 перелечили, 5 вывели материал сильно за корень , перелечили мта. Сейчас с 6 зуба достают пломбировочный материал, имеется аллергия на никель, в гутаперчи есть оксид никеля.Всё под микроскопом делалось, претензий к зубам нет у врачей, а боли начались как вскрыли 5 зуб, потом перелечили 4,не прошло, было ощущение распирания зубов, вскрыли 6 там дентикль, теперь его перелечивают, исключая аллерген контакт со слизистой, имею большие пазухи . Боль постоянная, распирающая, чувство давления на зубы. Может ли это боль снизу идти наверх? Выпито куча таблеток от невралгии, не помогает. Предлагают рвк 5 зуба, так как он на стук и кушать самый больной, у 6 зуба, если материал весь не достанут, осталось пару мм, тоже один корень верхушку убрать, но там пазуха рядом, не факт, что врач возмется. Придагалаю панораму и маленькие снимки 4,5,6 зубов.Больше меня сейчас волнует, есть ли кусок корня снизу от 8 зуба. Ссылка на комментарий
Алина08 Опубликовано 7 ноября, 2020 Автор Поделиться Опубликовано 7 ноября, 2020 (изменено) Ещё прилагаю панорамы после удаления мудростей слева. Посмотрите пожалуйста. Изменено 7 ноября, 2020 пользователем Алина08 Ссылка на комментарий
red_butler Опубликовано 8 ноября, 2020 Поделиться Опубликовано 8 ноября, 2020 не плодите темы!!! Первую тему закрою Ссылка на комментарий
сирена Опубликовано 8 ноября, 2020 Поделиться Опубликовано 8 ноября, 2020 Нет там ничего внизу. Боли могут быть мышечные,когда удаляли зубы и потом лечили,приходилось долго держать открытым рот,мышцы "устали" и сейчас беспокоят такие неясные боли.Это называется миофасциальный болевой синдром.Вылечите шестой и сделайте перерыв в лечении.Пусть врач пропальпирует жевательные мышцы,если где-то будет болевой узел,то это оно.Резекций никаких не надо делать пока. Ссылка на комментарий
Алина08 Опубликовано 8 ноября, 2020 Автор Поделиться Опубликовано 8 ноября, 2020 (изменено) Спасибо, за ответ, Был период, когда 3 месяца ничего не делали, боли лица сохранялись, и зуб на стук больной с апреля и кушать на нем больно, 5 зуб, вот на нем и предлагают резекцию, прежде чем рвать, зуб подвижный, мышцы, суставы все щупали, проверяли, зубы удаляли в феврале, по моему много времени прошло, с момента травмы, когда боль сильная распирает зубы сверху, то визуально и место пазухи на лице припухает. Будет ещё обследование нервов на лице током и если там нервы не повреждены, то это точно зубы. Пока тоже думаю с 6 закончить, и отдохнуть, но ощущение, что виной всему 5 зуб с него все и началась ещё в апреле. Теперь и 7 снизу болит, у меня все зубы почти с дентиклями ещё, но это не показатель все вскрывать, 6 был с большим камнем, на воду чувствительность, вот и вскрыли, в 7 снизу тоже есть камни, и тоже стал чувствовать холод Нет там ничего внизу. Боли могут быть мышечные,когда удаляли зубы и потом лечили,приходилось долго держать открытым рот,мышцы "устали" и сейчас беспокоят такие неясные боли.Это называется миофасциальный болевой синдром.Вылечите шестой и сделайте перерыв в лечении.Пусть врач пропальпирует жевательные мышцы,если где-то будет болевой узел,то это оно.Резекций никаких не надо делать пока.Спасибо, за ответ, Был период, когда 3 месяца ничего не делали, боли лица сохранялись, и зуб на стук больной с апреля и кушать на нем больно, 5 зуб, вот на нем и предлагают резекцию, прежде чем рвать, зуб подвижный, мышцы, суставы все щупали, проверяли, зубы удаляли в феврале, по моему много времени прошло, с момента травмы, когда боль сильная распирает зубы сверху, то визуально и место пазухи на лице припухает. Будет ещё обследование нервов на лице током и если там нервы не повреждены, то это точно зубы. Пока тоже думаю с 6 закончить, и отдохнуть, но ощущение, что виной всему 5 зуб с него все и началась ещё в апреле. Теперь и 7 снизу болит, у меня все зубы почти с дентиклями ещё, но это не показатель все вскрывать, 6 был с большим камнем, на воду чувствительность, вот и вскрыли, в 7 снизу тоже есть камни, и тоже стал чувствовать холод. А чтобы мышцам отдохнуть, месяц 2 это мало? Или больше надо? Извиняюсь, не разобраться мне тут немного с сообщениями на форуме Изменено 8 ноября, 2020 пользователем Алина08 Ссылка на комментарий
сирена Опубликовано 8 ноября, 2020 Поделиться Опубликовано 8 ноября, 2020 Компьютерную томограмму в идеале бы сделать,на прицельном снимке не совсем понятно,что у Вас там с пятым зубом.Если мышцы проверяли,то мфс исключаем.Это предположение было,я же не видела Вас вживую и не знаю,как Вас обследовали. Ссылка на комментарий
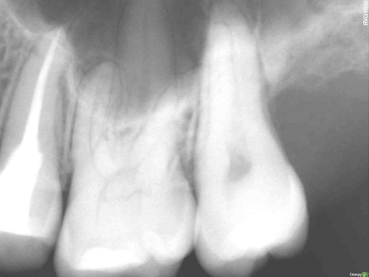
Алина08 Опубликовано 8 ноября, 2020 Автор Поделиться Опубликовано 8 ноября, 2020 Компьютерную томограмму в идеале бы сделать,на прицельном снимке не совсем понятно,что у Вас там с пятым зубом.Если мышцы проверяли,то мфс исключаем.Это предположение было,я же не видела Вас вживую и не знаю,как Вас обследовали.Боль в мышце действительно бывает после долгого открытия рта, но потом проходит, а основные боли остаются. Кт есть, мне не залить сюда, новый даже не открывается на компе дома, но там особо ничего не видят, кроме утолщения слизистой пазухи и вот вчера, над корнем слева показали что-то есть, похоже на гранулему 2 мм, но зуб уже забит мта качественно, а до этого гутаперча выведена за верхушку была, а гранулема, слева от верхушки, прям под костной слизистой пазухи. Что-то ведь вызыает его подвижность. Врачи до сих пор сомневаются, что если я его вырву, все пройдёт. А рвк на подвижный зуб как то страшно, к тому же на зуб надо коронку, разрушена стенка. К вечеру смогу показать только кт зуба до начало корневого лечения, может там что видно будет. 4 и 5 зуб под коронки и из за болей 8 месяцев не могу их поставить, зубы с прикуса выведены почти Ссылка на комментарий
Рекомендуемые сообщения
Для публикации сообщений создайте учётную запись или авторизуйтесь
Вы должны быть пользователем, чтобы оставить комментарий
Создать аккаунт
Зарегистрируйте новый аккаунт в нашем сообществе. Это очень просто!
Регистрация нового пользователяВойти
Уже есть аккаунт? Войти в систему.
Войти